Validation Data Gallery
Tested Applications
| Positive WB detected in | K-562 cells |
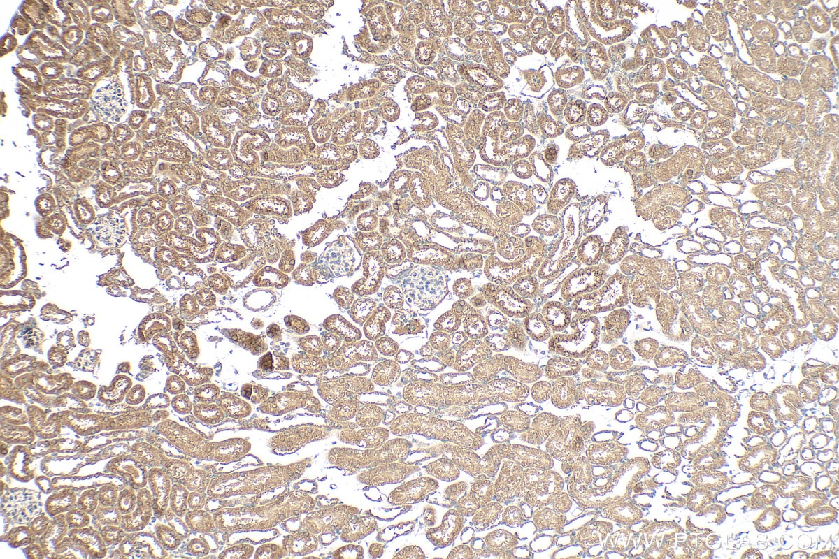
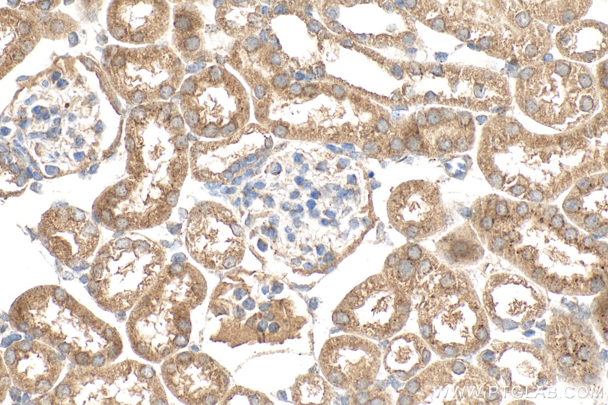
| Positive IHC detected in | mouse kidney tissue Note: suggested antigen retrieval with TE buffer pH 9.0; (*) Alternatively, antigen retrieval may be performed with citrate buffer pH 6.0 |
| Positive IF/ICC detected in | HepG2 cells, HEK-293 cells |
Recommended dilution
| Application | Dilution |
|---|---|
| Western Blot (WB) | WB : 1:500-1:1000 |
| Immunohistochemistry (IHC) | IHC : 1:50-1:500 |
| Immunofluorescence (IF)/ICC | IF/ICC : 1:200-1:800 |
| It is recommended that this reagent should be titrated in each testing system to obtain optimal results. | |
| Sample-dependent, Check data in validation data gallery. | |
Product Information
23844-1-AP targets SCF in WB, IHC, IF/ICC, ELISA applications and shows reactivity with human samples.
| Tested Reactivity | human |
| Host / Isotype | Rabbit / IgG |
| Class | Polyclonal |
| Type | Antibody |
| Immunogen |
CatNo: Ag20837 Product name: Recombinant human SCF protein Source: e coli.-derived, PET30a Tag: 6*His Domain: 1-273 aa of BC074725 Sequence: MKKTQTWILTCIYLQLLLFNPLVKTEGICRNRVTNNVKDVTKLVANLPKDYMITLKYVPGMDVLPSHCWISEMVVQLSDSLTDLLDKFSNISEGLSNYSIIDKLVNIVDDLVECVKENSSKDLKKSFKSPEPRLFTPEEFFRIFNRSIDAFKDFVVASETSDCVVSSTLSPEKDSRVSVTKPFMLPPVAASSLRNDSSSSNRKAKNPPGDSSLHWAAMALPALFSLIIGFAFGALYWKKRQPSLTRAVENIQINEEDNEISMLQEKEREFQEV 相同性解析による交差性が予測される生物種 |
| Full Name | KIT ligand |
| Calculated molecular weight | 273 aa, 31 kDa |
| Observed molecular weight | 31 kDa |
| GenBank accession number | BC074725 |
| Gene Symbol | SCF |
| Gene ID (NCBI) | 4254 |
| RRID | AB_3669419 |
| Conjugate | Unconjugated |
| Form | |
| Form | Liquid |
| Purification Method | Antigen Affinity purified |
| UNIPROT ID | P21583 |
| Storage Buffer | PBS with 0.02% sodium azide and 50% glycerol{{ptg:BufferTemp}}7.3 |
| Storage Conditions | Store at -20°C. Stable for one year after shipment. Aliquoting is unnecessary for -20oC storage. |
Background Information
Stem cell factor (SCF) is also named as mast cell growth factor (MGF), Kit ligand (Kitl), c-Kit ligand, steel factor and Kitlg. SCF is a pleiotropic cytokine (also as a dimeric molecule) that mediates regulatory effects on inflammation, tissue remodeling, and fibrosis through binding to and activating its receptor tyrosine kinase c-Kit (PMID: 1698553, PMID: 8630386, PMID: 23073628). SCF is the ligand of c-Kit, a member of the RTKs family. Molecular activity of RTKs is a primary stimulus of cell motility, and expression of the SCF/c-Kit axis is associated with cell migration (PMID: 28629522). SCF is a cytokine that synergizes the effects of Epo during erythropoiesis. Stem cell factor plays a well-described role in regulating the survival, proliferation, migration, and differentiation of hematopoietic progenitors, melanocytes, and germ cells (PMID: 36688460). More recent studies have demonstrated SCF expression in dermal and intestinal epithelial cells, and increased SCF expression has been reported in the inflamed mucosa of individuals with IBD and colonitis (PMID: 18200049, PMID: 30157426).
Protocols
| Product Specific Protocols | |
|---|---|
| IF protocol for SCF antibody 23844-1-AP | Download protocol |
| IHC protocol for SCF antibody 23844-1-AP | Download protocol |
| WB protocol for SCF antibody 23844-1-AP | Download protocol |
| Standard Protocols | |
|---|---|
| Click here to view our Standard Protocols |




