Validation Data Gallery
Tested Applications
| Positive WB detected in | MCF-7 cells, HL-60 cells, mouse brain tissue, rat brain tissue |
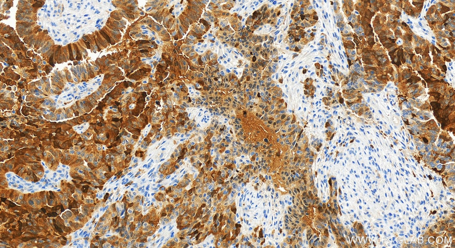
| Positive IHC detected in | human ovarian cancer Note: suggested antigen retrieval with TE buffer pH 9.0; (*) Alternatively, antigen retrieval may be performed with citrate buffer pH 6.0 |
Recommended dilution
| Application | Dilution |
|---|---|
| Western Blot (WB) | WB : 1:5000-1:50000 |
| Immunohistochemistry (IHC) | IHC : 1:500-1:2000 |
| It is recommended that this reagent should be titrated in each testing system to obtain optimal results. | |
| Sample-dependent, Check data in validation data gallery. | |
Product Information
83868-1-RR targets PADI2 in WB, IHC, ELISA applications and shows reactivity with human, mouse, rat samples.
| Tested Reactivity | human, mouse, rat |
| Host / Isotype | Rabbit / IgG |
| Class | Recombinant |
| Type | Antibody |
| Immunogen |
CatNo: Ag17612 Product name: Recombinant human PADI2 protein Source: e coli.-derived, PET28a Tag: 6*His Domain: 118-438 aa of BC009701 Sequence: ISLDVDADRDGVVEKNNPKKASWTWGPEGQGAILLVNCDRETPWLPKEDCRDEKVYSKEDLKDMSQMILRTKGPDRLPAGYEIVLYISMSDSDKVGVFYVENPFFGQRYIHILGRRKLYHVVKYTGGSAELLFFVEGLCFPDEGFSGLVSIHVSLLEYMAQDIPLTPIFTDTVIFRIAPWIMTPNILPPVSVFVCCMKDNYLFLKEVKNLVEKTNCELKVCFQYLNRGDRWIQDEIEFGYIEAPHKGFPVVLDSPRDGNLKDFPVKELLGPDFGYVTREPLFESVTSLDSFGNLEVSPPVTVNGKTYPLGRILIGSSFPL 相同性解析による交差性が予測される生物種 |
| Full Name | peptidyl arginine deiminase, type II |
| Calculated molecular weight | 665 aa, 75 kDa |
| Observed molecular weight | 75 kDa |
| GenBank accession number | BC009701 |
| Gene Symbol | PADI2 |
| Gene ID (NCBI) | 11240 |
| RRID | AB_3671454 |
| Conjugate | Unconjugated |
| Form | |
| Form | Liquid |
| Purification Method | Protein A purfication |
| UNIPROT ID | Q9Y2J8 |
| Storage Buffer | PBS with 0.02% sodium azide and 50% glycerol{{ptg:BufferTemp}}7.3 |
| Storage Conditions | Store at -20°C. Stable for one year after shipment. Aliquoting is unnecessary for -20oC storage. |
Background Information
PADI2, also named KIAA0994, PDI2, PAD-H19, and PAD2(Peptidylarginine deiminase II ), belongs to the protein arginine deiminase family. It catalyzes the deimination of arginine residues of proteins. PADI2 may play a regulatory role in the expression of lactation-related genes via histone citrullination during diestrus (PMID:20668670).
Protocols
| Product Specific Protocols | |
|---|---|
| IHC protocol for PADI2 antibody 83868-1-RR | Download protocol |
| WB protocol for PADI2 antibody 83868-1-RR | Download protocol |
| Standard Protocols | |
|---|---|
| Click here to view our Standard Protocols |


