Validation Data Gallery
Tested Applications
| Positive WB detected in | HL-60 cells, MCF-7 cells, SK-BR-3 cells |
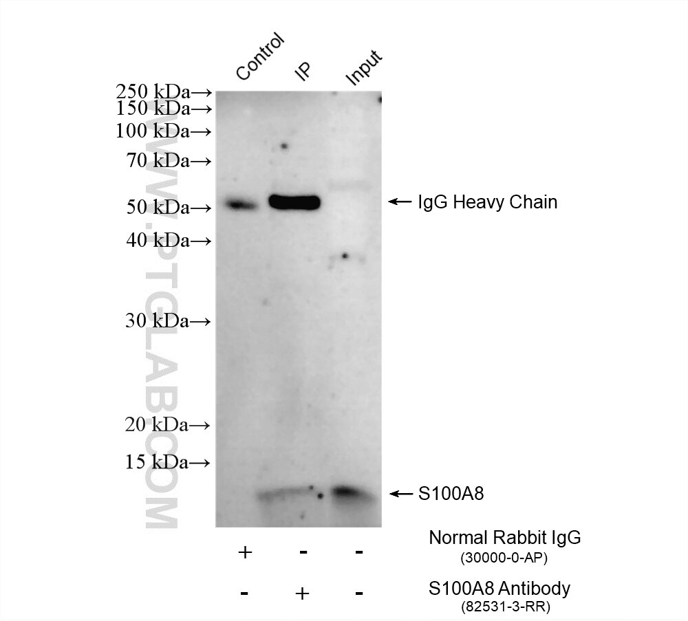
| Positive IP detected in | MCF-7 cells, HL-60 cells |
| Positive IF/ICC detected in | THP-1 cells |
Recommended dilution
| Application | Dilution |
|---|---|
| Western Blot (WB) | WB : 1:1000-1:4000 |
| Immunoprecipitation (IP) | IP : 0.5-4.0 ug for 1.0-3.0 mg of total protein lysate |
| Immunofluorescence (IF)/ICC | IF/ICC : 1:50-1:500 |
| It is recommended that this reagent should be titrated in each testing system to obtain optimal results. | |
| Sample-dependent, Check data in validation data gallery. | |
Product Information
82531-3-RR targets S100A8 in WB, IF/ICC, IP, ELISA applications and shows reactivity with human samples.
| Tested Reactivity | human |
| Host / Isotype | Rabbit / IgG |
| Class | Recombinant |
| Type | Antibody |
| Immunogen |
CatNo: Eg3752 Product name: Recombinant Human S100A8 protein (rFc Tag) Source: mammalian cells-derived, pHZ-KIsec-C-rFc Tag: C-rFc Domain: 1-93 aa of BC005928 Sequence: MLTELEKALNSIIDVYHKYSLIKGNFHAVYRDDLKKLLETECPQYIRKKGADVWFKELDINTDGAVNFQEFLILVIKMGVAAHKKSHEESHKE 相同性解析による交差性が予測される生物種 |
| Full Name | S100 calcium binding protein A8 |
| Calculated molecular weight | 93 aa, 11 kDa |
| Observed molecular weight | 11 kDa |
| GenBank accession number | BC005928 |
| Gene Symbol | S100A8 |
| Gene ID (NCBI) | 6279 |
| Conjugate | Unconjugated |
| Form | |
| Form | Liquid |
| Purification Method | Protein A purification |
| UNIPROT ID | P05109 |
| Storage Buffer | PBS with 0.02% sodium azide and 50% glycerol{{ptg:BufferTemp}}7.3 |
| Storage Conditions | Store at -20°C. Stable for one year after shipment. Aliquoting is unnecessary for -20oC storage. |
Background Information
S100A8 is a member of the S100 family of proteins containing 2 EF-hand calcium-binding motifs. S100 proteins are localized in the cytoplasm and/or nucleus of a wide range of cells, and involved in the regulation of a number of cellular processes such as cell cycle progression and differentiation. S100 genes include at least 13 members which are located as a cluster on chromosome 1q21. This protein may function in the inhibition of casein kinase and as a cytokine.
Protocols
| Product Specific Protocols | |
|---|---|
| IF protocol for S100A8 antibody 82531-3-RR | Download protocol |
| IP protocol for S100A8 antibody 82531-3-RR | Download protocol |
| WB protocol for S100A8 antibody 82531-3-RR | Download protocol |
| Standard Protocols | |
|---|---|
| Click here to view our Standard Protocols |



