Validation Data Gallery
Tested Applications
| Positive WB detected in | human placenta tissue, MDA-MB-231 cells, U-87 MG cells |
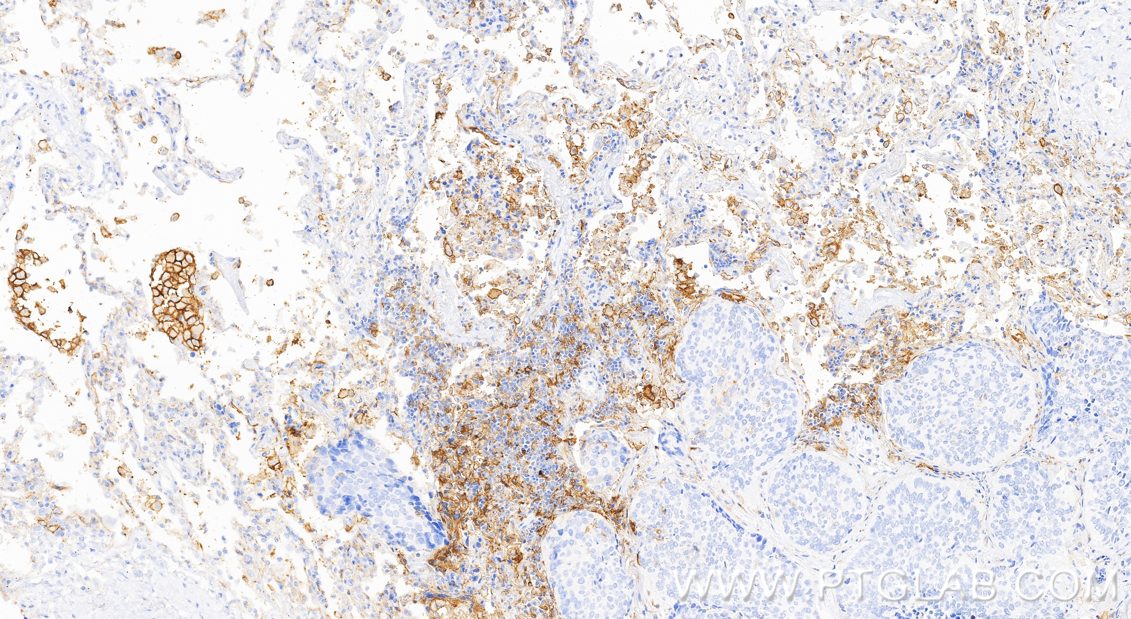
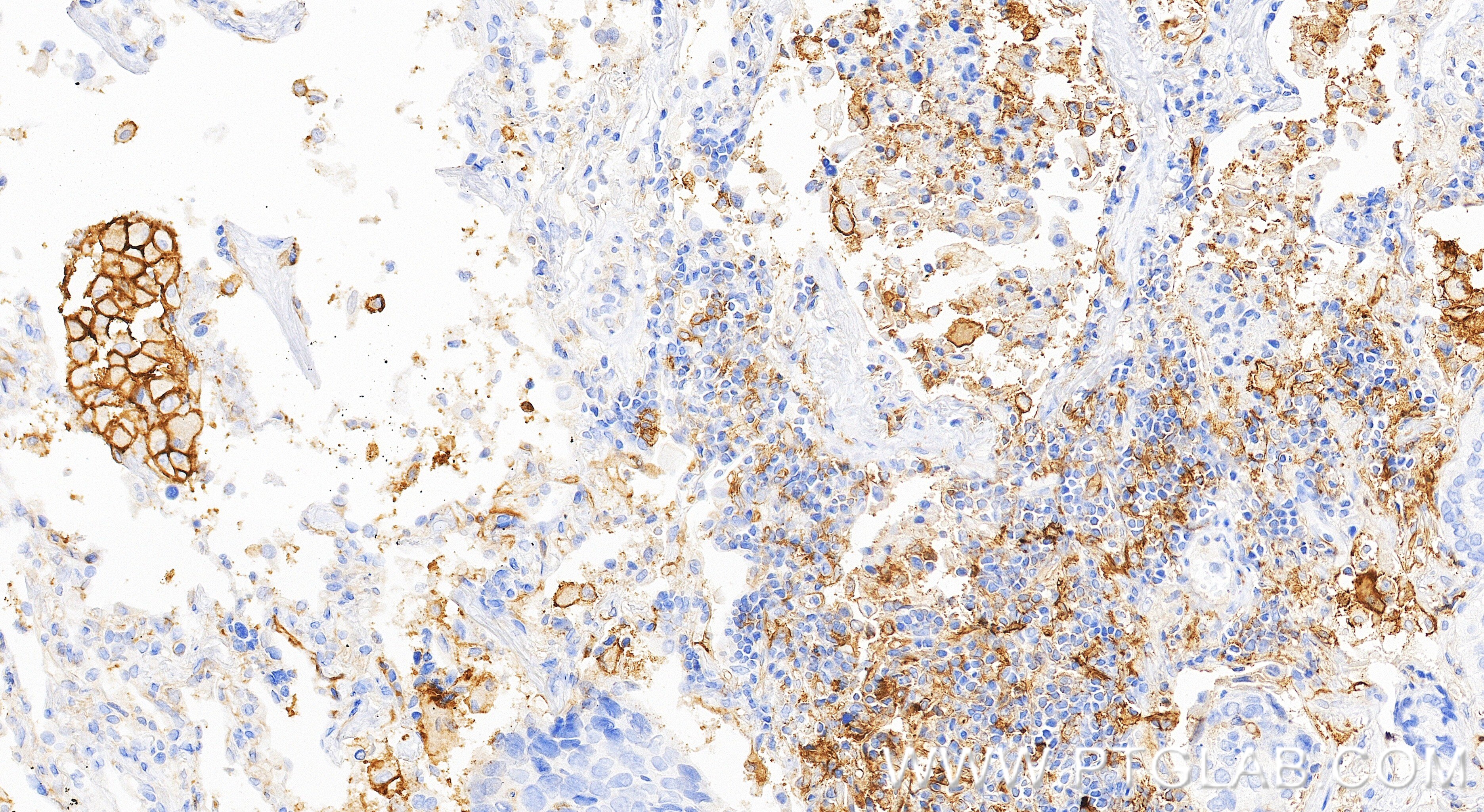
| Positive IHC detected in | human tonsillitis tissue, human lung cancer tissue Note: suggested antigen retrieval with TE buffer pH 9.0; (*) Alternatively, antigen retrieval may be performed with citrate buffer pH 6.0 |
Recommended dilution
| Application | Dilution |
|---|---|
| Western Blot (WB) | WB : 1:2000-1:10000 |
| Immunohistochemistry (IHC) | IHC : 1:1000-1:4000 |
| It is recommended that this reagent should be titrated in each testing system to obtain optimal results. | |
| Sample-dependent, Check data in validation data gallery. | |
Product Information
85229-23-RR targets PD-L1/CD274 in WB, IHC, ELISA applications and shows reactivity with human samples.
| Tested Reactivity | human |
| Host / Isotype | Rabbit / IgG |
| Class | Recombinant |
| Type | Antibody |
| Immunogen |
Peptide 相同性解析による交差性が予測される生物種 |
| Full Name | CD274 molecule |
| Calculated molecular weight | 290 aa, 33 kDa |
| Observed molecular weight | 50-55 kDa |
| GenBank accession number | BC074984 |
| Gene Symbol | PD-L1 |
| Gene ID (NCBI) | 29126 |
| Conjugate | Unconjugated |
| Form | |
| Form | Liquid |
| Purification Method | Protein A purification |
| UNIPROT ID | Q9NZQ7 |
| Storage Buffer | PBS with 0.02% sodium azide and 50% glycerol{{ptg:BufferTemp}}7.3 |
| Storage Conditions | Store at -20°C. Stable for one year after shipment. Aliquoting is unnecessary for -20oC storage. |
Background Information
Programmed cell death ligand 1 (PD-L1, CD274, or B7-H1), is the first member of B7 family to be discovered. B7 family molecules are type I transmembrane proteins belonging to the immunoglobulin superfamily. In concert with their CD28 family receptors, the B7s are key regulators of the adaptive immune response. PD-L1 is suggested as a negative regulator of T and B cell, and plays important role in mediating tolerance of lymphocytes to self-antigens. It is also involved in the costimulatory signal, essential for T-cell proliferation and production of IL10 and IFNG, in an IL2-dependent and a PD-1-independent manner.
Protocols
| Product Specific Protocols | |
|---|---|
| IHC protocol for PD-L1/CD274 antibody 85229-23-RR | Download protocol |
| WB protocol for PD-L1/CD274 antibody 85229-23-RR | Download protocol |
| Standard Protocols | |
|---|---|
| Click here to view our Standard Protocols |






