Validation Data Gallery
Tested Applications
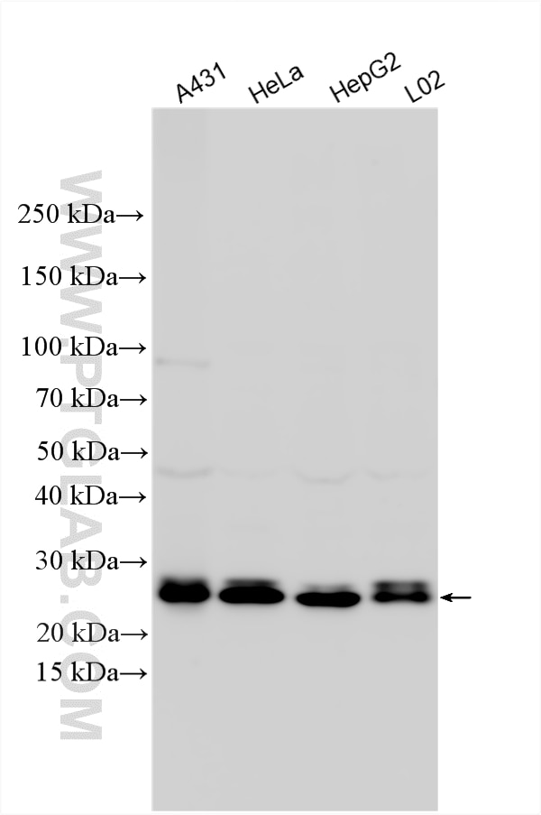
| Positive WB detected in | HeLa cells, HepG2 cells, L02 cells |
| Positive IP detected in | HeLa cells |
| Positive IF/ICC detected in | NIH/3T3 cells, MDCK cells |
Recommended dilution
| Application | Dilution |
|---|---|
| Western Blot (WB) | WB : 1:1000-1:4000 |
| Immunoprecipitation (IP) | IP : 0.5-4.0 ug for 1.0-3.0 mg of total protein lysate |
| Immunofluorescence (IF)/ICC | IF/ICC : 1:50-1:500 |
| It is recommended that this reagent should be titrated in each testing system to obtain optimal results. | |
| Sample-dependent, Check data in validation data gallery. | |
Product Information
30636-1-AP targets RAB8A in WB, IF/ICC, IP, ELISA applications and shows reactivity with human, mouse, canine samples.
| Tested Reactivity | human, mouse, canine |
| Host / Isotype | Rabbit / IgG |
| Class | Polyclonal |
| Type | Antibody |
| Immunogen |
CatNo: Ag30567 Product name: Recombinant human RAB8A protein Source: e coli.-derived, PGEX-4T Tag: GST Domain: 150-204 aa of NM_005370 Sequence: TSAKANINVENAFFTLARDIKAKMDKKLEGNSPQGSNQGVKITPDQQKRSSFFRC 相同性解析による交差性が予測される生物種 |
| Full Name | RAB8A, member RAS oncogene family |
| Calculated molecular weight | 24 kDa |
| Observed molecular weight | 24 kDa |
| GenBank accession number | NM_005370 |
| Gene Symbol | RAB8A |
| Gene ID (NCBI) | 4218 |
| RRID | AB_3086378 |
| Conjugate | Unconjugated |
| Form | |
| Form | Liquid |
| Purification Method | Antigen affinity purification |
| UNIPROT ID | P61006 |
| Storage Buffer | PBS with 0.02% sodium azide and 50% glycerol{{ptg:BufferTemp}}7.3 |
| Storage Conditions | Store at -20°C. Stable for one year after shipment. Aliquoting is unnecessary for -20oC storage. |
Background Information
The Rab8 GTPase is a member of the Ras superfamily that functions in protein transport and membrane restructuring. RAB8 has two isoforms, RAB8A and RAB8B, that share 40% amino acid identity in the C-terminal variable region. RAB8 activity is regulated by specific guanine nucleotide exchange factors (GEFs), that mediate GTP loading, and GTPase activating proteins (GAPs) that convert them into the inactive GDP-bound form. RAB8 participates in recycling of the α-amino-3-hydroxy-5-methyl-4-isoxazolepropionic acid (AMPA) receptors to the dendritic spine surface as well as in the intracellular transport of the metabotropic glutamate receptor type 1 in neuronal cells. Rab8 is activated at the base of the cilium by its guanine nucleotide exchanger Rabin8. The antibody 11792-1-AP can detect both RAB8A and RAB8B.
Protocols
| Product Specific Protocols | |
|---|---|
| IF protocol for RAB8A antibody 30636-1-AP | Download protocol |
| IP protocol for RAB8A antibody 30636-1-AP | Download protocol |
| WB protocol for RAB8A antibody 30636-1-AP | Download protocol |
| Standard Protocols | |
|---|---|
| Click here to view our Standard Protocols |



