Validation Data Gallery
Tested Applications
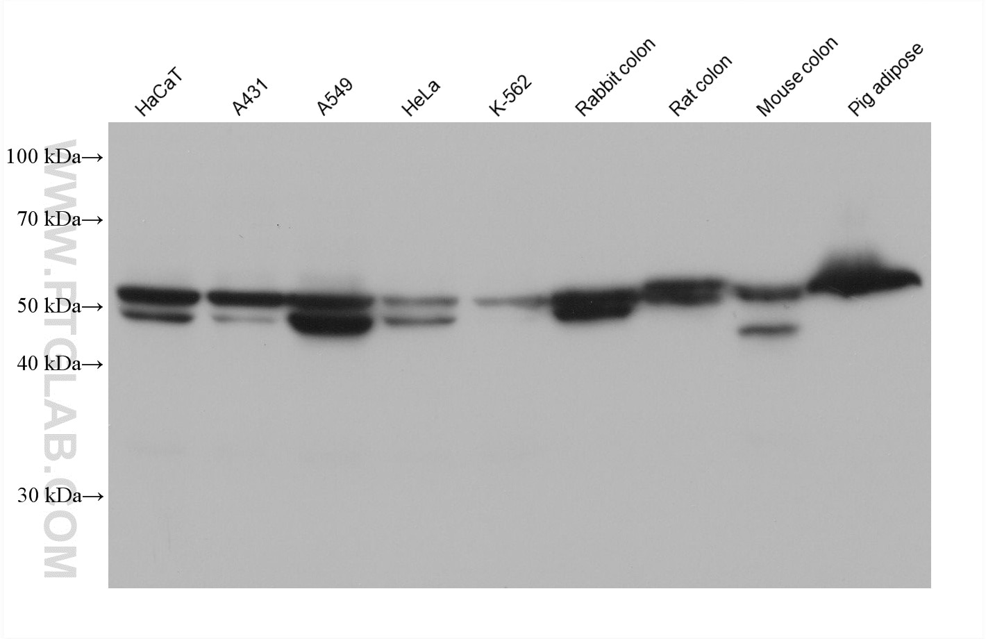
| Positive WB detected in | HaCaT cells, A431 cells, A549 cells, HeLa cells, K-562 cells, rabbit colon tissue, rat colon tissue, mouse colon tissue, pig adipose tissue |
Recommended dilution
| Application | Dilution |
|---|---|
| Western Blot (WB) | WB : 1:5000-1:50000 |
| It is recommended that this reagent should be titrated in each testing system to obtain optimal results. | |
| Sample-dependent, Check data in validation data gallery. | |
Product Information
60562-4-Ig targets PTRF in WB, ELISA applications and shows reactivity with human, mouse, rat, pig, rabbit samples.
| Tested Reactivity | human, mouse, rat, pig, rabbit |
| Host / Isotype | Mouse / IgG2b |
| Class | Monoclonal |
| Type | Antibody |
| Immunogen |
CatNo: Ag13495 Product name: Recombinant human PTRF protein Source: e coli.-derived, PET28a Tag: 6*His Domain: 1-198 aa of BC008849 Sequence: MEDAAALELSSDEAVEVEEVIEESRAERIKRSGLRRVDDFKKAFSKEKMEKTKVRTRENLEKTRLKTKENLEKTRHTLEKRMNKLGTRLVPAERREKLKTSRDKLRKSFTPDHVVYARSKTAVYKVPPFTFHVKKIREGQVEVLKATEMVEVGADDDEGGAERGEAGDLRRGSSPDVHALLEITEESDAVLVDKSDSD 相同性解析による交差性が予測される生物種 |
| Full Name | polymerase I and transcript release factor |
| Calculated molecular weight | 43 kDa |
| Observed molecular weight | 50-55 kDa |
| GenBank accession number | BC008849 |
| Gene Symbol | PTRF |
| Gene ID (NCBI) | 284119 |
| Conjugate | Unconjugated |
| Form | |
| Form | Liquid |
| Purification Method | Protein A purification |
| UNIPROT ID | Q6NZI2 |
| Storage Buffer | PBS with 0.02% sodium azide and 50% glycerol{{ptg:BufferTemp}}7.3 |
| Storage Conditions | Store at -20°C. Stable for one year after shipment. Aliquoting is unnecessary for -20oC storage. |
Background Information
Polymerase I and transcript release factor(PTRF) is an essential factor in the biogenesis of caveolae, which involve in numerous process, such as signal transduction and membrane and lipid trafficking. PTRF can terminate transcription of RNA Pol I, which involves pausing of transcription by TTF1, and dissociation of the transcription complex, release the complex from the template. The calculated molecular weight of PTRF is 43 kDa, but modified PTRF is about 50-55 kDa. (PMID: 11139612 )
Protocols
| Product Specific Protocols | |
|---|---|
| WB protocol for PTRF antibody 60562-4-Ig | Download protocol |
| Standard Protocols | |
|---|---|
| Click here to view our Standard Protocols |
