Validation Data Gallery
Tested Applications
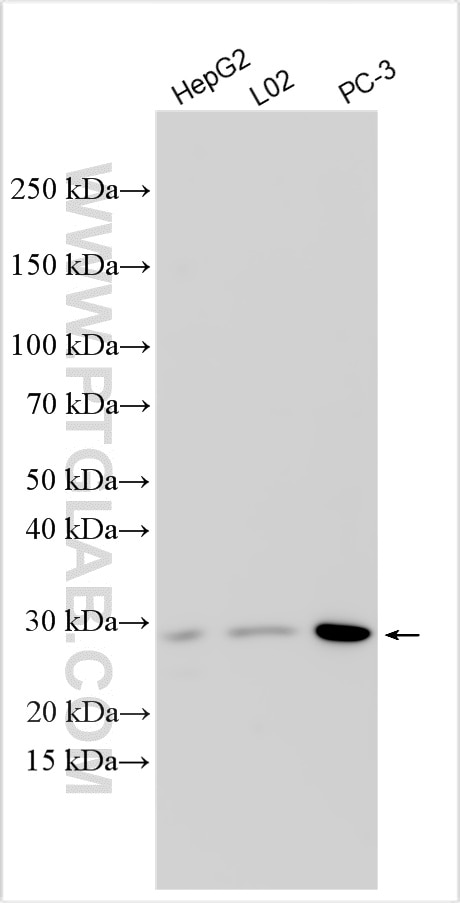
| Positive WB detected in | HepG2 cells, LNCaP cells, L02 cells, PC-3 cells, U2OS cells |
Recommended dilution
| Application | Dilution |
|---|---|
| Western Blot (WB) | WB : 1:500-1:2000 |
| It is recommended that this reagent should be titrated in each testing system to obtain optimal results. | |
| Sample-dependent, Check data in validation data gallery. | |
Product Information
32971-1-AP targets RBPMS2 in WB, ELISA applications and shows reactivity with human samples.
| Tested Reactivity | human |
| Host / Isotype | Rabbit / IgG |
| Class | Polyclonal |
| Type | Antibody |
| Immunogen |
CatNo: Ag37616 Product name: Recombinant human RBPMS2 protein Source: e coli.-derived, PGEX-4T Tag: GST Domain: 115-207 aa of NM_194272 Sequence: SKLMATPNPSNVHPALGAHFIARDPYDLMGAALIPASPEAWAPYPLYTTELTPAISHAAFTYPTATAAAAALHAQVRWYPSSDTTQQGWKYRQFC 相同性解析による交差性が予測される生物種 |
| Full Name | RNA binding protein with multiple splicing 2 |
| Calculated molecular weight | 22 kDa |
| Observed molecular weight | 24 kDa, 26-29 kDa |
| GenBank accession number | NM_194272 |
| Gene Symbol | RBPMS2 |
| Gene ID (NCBI) | 348093 |
| Conjugate | Unconjugated |
| Form | |
| Form | Liquid |
| Purification Method | Antigen affinity Purification |
| UNIPROT ID | Q6ZRY4 |
| Storage Buffer | PBS with 0.02% sodium azide and 50% glycerol{{ptg:BufferTemp}}7.3 |
| Storage Conditions | Store at -20°C. Stable for one year after shipment. Aliquoting is unnecessary for -20oC storage. |
Background Information
RBPMS2 (RNA binding protein with multiple splicing 2) is an RNA binding protein, and its encoded protein is rich in RNA binding motifs, belonging to the family of RNA binding motifs, and has an RNA recognition motif (RRM) domain, which can bind with RNA molecules and participate in RNA regulation. RBPMS2 is abundant in myocardial cells and plays an important role in the development and function of myocardium. It can regulate the differentiation and proliferation of myocardial cells and maintain the normal function of myocardial cells. In gastric cancer, the expression level of RBPMS2 is related to lymph node metastasis, which can be used as a biomarker to predict the prognosis of gastric cancer.
Protocols
| Product Specific Protocols | |
|---|---|
| WB protocol for RBPMS2 antibody 32971-1-AP | Download protocol |
| Standard Protocols | |
|---|---|
| Click here to view our Standard Protocols |

