Validation Data Gallery
Tested Applications
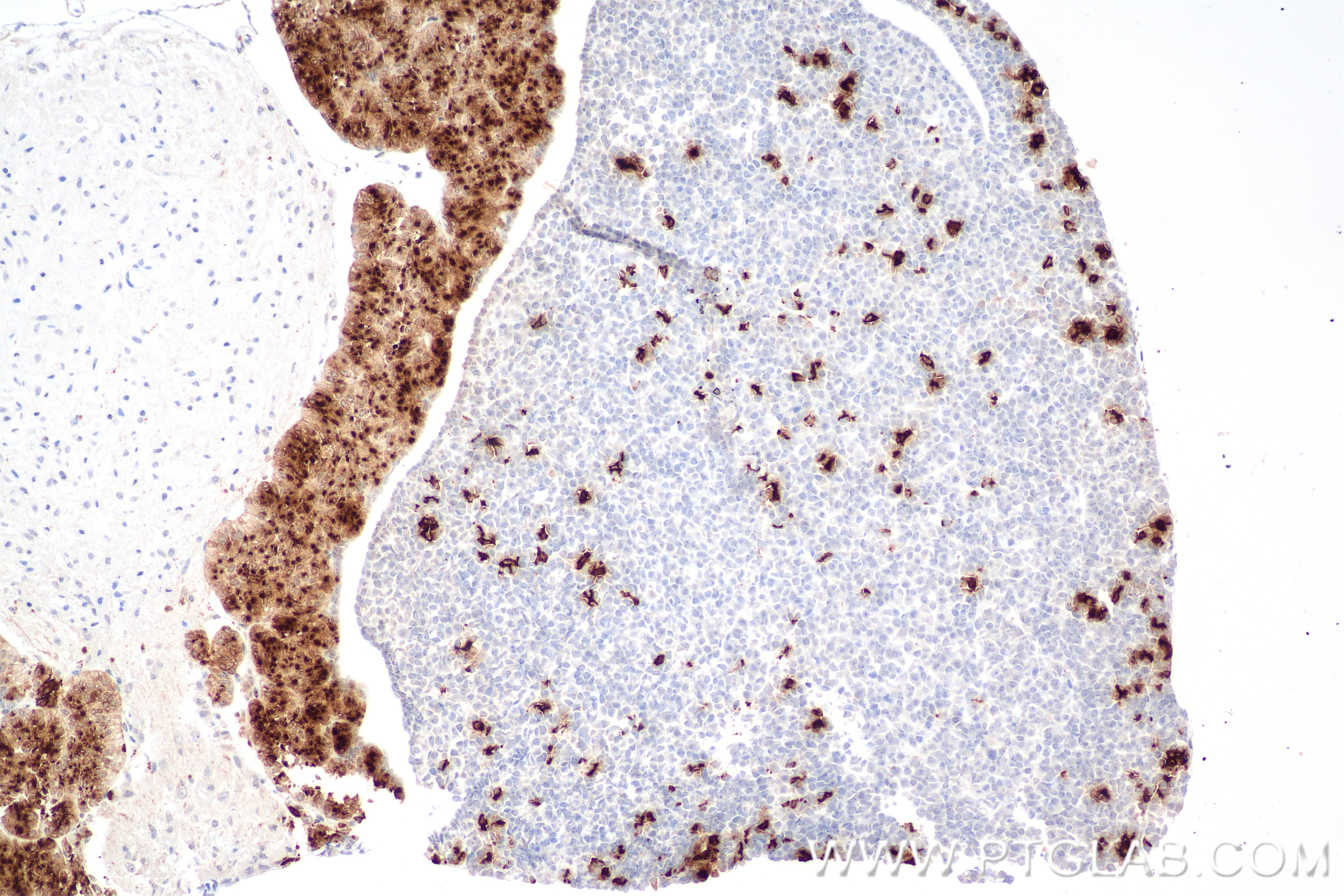
| Positive IHC detected in | mouse pituitary gland tissue Note: suggested antigen retrieval with TE buffer pH 9.0; (*) Alternatively, antigen retrieval may be performed with citrate buffer pH 6.0 |
| Positive IF-P detected in | mouse pituitary gland tissue |
Recommended dilution
| Application | Dilution |
|---|---|
| Immunohistochemistry (IHC) | IHC : 1:1000-1:4000 |
| Immunofluorescence (IF)-P | IF-P : 1:500-1:2000 |
| It is recommended that this reagent should be titrated in each testing system to obtain optimal results. | |
| Sample-dependent, Check data in validation data gallery. | |
Product Information
82498-2-RR targets ACTH in IHC, IF-P, ELISA applications and shows reactivity with human, mouse samples.
| Tested Reactivity | human, mouse |
| Host / Isotype | Rabbit / IgG |
| Class | Recombinant |
| Type | Antibody |
| Immunogen |
Peptide 相同性解析による交差性が予測される生物種 |
| Full Name | proopiomelanocortin |
| Calculated molecular weight | 267 aa, 29 kDa |
| GenBank accession number | BC065832 |
| Gene Symbol | POMC |
| Gene ID (NCBI) | 5443 |
| Conjugate | Unconjugated |
| Form | |
| Form | Liquid |
| Purification Method | Protein A purification |
| UNIPROT ID | P01189 |
| Storage Buffer | PBS with 0.02% sodium azide and 50% glycerol{{ptg:BufferTemp}}7.3 |
| Storage Conditions | Store at -20°C. Stable for one year after shipment. Aliquoting is unnecessary for -20oC storage. |
Background Information
Pro-opiomelanocortin (POMC) is a prohormone that encodes multiple smaller peptide hormones within its structure. POMC plays important roles in many pathological and physiological processes, including regulating energy metabolism, immune reactions, and sexual functions. POMC expression differs quantitatively and qualitatively among most normal tissues. The large molecule of POMC is the source of several important biologically active substances. POMC can be cleaved enzymatically into the following peptides: d NPP, γ-MSH, ACTH, α-MSH, CLIP, Lipotropin β, Lipotropin γ, β-MSH, β endorphin and Met-enkephalin.
Protocols
| Product Specific Protocols | |
|---|---|
| IF protocol for ACTH antibody 82498-2-RR | Download protocol |
| IHC protocol for ACTH antibody 82498-2-RR | Download protocol |
| Standard Protocols | |
|---|---|
| Click here to view our Standard Protocols |

