Validation Data Gallery
Tested Applications
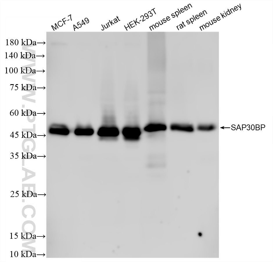
| Positive WB detected in | MCF-7 cells, A549 cells, Jurkat cells, HEK-293T cells, mouse spleen tissue, rat spleen tissue, mouse kidney tissue |
| Positive IF/ICC detected in | HeLa cells |
Recommended dilution
| Application | Dilution |
|---|---|
| Western Blot (WB) | WB : 1:5000-1:50000 |
| Immunofluorescence (IF)/ICC | IF/ICC : 1:500-1:2000 |
| It is recommended that this reagent should be titrated in each testing system to obtain optimal results. | |
| Sample-dependent, Check data in validation data gallery. | |
Product Information
87054-1-RR targets SAP30BP in WB, IF/ICC, ELISA applications and shows reactivity with human, mouse, rat samples.
| Tested Reactivity | human, mouse, rat |
| Host / Isotype | Rabbit / IgG |
| Class | Recombinant |
| Type | Antibody |
| Immunogen |
CatNo: Ag15051 Product name: Recombinant human SAP30BP protein Source: e coli.-derived, PGEX-4T Tag: GST Domain: 1-308 aa of BC007592 Sequence: MAGKKNVLSSLAVYAEDSEPESDGEAGIEAVGSAAEEKGGLVSDAYGEDDFSRLGGDEDGYEEEEDENSRQSEDDDSETEKPEADDPKDNTEAEKRDPQELVASFSERVRNMSPDEIKIPPEPPGRCSNHLQDKIQKLYERKIKEGMDMNYIIQRKKEFRNPSIYEKLIQFCAIDELGTNYPKDMFDPHGWSEDSYYEALAKAQKIEMDKLEKAKKERTKIEFVTGTKKGTTTNATSTTTTTASTAVADAQKRKSKWDSAIPVTTIAQPTILTTTATLPAVVTVTTSASGSKTTVISAVGTIVKKAKQ 相同性解析による交差性が予測される生物種 |
| Full Name | SAP30 binding protein |
| Calculated molecular weight | 308 aa, 34 kDa |
| Observed molecular weight | 45 kDa |
| GenBank accession number | BC007592 |
| Gene Symbol | SAP30BP |
| Gene ID (NCBI) | 29115 |
| RRID | AB_3745304 |
| Conjugate | Unconjugated |
| Form | |
| Form | Liquid |
| Purification Method | Protein A purification |
| UNIPROT ID | Q9UHR5 |
| Storage Buffer | PBS with 0.02% sodium azide and 50% glycerol{{ptg:BufferTemp}}7.3 |
| Storage Conditions | Store at -20°C. Stable for one year after shipment. Aliquoting is unnecessary for -20oC storage. |
Background Information
SAP30BP, also named as SAP30-binding protein, is a 308 amino acid protein, which belongs to the HCNGP family. SAP30BP localizes in Nucleus and Interacts with SAP30. DDX54 Induces cell death and may act as a transcriptional corepressor of a gene related to cell survival. SAP30BP may be involved in the regulation of beta-2-microglobulin genes.
Protocols
| Product Specific Protocols | |
|---|---|
| IF protocol for SAP30BP antibody 87054-1-RR | Download protocol |
| WB protocol for SAP30BP antibody 87054-1-RR | Download protocol |
| Standard Protocols | |
|---|---|
| Click here to view our Standard Protocols |



