Validation Data Gallery
Tested Applications
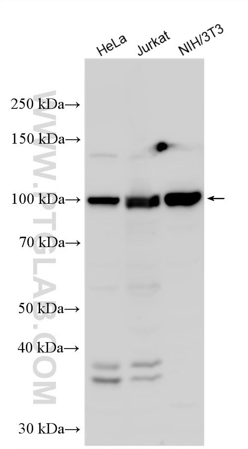
| Positive WB detected in | HeLa cells, Jurkat cells, NIH/3T3 cells |
| Positive IHC detected in | human ovary cancer tissue Note: suggested antigen retrieval with TE buffer pH 9.0; (*) Alternatively, antigen retrieval may be performed with citrate buffer pH 6.0 |
Recommended dilution
| Application | Dilution |
|---|---|
| Western Blot (WB) | WB : 1:1000-1:6000 |
| Immunohistochemistry (IHC) | IHC : 1:250-1:1000 |
| It is recommended that this reagent should be titrated in each testing system to obtain optimal results. | |
| Sample-dependent, Check data in validation data gallery. | |
Product Information
25655-1-AP targets PAN3 in WB, IHC, ELISA applications and shows reactivity with human, mouse samples.
| Tested Reactivity | human, mouse |
| Host / Isotype | Rabbit / IgG |
| Class | Polyclonal |
| Type | Antibody |
| Immunogen |
CatNo: Ag22559 Product name: Recombinant human PAN3 protein Source: e coli.-derived, PGEX-4T Tag: GST Domain: 512-687 aa of BC128180 Sequence: KAMELVTINYSSDLKNLILYLLTDQNRMRSVNDIMPMIGARFYTQLDAAQMRNDVIEEDLAKEVQNGRLFRLLAKLGTINERPEFQKDPTWSETGDRYLLKLFRDHLFHQVTEAGAPWIDLSHIISCLNKLDAGVPEKISLISRDEKSVLVVTYSDLKRCFENTFQELIAAANGQL 相同性解析による交差性が予測される生物種 |
| Full Name | PAN3 poly(A) specific ribonuclease subunit homolog (S. cerevisiae) |
| Calculated molecular weight | 887 aa, 96 kDa |
| Observed molecular weight | 90-100kDa; 65-68 kDa |
| GenBank accession number | BC128180 |
| Gene Symbol | PAN3 |
| Gene ID (NCBI) | 255967 |
| RRID | AB_3669491 |
| Conjugate | Unconjugated |
| Form | |
| Form | Liquid |
| Purification Method | Antigen affinity purification |
| UNIPROT ID | Q58A45 |
| Storage Buffer | PBS with 0.02% sodium azide and 50% glycerol{{ptg:BufferTemp}}7.3 |
| Storage Conditions | Store at -20°C. Stable for one year after shipment. Aliquoting is unnecessary for -20oC storage. |
Background Information
Shortening of the poly(A) tail in mRNA, called deadenylation, is the first rate-limiting step in mRNA turnover. PAN3 is the regulatory subunit of a cytoplasmic poly(A) nuclease complex that links the catalytic PAN2 subunit to the poly(A)-binding protein PABP, which stimulates PAN2-dependent deadenylation activity (PMID: 14583602). PAN3 has four isoforms, isoform1: 95 kDa; isoform2: 64 kDa, isoform3: 89 kDa and isoform4: 72 kDa. This antibody recognizes isoform 1/2/3.
Protocols
| Product Specific Protocols | |
|---|---|
| IHC protocol for PAN3 antibody 25655-1-AP | Download protocol |
| WB protocol for PAN3 antibody 25655-1-AP | Download protocol |
| Standard Protocols | |
|---|---|
| Click here to view our Standard Protocols |

