Validation Data Gallery
Tested Applications
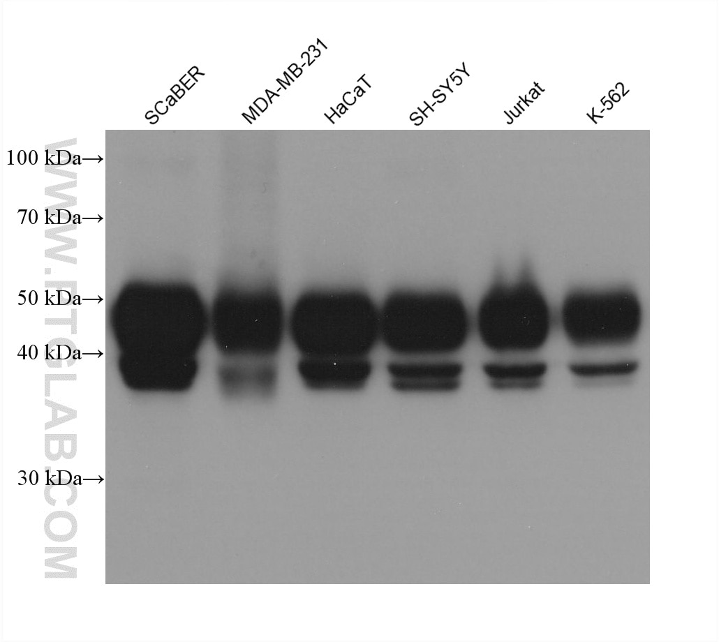
| Positive WB detected in | SCaBER cells, MDA-MB-231 cells, HaCaT cells, SH-SY5Y cells, Jurkat cells, K-562 cells |
Recommended dilution
| Application | Dilution |
|---|---|
| Western Blot (WB) | WB : 1:5000-1:50000 |
| It is recommended that this reagent should be titrated in each testing system to obtain optimal results. | |
| Sample-dependent, Check data in validation data gallery. | |
Product Information
68873-5-Ig targets PANX1 in WB, ELISA applications and shows reactivity with human, mouse samples.
| Tested Reactivity | human, mouse |
| Host / Isotype | Mouse / IgG2a |
| Class | Monoclonal |
| Type | Antibody |
| Immunogen |
CatNo: Ag33689 Product name: Recombinant human PANX1 protein Source: e coli.-derived, PET28a Tag: 6*His Domain: 126-426 aa of BC016931 Sequence: FWRFAAAPHICSDLKFIMEELDKVYNRAIKAAKSARDLDMRDGACSVPGVTENLGQSLWEVSESHFKYPIVEQYLKTKKNSNNLIIKYISCRLLTLIIILLACIYLGYYFSLSSLSDEFVCSIKSGILRNDSTVPDQFQCKLIAVGIFQLLSVINLVVYVLLAPVVVYTLFVPFRQKTDVLKVYEILPTFDVLHFKSEGYNDLSLYNLFLEENISEVKSYKCLKVLENIKSSGQGIDPMLLLTNLGMIKMDVVDGKTPMSAEMREEQGNQTAELQGMNIDSETKANNGEKNARQRLLDSSC 相同性解析による交差性が予測される生物種 |
| Full Name | pannexin 1 |
| Calculated molecular weight | 426 aa, 48 kDa |
| Observed molecular weight | 45-50 kDa |
| GenBank accession number | BC016931 |
| Gene Symbol | PANX1 |
| Gene ID (NCBI) | 24145 |
| Conjugate | Unconjugated |
| Form | |
| Form | Liquid |
| Purification Method | Protein A purification |
| UNIPROT ID | Q96RD7 |
| Storage Buffer | PBS with 0.02% sodium azide and 50% glycerol{{ptg:BufferTemp}}7.3 |
| Storage Conditions | Store at -20°C. Stable for one year after shipment. Aliquoting is unnecessary for -20oC storage. |
Background Information
PANX1, also named as MRS1, belongs to the pannexin family. It plays a role as a Ca2+-leak channel to regulate ER Ca2+ homeostasis. It is a structural component of the gap junctions and the hemichannels. PANX1 induced the formation of intercellular channels with characteristics of gap junctions. PANX1 is 48-kDa protein which contains 4 transmembrane domains and cytoplasmic N and C termini. It is a mediator of find-me signal/nucleotide release from apoptotic cells.
Protocols
| Product Specific Protocols | |
|---|---|
| WB protocol for PANX1 antibody 68873-5-Ig | Download protocol |
| Standard Protocols | |
|---|---|
| Click here to view our Standard Protocols |

