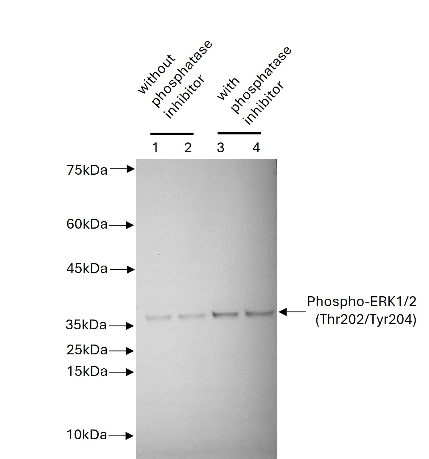
Product Information
Proteintech's Phosphatase Inhibitor Cocktail is a highly potent, broad-spectrum cocktail containing multiple phosphatase inhibitors. The main components include sodium fluoride, sodium orthovanadate, sodium pyrophosphate, beta-glycerophosphate, imidazole, sodium molybdate, sodium tartrate dibasic dihydrate, and other inhibitors, mainly inhibiting serine/threonine phosphatases, acid phosphatases, alkaline phosphatases, tyrosine phosphotases, etc. The cocktail can effectively prevent protein dephosphorylation during the extraction or lysis of primary cells, mammalian cultured cells, animal tissues, plant tissues, yeast or bacteria. It can be used for multiple applications including protein purification, western blotting, immunoprecipitation, immunofluorescence, immunohistochemistry and other studies.
Components
The main components include sodium fluoride, sodium orthovanadate, sodium pyrophosphate, beta-glycerophosphate, imidazole, sodium molybdate, sodium tartrate dibasic dihydrate, and other inhibitors, mainly inhibiting serine/threonine phosphatases, acid phosphatases, alkaline phosphatases, tyrosine phosphotases, etc.
Storage
Store at -20°C for up to one year.
Usage
Dissolve well at room temperature and add to the lysate or sample solution at a dilution ratio of 1:100 or according to the needs of the experiment.
Notes
1. The phosphatase content can differ across samples. Therefore, the amount of phosphatase inhibitor cocktail can be adjusted according to the experimental situation.
2. This product is a highly concentrated solution. A small amount of precipitation may occur and, therefore, needs to be fully dissolved before use.
3. Dissolve at room temperature, do not heat.
4. For your safety and health, please wear lab coats and disposable gloves.
Cited in Article as
pr20015, Phosphatase Inhibitor Cocktail (100X), Proteintech, IL, USA
Documentation
| SDS |
|---|
| Phosphatase Inhibitor Cocktail (100X) |
| Datasheet |
|---|
| Phosphatase Inhibitor Cocktail (100X) Datasheet |
Publications
| Application | Title |
|---|---|
Life Sci Gap26 inhibited angiogenesis through the β-catenin-VE-cadherin-VEGFR2-Erk signaling pathway | |
Hum Cell NR2F1 overexpression alleviates trophoblast cell dysfunction by inhibiting GDF15/MAPK axis in preeclampsia | |
BMC Endocr Disord Acteoside protects podocyte against apoptosis through regulating AKT/GSK-3β signaling pathway in db/db mice | |
Front Pharmacol Ephedra sinica polysaccharide regulate the anti-inflammatory immunity of intestinal microecology and bacterial metabolites in rheumatoid arthritis | |
Adv Sci (Weinh) Snord15b Maintains Stemness of Intestinal Stem Cells via Enhancement of Alternative Splicing of Btrc Short Isoform for Suppression of β-Catenin Ubiquitination | |
Int J Mol Sci Preventive Effect of the Total Polyphenols from Nymphaea candida on Sepsis-Induced Acute Lung Injury in Mice via Gut Microbiota and NLRP3, TLR-4/NF-κB Pathway |
