Validation Data Gallery
Tested Applications
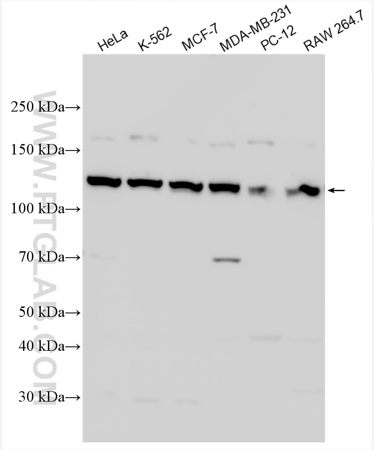
| Positive WB detected in | RAW 264.7 cells, Jurkat cells, K-562 cells, MCF-7 cells, MDA-MB-231 cells, PC-12 cells |
| Positive IP detected in | HeLa cells |
| Positive IHC detected in | human breast cancer tissue, human colon cancer tissue Note: suggested antigen retrieval with TE buffer pH 9.0; (*) Alternatively, antigen retrieval may be performed with citrate buffer pH 6.0 |
| Positive IF/ICC detected in | HeLa cells |
Recommended dilution
| Application | Dilution |
|---|---|
| Western Blot (WB) | WB : 1:1000-1:4000 |
| Immunoprecipitation (IP) | IP : 0.5-4.0 ug for 1.0-3.0 mg of total protein lysate |
| Immunohistochemistry (IHC) | IHC : 1:50-1:500 |
| Immunofluorescence (IF)/ICC | IF/ICC : 1:200-1:800 |
| It is recommended that this reagent should be titrated in each testing system to obtain optimal results. | |
| Sample-dependent, Check data in validation data gallery. | |
Published Applications
| KD/KO | See 2 publications below |
| WB | See 25 publications below |
| IHC | See 2 publications below |
Product Information
15646-1-AP targets POLD1 in WB, IHC, IF/ICC, IP, ELISA applications and shows reactivity with human, mouse, rat samples.
| Tested Reactivity | human, mouse, rat |
| Cited Reactivity | human, mouse, canine |
| Host / Isotype | Rabbit / IgG |
| Class | Polyclonal |
| Type | Antibody |
| Immunogen |
CatNo: Ag8178 Product name: Recombinant human POLD1 protein Source: e coli.-derived, PGEX-4T Tag: GST Domain: 858-1107 aa of BC008800 Sequence: EGAVAHAQDVISDLLCNRIDISQLVITKELTRAASDYAGKQAHVELAERMRKRDPGSAPSLGDRVPYVIISAAKGVAAYMKSEDPLFVLEHSLPIDTQYYLEQQLAKPLLRIFEPILGEGRAEAVLLRGDHTRCKTVLTGKVGGLLAFAKRRNCCIGCRTVLSHQGAVCEFCQPRESELYQKEVSHLNALEERFSRLWTQCQRCQGSLHEDVICTSRDCPIFYMRKKVRKDLEDQEQLLRRFGPPGPEAW 相同性解析による交差性が予測される生物種 |
| Full Name | polymerase (DNA directed), delta 1, catalytic subunit 125kDa |
| Calculated molecular weight | 1107 aa, 124 kDa |
| Observed molecular weight | 124 kDa |
| GenBank accession number | BC008800 |
| Gene Symbol | POLD1 |
| Gene ID (NCBI) | 5424 |
| RRID | AB_2252572 |
| Conjugate | Unconjugated |
| Form | |
| Form | Liquid |
| Purification Method | Antigen affinity purification |
| UNIPROT ID | P28340 |
| Storage Buffer | PBS with 0.02% sodium azide and 50% glycerol{{ptg:BufferTemp}}7.3 |
| Storage Conditions | Store at -20°C. Stable for one year after shipment. Aliquoting is unnecessary for -20oC storage. |
Background Information
POLD1, also known as DNA polymerase subunit delta p125, is 1107 amino acid protein, which belongs to the DNA polymerase type-B family. POLD1 colocalizes with PCNA and POLD3 at S phase replication sites (PubMed:11595739). As the catalytic component of the trimeric (Pol-delta3 complex) and tetrameric DNA polymerase delta complexes (Pol-delta4 complex), plays a crucial role in high fidelity genome replication, including in lagging strand synthesis, and repair. A previous study demonstrated that overexpression of POLD1 is associated with an increased risk of breast cancer. (PMID: 30344713 )
Protocols
| Product Specific Protocols | |
|---|---|
| IF protocol for POLD1 antibody 15646-1-AP | Download protocol |
| IHC protocol for POLD1 antibody 15646-1-AP | Download protocol |
| IP protocol for POLD1 antibody 15646-1-AP | Download protocol |
| WB protocol for POLD1 antibody 15646-1-AP | Download protocol |
| Standard Protocols | |
|---|---|
| Click here to view our Standard Protocols |
Publications
| Species | Application | Title |
|---|---|---|
Cell Systematic discovery of mutation-directed neo-protein-protein interactions in cancer. | ||
Science MMS19 assembles iron-sulfur proteins required for DNA metabolism and genomic integrity. | ||
Nat Microbiol Core components of DNA lagging strand synthesis machinery are essential for hepatitis B virus cccDNA formation. | ||
Nat Commun Hepatitis B virus cccDNA is formed through distinct repair processes of each strand. | ||
Hum Mol Genet Cytosolic HSC20 integrates de novo iron-sulfur cluster biogenesis with the CIAO1-mediated transfer to recipients. | ||
Hum Mol Genet ISCA1 mutation in a patient with infantile-onset leukodystrophy causes defects in mitochondrial [4Fe-4S] proteins. |







