Validation Data Gallery
Tested Applications
| Positive WB detected in | mouse brain tissue, rat brain tissue |
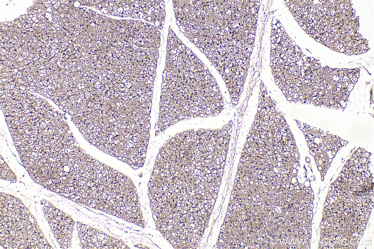
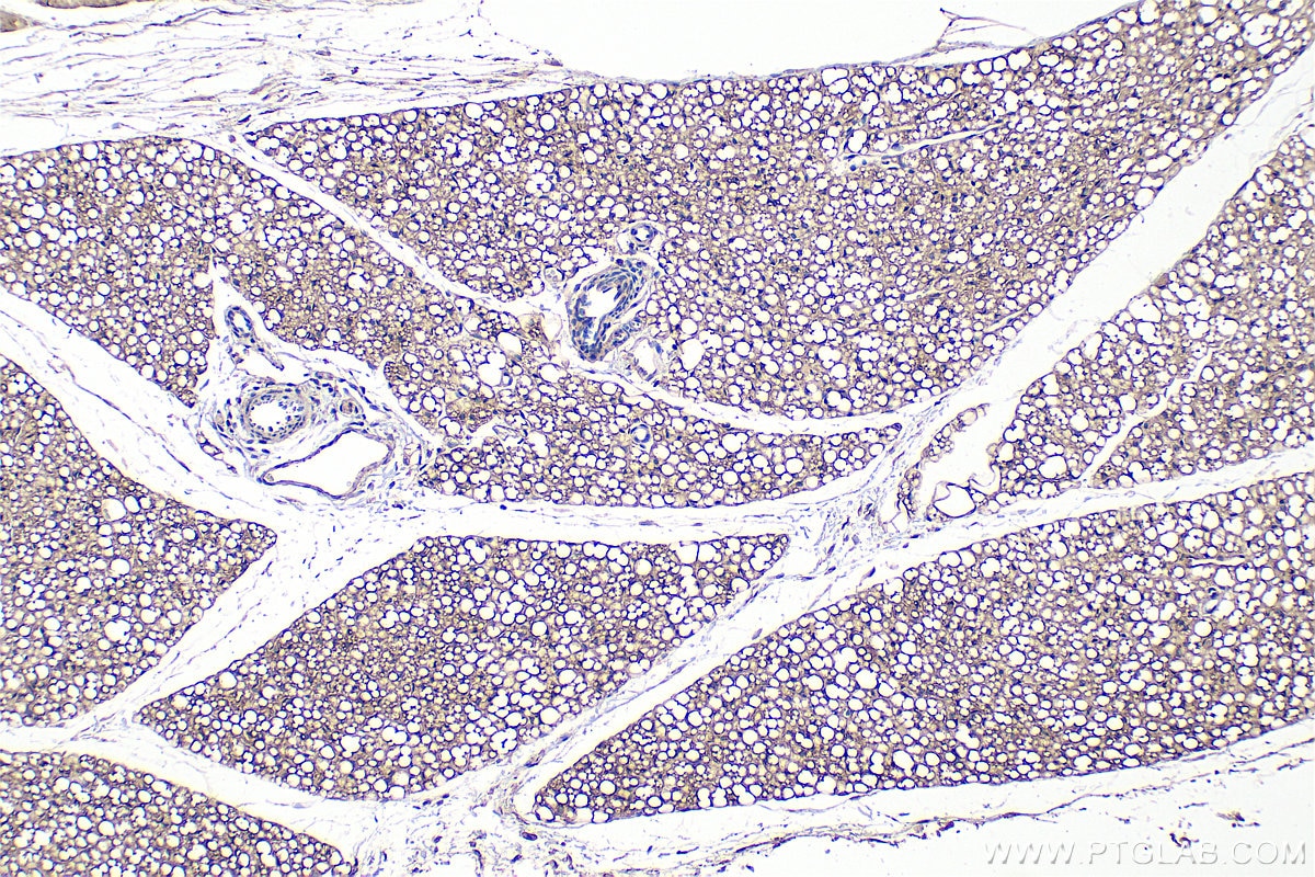
| Positive IHC detected in | rat brown adipose tissue, mouse brown adipose tissue Note: suggested antigen retrieval with TE buffer pH 9.0; (*) Alternatively, antigen retrieval may be performed with citrate buffer pH 6.0 |
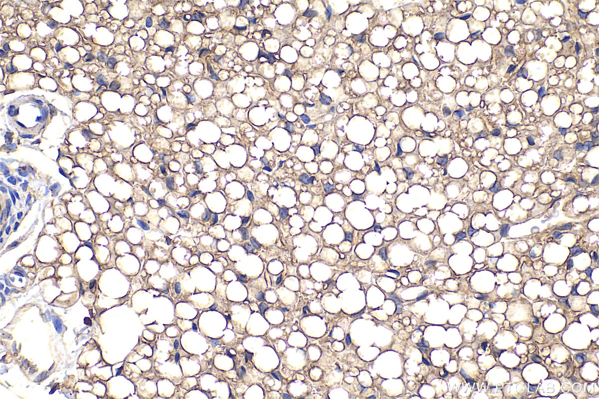
| Positive IF-P detected in | mouse brown adipose tissue |
Recommended dilution
| Application | Dilution |
|---|---|
| Western Blot (WB) | WB : 1:500-1:3000 |
| Immunohistochemistry (IHC) | IHC : 1:150-1:600 |
| Immunofluorescence (IF)-P | IF-P : 1:200-1:800 |
| It is recommended that this reagent should be titrated in each testing system to obtain optimal results. | |
| Sample-dependent, Check data in validation data gallery. | |
Product Information
25424-1-AP targets PLEKHF2 in WB, IHC, IF-P, ELISA applications and shows reactivity with human, mouse, rat samples.
| Tested Reactivity | human, mouse, rat |
| Host / Isotype | Rabbit / IgG |
| Class | Polyclonal |
| Type | Antibody |
| Immunogen |
CatNo: Ag22285 Product name: Recombinant human PLEKHF2 protein Source: e coli.-derived, PGEX-4T Tag: GST Domain: 186-249 aa of BC011806 Sequence: CSEKRFLLPSQSSKPVRICDFCYDLLSAGDMATCQPARSDSYSQSLKSPLNDMSDDDDDDDSSD 相同性解析による交差性が予測される生物種 |
| Full Name | pleckstrin homology domain containing, family F (with FYVE domain) member 2 |
| Calculated molecular weight | 249 aa, 28 kDa |
| Observed molecular weight | 22-27 kDa |
| GenBank accession number | BC011806 |
| Gene Symbol | PLEKHF2 |
| Gene ID (NCBI) | 79666 |
| RRID | AB_3669474 |
| Conjugate | Unconjugated |
| Form | |
| Form | Liquid |
| Purification Method | Antigen affinity purification |
| UNIPROT ID | Q9H8W4 |
| Storage Buffer | PBS with 0.02% sodium azide and 50% glycerol{{ptg:BufferTemp}}7.3 |
| Storage Conditions | Store at -20°C. Stable for one year after shipment. Aliquoting is unnecessary for -20oC storage. |
Background Information
Phafin2 is a lysosomal protein consisting of 249 amino acids with a unique structure containing both an N-terminal PH (pleckstrin homology) domain and C terminal FYVE (Fab 1, YOTB, Vac 1, and EEA1) domain.
Protocols
| Product Specific Protocols | |
|---|---|
| IF protocol for PLEKHF2 antibody 25424-1-AP | Download protocol |
| IHC protocol for PLEKHF2 antibody 25424-1-AP | Download protocol |
| WB protocol for PLEKHF2 antibody 25424-1-AP | Download protocol |
| Standard Protocols | |
|---|---|
| Click here to view our Standard Protocols |





