Validation Data Gallery
Tested Applications
| Positive WB detected in | HEK-293T cells, HEK-293 cells, λ phosphatase treated HEK-293T cells |
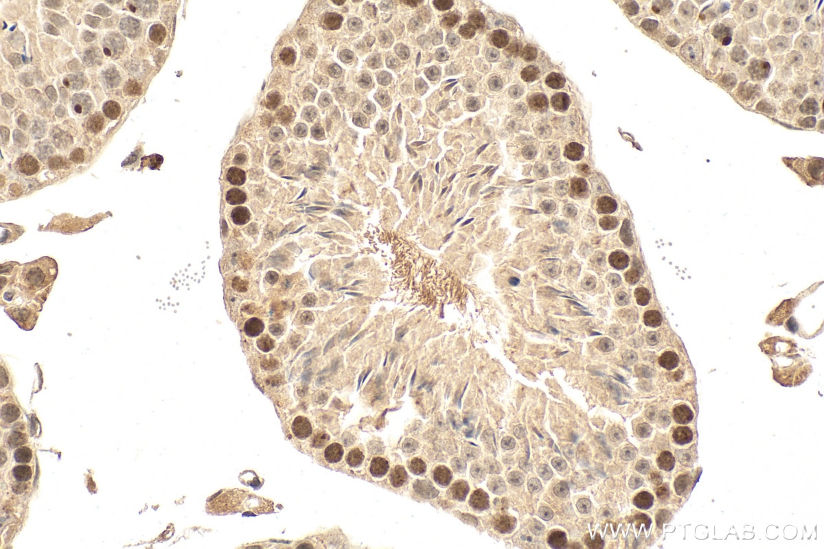
| Positive IHC detected in | mouse testis tissue Note: suggested antigen retrieval with TE buffer pH 9.0; (*) Alternatively, antigen retrieval may be performed with citrate buffer pH 6.0 |
This antibody is equivalent to Thr197/202 in mice.
Recommended dilution
| Application | Dilution |
|---|---|
| Western Blot (WB) | WB : 1:5000-1:50000 |
| Immunohistochemistry (IHC) | IHC : 1:250-1:1000 |
| It is recommended that this reagent should be titrated in each testing system to obtain optimal results. | |
| Sample-dependent, Check data in validation data gallery. | |
Product Information
81398-1-RR targets Phospho-MNK1 (Thr250/255) in WB, IHC, ELISA applications and shows reactivity with human, mouse samples.
| Tested Reactivity | human, mouse |
| Host / Isotype | Rabbit / IgG |
| Class | Recombinant |
| Type | Antibody |
| Immunogen |
Peptide 相同性解析による交差性が予測される生物種 |
| Full Name | MAP kinase interacting serine/threonine kinase 1 |
| Calculated molecular weight | 51 kDa |
| Observed molecular weight | 51 kDa |
| GenBank accession number | BC002755 |
| Gene Symbol | MNK1 |
| Gene ID (NCBI) | 8569 |
| RRID | AB_2935427 |
| Conjugate | Unconjugated |
| Form | |
| Form | Liquid |
| Purification Method | Protein A purification |
| UNIPROT ID | Q9BUB5 |
| Storage Buffer | PBS with 0.02% sodium azide and 50% glycerol{{ptg:BufferTemp}}7.3 |
| Storage Conditions | Store at -20°C. Stable for one year after shipment. Aliquoting is unnecessary for -20oC storage. |
Background Information
MNK1/MKNK1 (MAPK Interacting Serine/Threonine Kinase 1) is a Ser/Thr protein kinase that interacts with, and is activated by ERK1 and p38 mitogen-activated protein kinases, and thus may play a role in the response to environmental stress and cytokines. MNK1 regulates diverse biologic processes including translation, cell proliferation, and differentiation through phosphorylation of different substrates(PMID: 29045529). Through phosphorylation MNK1 regulates the function of eukaryotic translation initiation factor 4E (eIF4E), a key player in translational control, whose expression is mostly upregulated in cancer patients.
Protocols
| Product Specific Protocols | |
|---|---|
| IHC protocol for Phospho-MNK1 (Thr250/255) antibody 81398-1-RR | Download protocol |
| WB protocol for Phospho-MNK1 (Thr250/255) antibody 81398-1-RR | Download protocol |
| Standard Protocols | |
|---|---|
| Click here to view our Standard Protocols |


