Validation Data Gallery
Tested Applications
| Positive WB detected in | 4T1 cells, HEK-293T cells, HeLa cells |
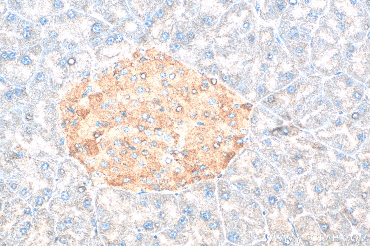
| Positive IHC detected in | human ovary cancer tissue, mouse pancreas tissue Note: suggested antigen retrieval with TE buffer pH 9.0; (*) Alternatively, antigen retrieval may be performed with citrate buffer pH 6.0 |
| Positive IF/ICC detected in | HeLa cells |
Recommended dilution
| Application | Dilution |
|---|---|
| Western Blot (WB) | WB : 1:2000-1:10000 |
| Immunohistochemistry (IHC) | IHC : 1:500-1:2000 |
| Immunofluorescence (IF)/ICC | IF/ICC : 1:200-1:800 |
| It is recommended that this reagent should be titrated in each testing system to obtain optimal results. | |
| Sample-dependent, Check data in validation data gallery. | |
Product Information
31234-1-AP targets RC3H1 in WB, IHC, IF/ICC, ELISA applications and shows reactivity with human, mouse samples.
| Tested Reactivity | human, mouse |
| Host / Isotype | Rabbit / IgG |
| Class | Polyclonal |
| Type | Antibody |
| Immunogen |
CatNo: Ag35089 Product name: Recombinant human RC3H1 protein Source: e coli.-derived, PGEX-4T Tag: GST Domain: 1000-1133 aa of NM_001300850 Sequence: NTLAGQSQPPPPPPPKWPGMISSEQLSLELHQVEREIGKRTRELSMENQCSLDMKSKLNTSKQAENGQPEPQNKVPAEDLTLTFSDVPNGSALTQENISLLSNKTSSLNLSEDPEGGGDNNDSQRSGVTPSSAP 相同性解析による交差性が予測される生物種 |
| Full Name | ring finger and CCCH-type zinc finger domains 1 |
| Calculated molecular weight | 126 kDa |
| Observed molecular weight | 130-150 kDa |
| GenBank accession number | NM_001300850 |
| Gene Symbol | RC3H1 |
| Gene ID (NCBI) | 149041 |
| RRID | AB_3669912 |
| Conjugate | Unconjugated |
| Form | |
| Form | Liquid |
| Purification Method | Antigen affinity Purification |
| UNIPROT ID | Q5TC82 |
| Storage Buffer | PBS with 0.02% sodium azide and 50% glycerol{{ptg:BufferTemp}}7.3 |
| Storage Conditions | Store at -20°C. Stable for one year after shipment. Aliquoting is unnecessary for -20oC storage. |
Background Information
Roquin-1 (Rc3h1) is an E3 ubiquitin ligase originally discovered in a mutational screen for genetic factors contributory to systemic lupus erythematosus-like symptoms in mice. A single base pair mutation in the Rc3h1 gene resulted in the manifestation of autoantibody production and sustained immunological inflammation characterized by excessive T follicular helper cell activation and formation of germinal centers. (PMID: 26673963)
Protocols
| Product Specific Protocols | |
|---|---|
| IF protocol for RC3H1 antibody 31234-1-AP | Download protocol |
| IHC protocol for RC3H1 antibody 31234-1-AP | Download protocol |
| WB protocol for RC3H1 antibody 31234-1-AP | Download protocol |
| Standard Protocols | |
|---|---|
| Click here to view our Standard Protocols |





