Validation Data Gallery
Tested Applications
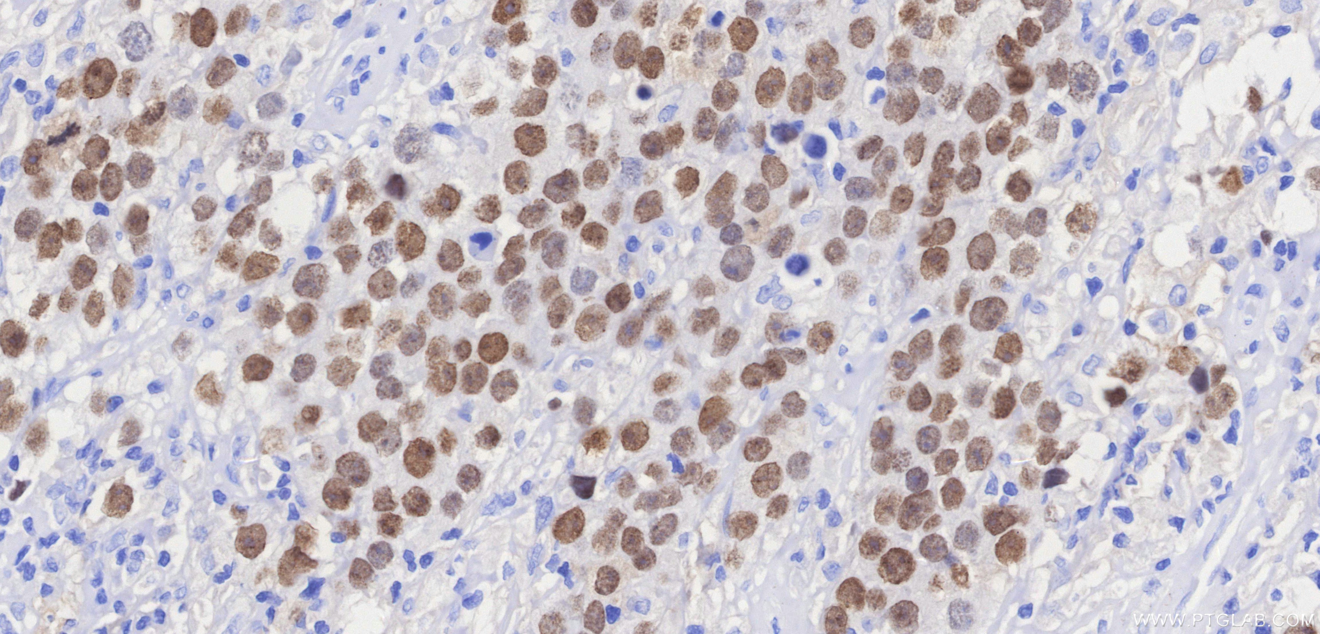
| Positive IHC detected in | Human seminoma Note: suggested antigen retrieval with TE buffer pH 9.0; (*) Alternatively, antigen retrieval may be performed with citrate buffer pH 6.0 |
Recommended dilution
| Application | Dilution |
|---|---|
| Immunohistochemistry (IHC) | IHC : 1:1500-1:6000 |
| It is recommended that this reagent should be titrated in each testing system to obtain optimal results. | |
| Sample-dependent, Check data in validation data gallery. | |
Product Information
83039-7-RR targets SALL4 in IHC, ELISA applications and shows reactivity with human samples.
| Tested Reactivity | human |
| Host / Isotype | Rabbit / IgG |
| Class | Recombinant |
| Type | Antibody |
| Immunogen |
CatNo: Ag16076 Product name: Recombinant human SALL4 protein Source: e coli.-derived, PGEX-4T Tag: GST Domain: 1-350 aa of BC111714 Sequence: MSRRKQAKPQHINSEEDQGEQQPQQQTPEFADAAPAAPAAGELGAPVNHPGNDEVASEDEATVKRLRREETHVCEKCCAEFFSISEFLEHKKNCTKNPPVLIMNDSEGPVPSEDFSGAVLSHQPTSPGSKDCHRENGGSSEDMKEKPDAESVVYLKTETALPPTPQDISYLAKGKVANTNVTLQALRGTKVAVNQRSADALPAPVPGANSIPWVLEQILCLQQQQLQQIQLTEQIRIQVNMWASHALHSSGAGADTLKTLGSHMSQQVSAAVALLSQKAGSQGLSLDALKQAKLPHANIPSATSSLSPGLAPFTLKPDGTRVLPNVMSRLPSALLPQAPGSVLFQSPFST 相同性解析による交差性が予測される生物種 |
| Full Name | sal-like 4 (Drosophila) |
| Calculated molecular weight | 1053 aa, 112 kDa |
| GenBank accession number | BC111714 |
| Gene Symbol | SALL4 |
| Gene ID (NCBI) | 57167 |
| Conjugate | Unconjugated |
| Form | |
| Form | Liquid |
| Purification Method | Protein A purification |
| UNIPROT ID | Q9UJQ4 |
| Storage Buffer | PBS with 0.02% sodium azide and 50% glycerol{{ptg:BufferTemp}}7.3 |
| Storage Conditions | Store at -20°C. Stable for one year after shipment. Aliquoting is unnecessary for -20oC storage. |
Background Information
Sal-like protein 4 (SALL4), also named Zinc finger protein 797, contains 7 C2H2-type zinc fingers and belongs to the sal C2H2-type zinc-finger protein family. SALL4 is a transcription factor that exists in two splice isoforms and regulates transcription in embryonic stem cells, hematopoiesis, and acute myeloid leukemia. SALL4 is activated in fetal liver tissue, silenced in adult liver tissue, and reexpressed as an oncofetal protein in hepatocellular carcinoma (PMID: 26892498, 23758232). SALL4 has two isoforms with predicted molecular weights of 112 kDa (SALL4A) and 66 kDa (unmodified SALL4B), and SALL4B was found to be the dominant endogenous isoform in HCC cell lines. Ectopically expressed SALL4B migrated at 95 kDa modified by ubiquitination, 130 kDa modified by sumoylation (PMID: 23012367).
Protocols
| Product Specific Protocols | |
|---|---|
| IHC protocol for SALL4 antibody 83039-7-RR | Download protocol |
| Standard Protocols | |
|---|---|
| Click here to view our Standard Protocols |

