Validation Data Gallery
Tested Applications
| Positive WB detected in | SKOV-3 cells, rat kidney tissue |
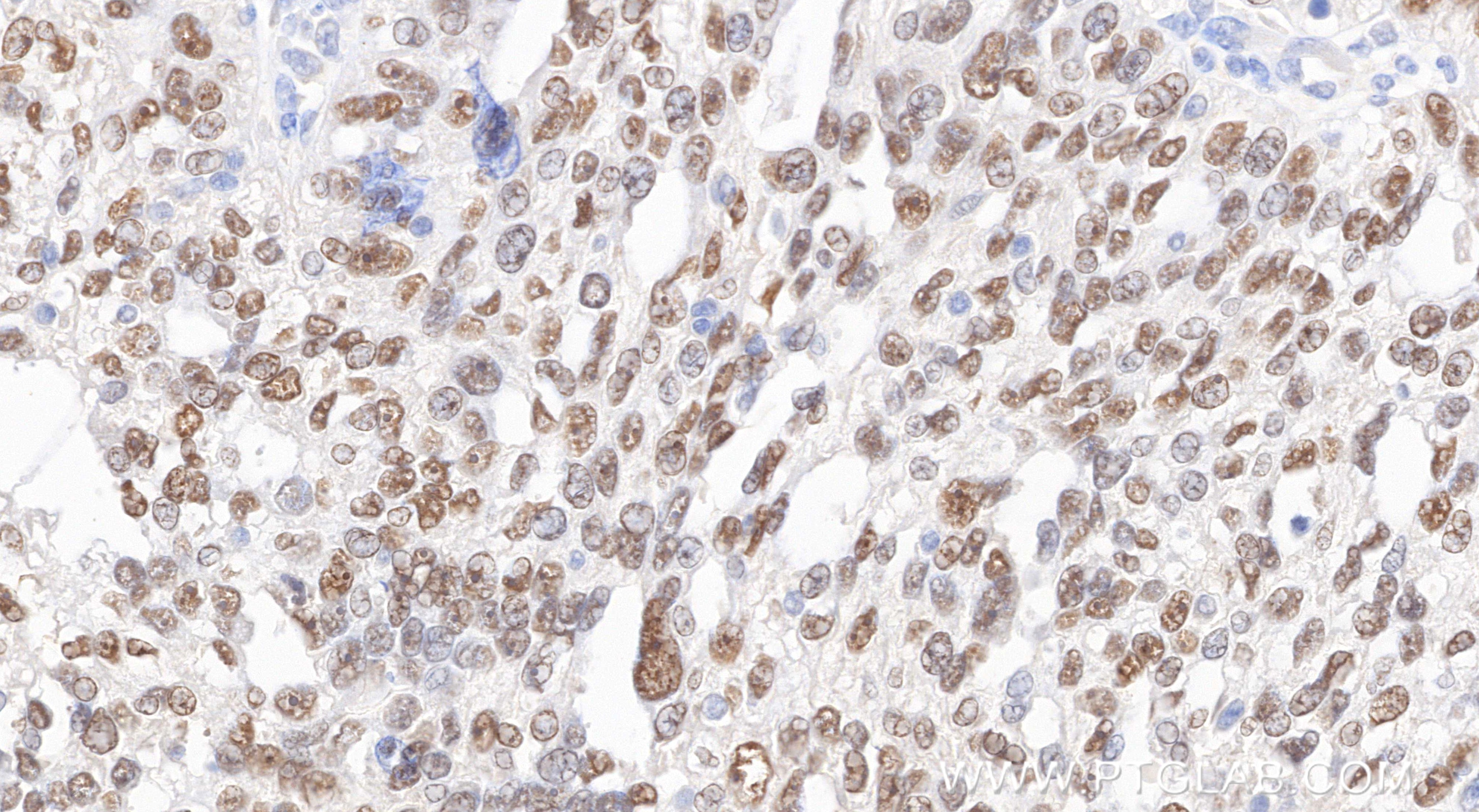
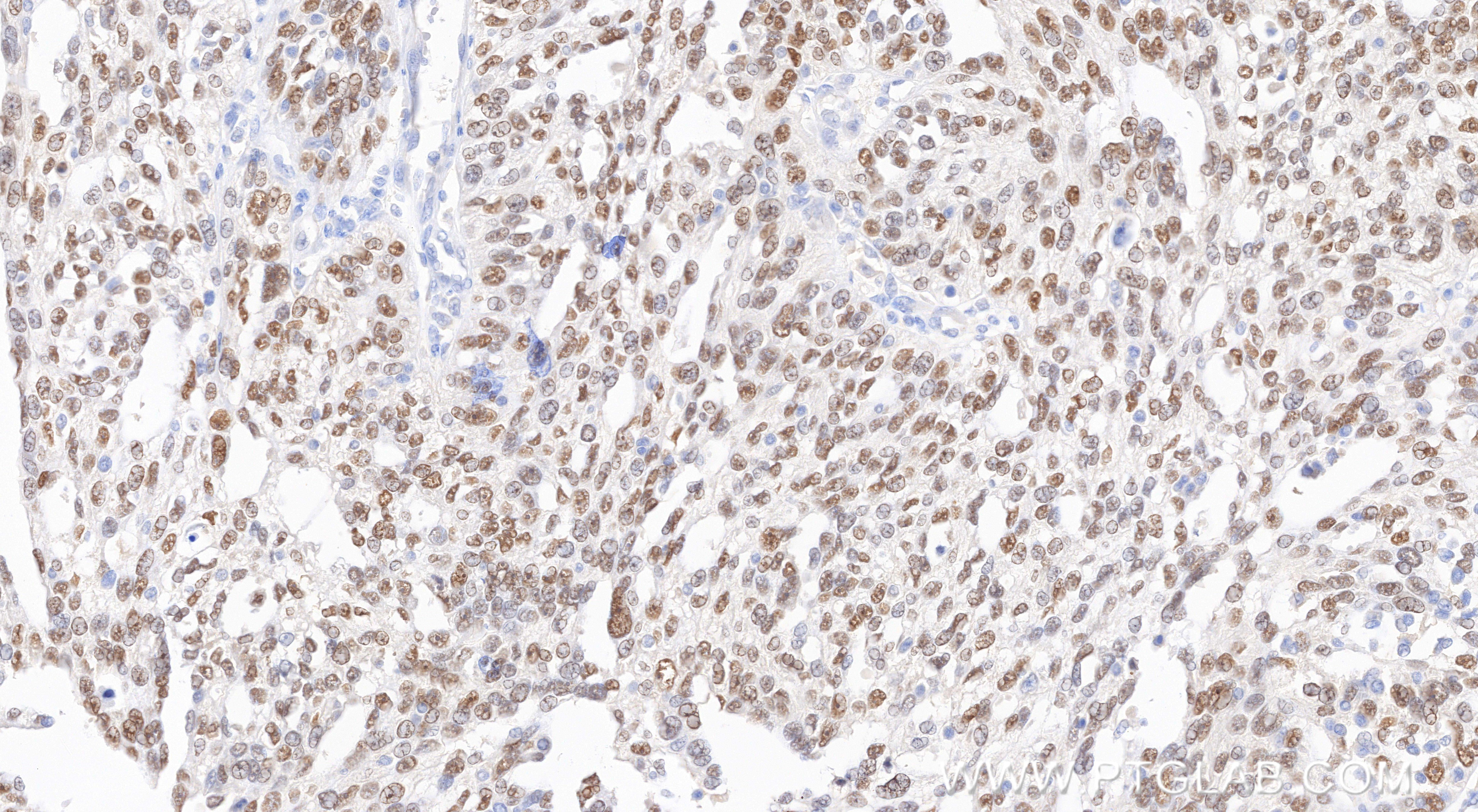
| Positive IHC detected in | human ovary tumor tissue, human ovary cancer tissue, human renal cell carcinoma tissue, human thyroid cancer tissue, mouse kidney tissue Note: suggested antigen retrieval with TE buffer pH 9.0; (*) Alternatively, antigen retrieval may be performed with citrate buffer pH 6.0 |
| Positive IF/ICC detected in | SKOV-3 cells |
Recommended dilution
| Application | Dilution |
|---|---|
| Western Blot (WB) | WB : 1:5000-1:50000 |
| Immunohistochemistry (IHC) | IHC : 1:5000-1:20000 |
| Immunofluorescence (IF)/ICC | IF/ICC : 1:650-1:2600 |
| It is recommended that this reagent should be titrated in each testing system to obtain optimal results. | |
| Sample-dependent, Check data in validation data gallery. | |
Product Information
80756-1-RR targets PAX8 in WB, IHC, IF/ICC, ELISA applications and shows reactivity with human, mouse, rat samples.
| Tested Reactivity | human, mouse, rat |
| Host / Isotype | Rabbit / IgG |
| Class | Recombinant |
| Type | Antibody |
| Immunogen |
CatNo: Ag0306 Product name: Recombinant human PAX8 protein Source: e coli.-derived, PGEX-4T Tag: GST Domain: 1-212 aa of BC001060 Sequence: MPHNSIRSGHGGLNQLGGAFVNGRPLPEVVRQRIVDLAHQGVRPCDISRQLRVSHGCVSKILGRYYETGSIRPGVIGGSKPKVATPKVVEKIGDYKRQNPTMFAWEIRDRLLAEGVCDNDTVPSVSSINRIIRTKVQQPFNLPMDSCVATKSLSPGHTLIPSSAVTPPESPQSDSLGSTYSINGLLGIAQPGSDKRKMDDSDQDSCRLSIDS 相同性解析による交差性が予測される生物種 |
| Full Name | paired box 8 |
| Calculated molecular weight | 48 kDa |
| Observed molecular weight | 48 kDa, 58 kDa |
| GenBank accession number | BC001060 |
| Gene Symbol | PAX8 |
| Gene ID (NCBI) | 7849 |
| RRID | AB_2923693 |
| Conjugate | Unconjugated |
| Form | |
| Form | Liquid |
| Purification Method | Protein A purification |
| UNIPROT ID | Q06710 |
| Storage Buffer | PBS with 0.02% sodium azide and 50% glycerol{{ptg:BufferTemp}}7.3 |
| Storage Conditions | Store at -20°C. Stable for one year after shipment. Aliquoting is unnecessary for -20oC storage. |
Background Information
PAX8 is a member of the paired box (PAX) family of transcription factors, typically containing a paired box domain and a paired-type homeodomain. It is expressed during organogenesis of the thyroid gland, kidney and Mullerian system. It is thought to regulate the expression of Wilms tumor suppressor (WT1) gene and mutations in PAX8 have been associated with Wilms tumor cells, thyroid and ovarian carcinomas. PAX8 is a useful marker in distinguishing ovarian carcinomas from mammary carcinomas (PMID: 18724243). PAX8 is expressed in a high percentage of ovarian serous, endometrioid, and clear cell carcinomas, but only rarely in primary ovarian mucinous adenocarcinoma.
Protocols
| Product Specific Protocols | |
|---|---|
| IF protocol for PAX8 antibody 80756-1-RR | Download protocol |
| IHC protocol for PAX8 antibody 80756-1-RR | Download protocol |
| WB protocol for PAX8 antibody 80756-1-RR | Download protocol |
| Standard Protocols | |
|---|---|
| Click here to view our Standard Protocols |













