Validation Data Gallery
Tested Applications
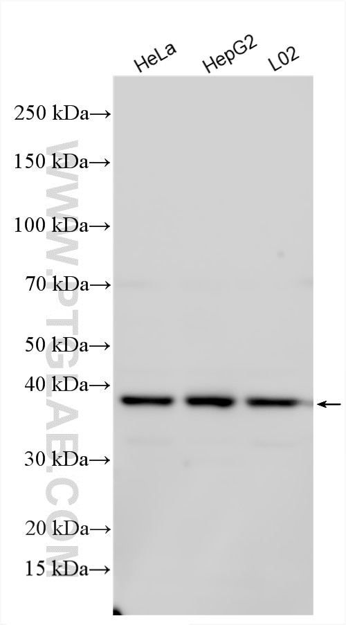
| Positive WB detected in | HeLa cells, HepG2 cells, L02 cells |
Recommended dilution
| Application | Dilution |
|---|---|
| Western Blot (WB) | WB : 1:1000-1:6000 |
| It is recommended that this reagent should be titrated in each testing system to obtain optimal results. | |
| Sample-dependent, Check data in validation data gallery. | |
Product Information
21457-1-AP targets RHBDD3 in WB, ELISA applications and shows reactivity with human samples.
| Tested Reactivity | human |
| Host / Isotype | Rabbit / IgG |
| Class | Polyclonal |
| Type | Antibody |
| Immunogen |
CatNo: Ag14737 Product name: Recombinant human RHBDD3 protein Source: e coli.-derived, PET28a Tag: 6*His Domain: 184-386 aa of BC002705 Sequence: RWLEPSERRLQVLQEGVLCRTLAGCWPLRLLATPGSLAELPVTHPAGVRPPIPGPPYVASPDLWSHWEDSALPPPSLRPVQPTWEGSSEAGLDWAGASFSPGTPMWAALDEQMLQEGIQASLLDGPAQEPQSAPWLSKSSVSSLRLQQLERMGFPTEQAVVALAATGRVEGAVSLLVGGQVGTETLVTHGKGGPAHSEGPGPP 相同性解析による交差性が予測される生物種 |
| Full Name | rhomboid domain containing 3 |
| Calculated molecular weight | 386 aa, 40 kDa |
| Observed molecular weight | 38 kDa |
| GenBank accession number | BC002705 |
| Gene Symbol | RHBDD3 |
| Gene ID (NCBI) | 25807 |
| Conjugate | Unconjugated |
| Form | |
| Form | Liquid |
| Purification Method | Antigen affinity purification |
| UNIPROT ID | Q9Y3P4 |
| Storage Buffer | PBS with 0.02% sodium azide and 50% glycerol{{ptg:BufferTemp}}7.3 |
| Storage Conditions | Store at -20°C. Stable for one year after shipment. Aliquoting is unnecessary for -20oC storage. |
Background Information
RHBDD3, also named as C22orf3, controls autoimmunity by suppressing the production of IL-6 by dendritic cells via K27-linked ubiquitination of the regulator NEMO.
Protocols
| Product Specific Protocols | |
|---|---|
| WB protocol for RHBDD3 antibody 21457-1-AP | Download protocol |
| Standard Protocols | |
|---|---|
| Click here to view our Standard Protocols |
