Validation Data Gallery
Tested Applications
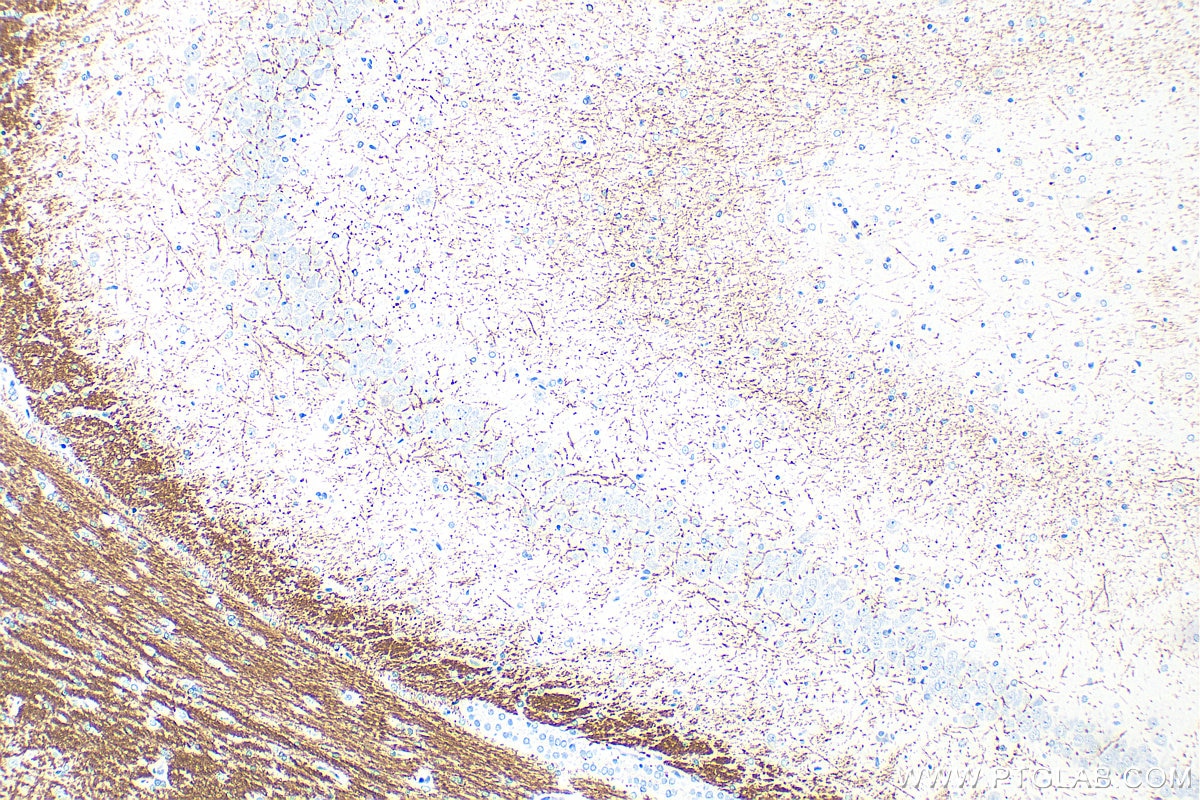
| Positive IHC detected in | mouse brain tissue, human brain tissue, rat brain tissue Note: suggested antigen retrieval with TE buffer pH 9.0; (*) Alternatively, antigen retrieval may be performed with citrate buffer pH 6.0 |
| Positive IF-P detected in | mouse brain tissue |
Recommended dilution
| Application | Dilution |
|---|---|
| Immunohistochemistry (IHC) | IHC : 1:50-1:500 |
| Immunofluorescence (IF)-P | IF-P : 1:200-1:800 |
| It is recommended that this reagent should be titrated in each testing system to obtain optimal results. | |
| Sample-dependent, Check data in validation data gallery. | |
Product Information
33901-1-AP targets PLP1 in IHC, IF-P, ELISA applications and shows reactivity with human, mouse, rat samples.
| Tested Reactivity | human, mouse, rat |
| Host / Isotype | Rabbit / IgG |
| Class | Polyclonal |
| Type | Antibody |
| Immunogen |
CatNo: Ag38738 Product name: Recombinant human PLP1 protein Source: e coli.-derived, PGEX-4T Tag: GST Domain: 89-151 aa of NM_000533.4 Sequence: EGFYTTGAVRQIFGDYKTTICGKGLSATVTGGQKGRGSRGQHQAHSLERVCHCLGKWLGHPDK 相同性解析による交差性が予測される生物種 |
| Full Name | proteolipid protein 1 |
| Calculated molecular weight | 30kDa,277aa |
| GenBank accession number | NM_000533.4 |
| Gene Symbol | PLP1 |
| Gene ID (NCBI) | 5354 |
| Conjugate | Unconjugated |
| Form | |
| Form | Liquid |
| Purification Method | Antigen affinity Purification |
| UNIPROT ID | P60201 |
| Storage Buffer | PBS with 0.02% sodium azide and 50% glycerol{{ptg:BufferTemp}}7.3 |
| Storage Conditions | Store at -20°C. Stable for one year after shipment. Aliquoting is unnecessary for -20oC storage. |
Background Information
Myelin proteolipid protein is also named PLP1 and Lipophilin. Plp1 is abundantly expressed by oligodendrocytes of the central nervous system (CNS), where it encodes the most abundant protein in CNS myelin (PMID: 19452287). Plp1 expression preferentially occurs during early postnatal development, primarily as the DM20 isoform (PMID: 37293625).
Protocols
| Product Specific Protocols | |
|---|---|
| IF protocol for PLP1 antibody 33901-1-AP | Download protocol |
| IHC protocol for PLP1 antibody 33901-1-AP | Download protocol |
| Standard Protocols | |
|---|---|
| Click here to view our Standard Protocols |





