Validation Data Gallery
Tested Applications
| Positive WB detected in | HeLa cells, mouse heart tissue, HepG2 cells, HEK-293 cells, Jurkat cells, rat heart tissue, pig heart tissue | 
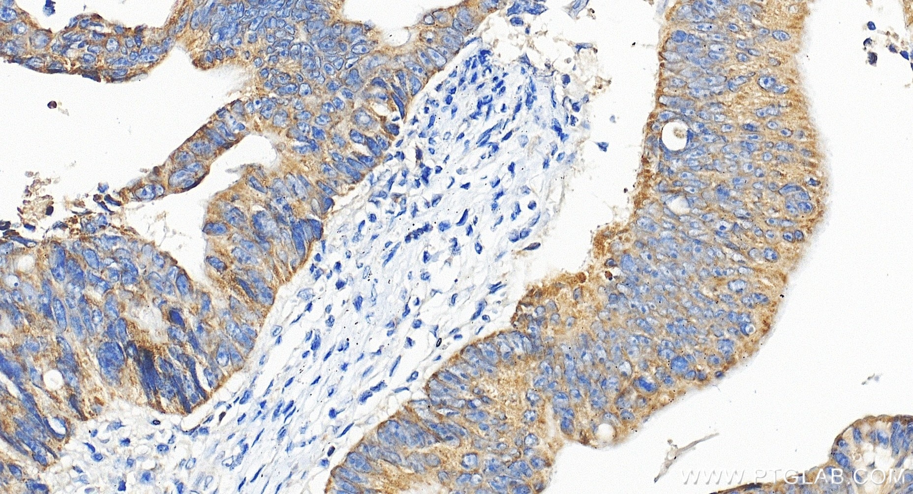
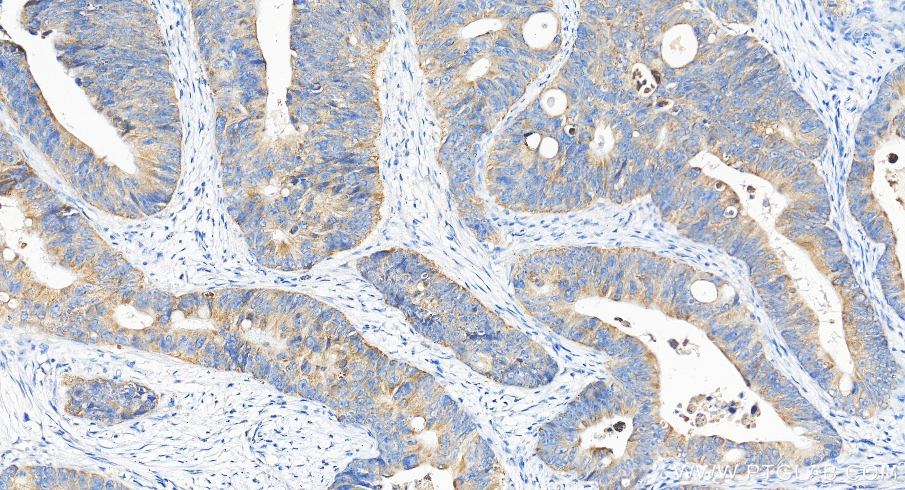
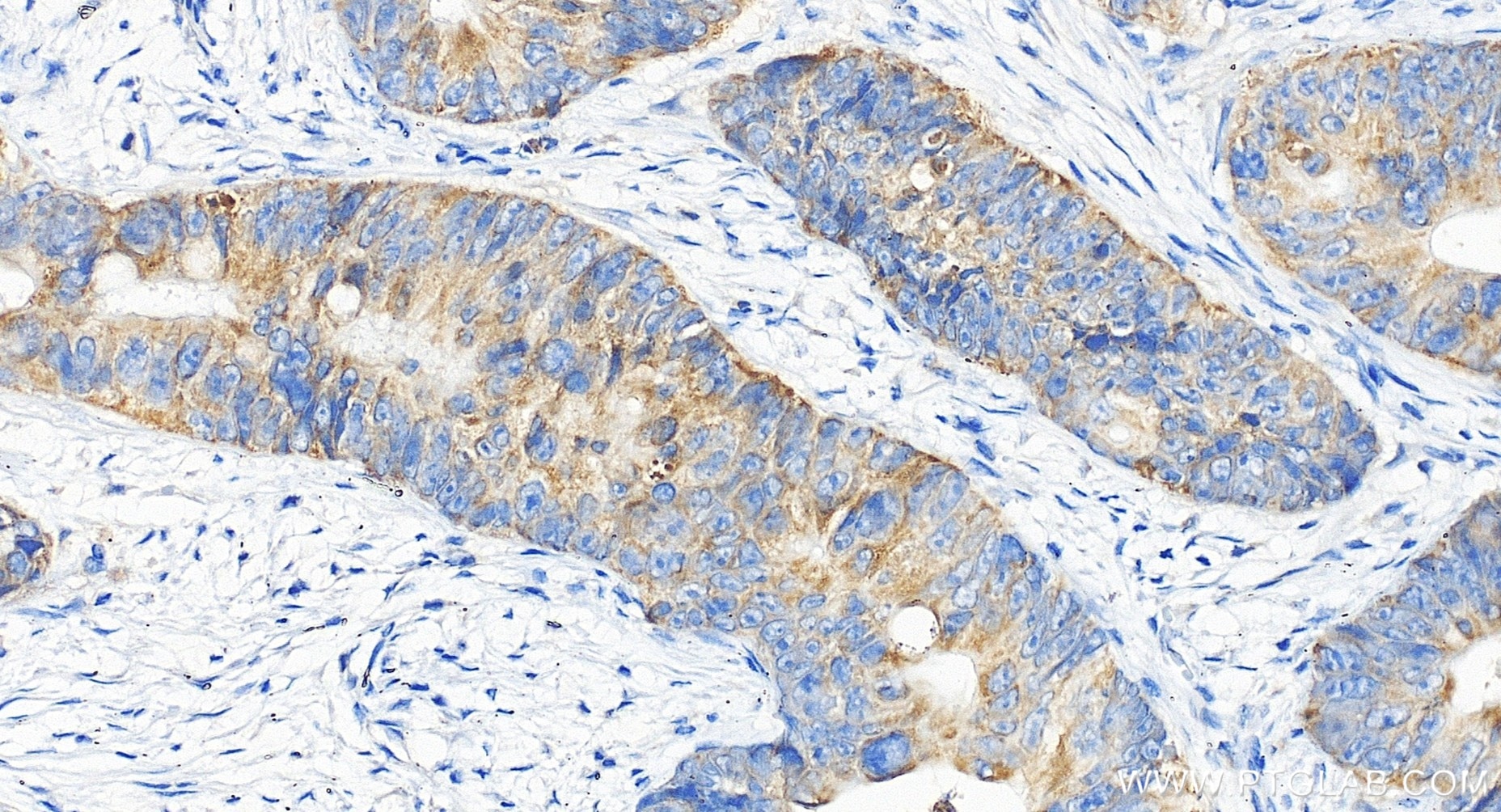
| Positive IHC detected in | human colon cancer tissue Note: suggested antigen retrieval with TE buffer pH 9.0; (*) Alternatively, antigen retrieval may be performed with citrate buffer pH 6.0 | 
| Positive IF/ICC detected in | HepG2 cells, HeLa cells | 
Recommended dilution
| Application | Dilution | 
|---|---|
| Western Blot (WB) | WB : 1:5000-1:50000 | 
| Immunohistochemistry (IHC) | IHC : 1:50-1:500 | 
| Immunofluorescence (IF)/ICC | IF/ICC : 1:50-1:500 | 
| It is recommended that this reagent should be titrated in each testing system to obtain optimal results. | |
| Sample-dependent, Check data in validation data gallery. | |
Product Information
85419-4-RR targets PTGES2 in WB, IHC, IF/ICC, ELISA applications and shows reactivity with human, mouse, rat, pig samples.
| Tested Reactivity | human, mouse, rat, pig | 
| Host / Isotype | Rabbit / IgG | 
| Class | Recombinant | 
| Type | Antibody | 
| Immunogen | CatNo: Ag1329 Product name: Recombinant human PTGES2 protein Source: e coli.-derived, PGEX-4T Tag: GST Domain: 1-377 aa of BC011613 Sequence: MDPAARVVRALWPGGCALAWRLGGRPQPLLPTQSRAGFAGAAGGPSPVAAARKGSPRLLGAAALALGGALGLYHTARWHLRAQDLHAERSAAQLSLSSRLQLTLYQYKTCPFCSKVRAFLDFHALPYQVVEVNPVRRAEIKFSSYRKVPILVAQEGESSQQLNDSSVIISALKTYLVSGQPLEEIITYYPAMKAVNEQGKEVTEFGNKYWLMLNEKEAQQVYGGKEARTEEMKWRQWADDWLVHLISPNVYRTPTEALASFDYIVREGKFGAVEGAVAKYMGAAAMYLISKRLKSRHRLQDNVREDLYEAADKWVAAVGKDRPFMGGQKPNLADLAVYGVLRVMEGLDAFDDLMQHTHIQPWYLRVERAITEASPAH相同性解析による交差性が予測される生物種 | 
| Full Name | prostaglandin E synthase 2 | 
| Calculated molecular weight | 42 kDa | 
| Observed molecular weight | 30-35 kDa | 
| GenBank accession number | BC011613 | 
| Gene Symbol | PTGES2 | 
| Gene ID (NCBI) | 80142 | 
| Conjugate | Unconjugated | 
| Form | |
| Form | Liquid | 
| Purification Method | Protein A purification | 
| UNIPROT ID | Q9H7Z7 | 
| Storage Buffer | PBS with 0.02% sodium azide and 50% glycerol{{ptg:BufferTemp}}7.3 | 
| Storage Conditions | Store at -20°C. Stable for one year after shipment. Aliquoting is unnecessary for -20oC storage. | 
Background Information
PTGES2 (Prostaglandin E synthase 2) catalyzes the conversion of unstable intermediate of prostaglandin E2 H2 (PGH2) into the more stable prostaglandin E2 (PGE2) form. Its predicted size is 42 kDa, but it was detected one band of 35 kDa in the prostate and two bands of 30 kDa, 50 kDa in liver by western blot (PMID:17566096). PTGES2 protein is a homotetramer, whereas two PTGES2 molecules each form a strongly interacting dimer(PMID:19268562).
Protocols
| Product Specific Protocols | |
|---|---|
| IF protocol for PTGES2 antibody 85419-4-RR | Download protocol | 
| IHC protocol for PTGES2 antibody 85419-4-RR | Download protocol | 
| WB protocol for PTGES2 antibody 85419-4-RR | Download protocol | 
| Standard Protocols | |
|---|---|
| Click here to view our Standard Protocols | 








