Validation Data Gallery
Tested Applications
| Positive WB detected in | HUVEC cells, mouse kidney tissue, mouse brain tissue, mouse colon tissue, mouse liver tissue, rat liver tissue, rat brain tissue |
| Positive IP detected in | HUVEC cells |
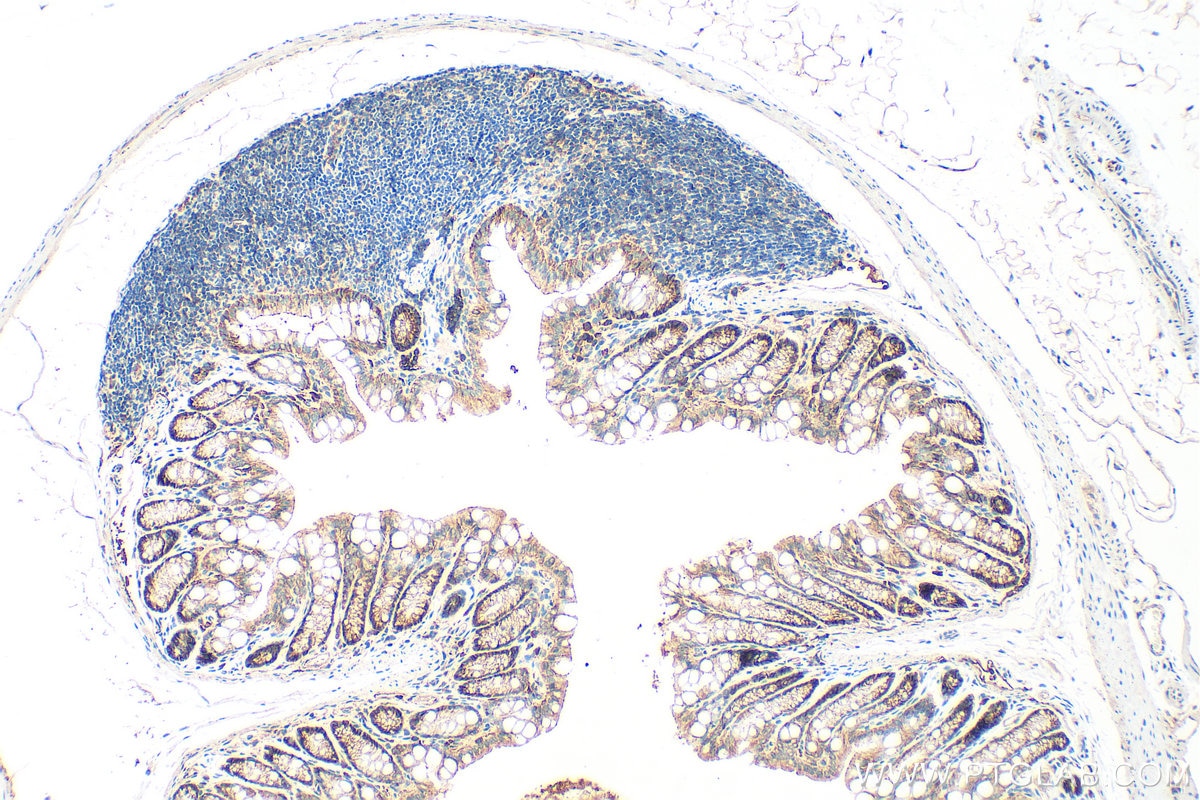
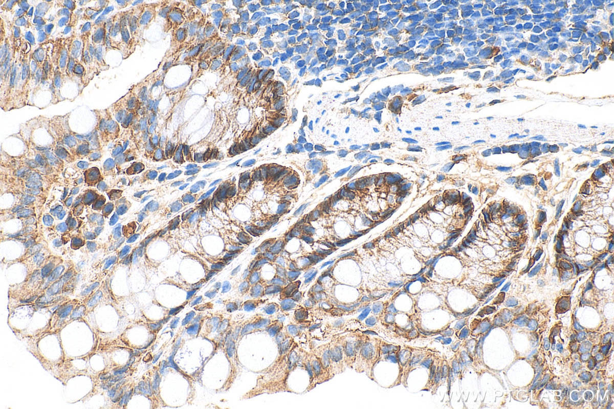
| Positive IHC detected in | human colon tissue, human breast cancer tissue, human kidney tissue, mouse colon tissue Note: suggested antigen retrieval with TE buffer pH 9.0; (*) Alternatively, antigen retrieval may be performed with citrate buffer pH 6.0 |
| Positive IF-Fro detected in | mouse brain tissue |
| Positive IF/ICC detected in | Caco-2 cells, MCF-7 cells |
| Positive FC (Intra) detected in | MCF-7 cells |
Recommended dilution
| Application | Dilution |
|---|---|
| Western Blot (WB) | WB : 1:5000-1:50000 |
| Immunoprecipitation (IP) | IP : 0.5-4.0 ug for 1.0-3.0 mg of total protein lysate |
| Immunohistochemistry (IHC) | IHC : 1:1000-1:10000 |
| Immunofluorescence (IF)-FRO | IF-FRO : 1:50-1:500 |
| Immunofluorescence (IF)/ICC | IF/ICC : 1:250-1:1000 |
| Flow Cytometry (FC) (INTRA) | FC (INTRA) : 0.25 ug per 10^6 cells in a 100 µl suspension |
| It is recommended that this reagent should be titrated in each testing system to obtain optimal results. | |
| Sample-dependent, Check data in validation data gallery. | |
Published Applications
| KD/KO | See 1 publications below |
| WB | See 613 publications below |
| IHC | See 112 publications below |
| IF | See 242 publications below |
| IP | See 1 publications below |
Product Information
27260-1-AP targets Occludin in WB, IHC, IF/ICC, IF-Fro, FC (Intra), IP, ELISA applications and shows reactivity with human, mouse, rat samples.
| Tested Reactivity | human, mouse, rat |
| Cited Reactivity | human, mouse, rat, pig, rabbit, canine, chicken, bovine, goat, duck |
| Host / Isotype | Rabbit / IgG |
| Class | Polyclonal |
| Type | Antibody |
| Immunogen |
CatNo: Ag26173 Product name: Recombinant human Occludin protein Source: e coli.-derived, PGEX-4T Tag: GST Domain: 360-522 aa of BC029886 Sequence: VDDFRQPRYSSGGNFETPSKRAPAKGRAGRSKRTEQDHYETDYTTGGESCDELEEDWIREYPPITSDQQRQLYKRNFDTGLQEYKSLQSELDEINKELSRLDKELDDYREESEEYMAAADEYNRLKQVKGSADYKSKKNHCKQLKSKLSHIKKMVGDYDRQKT 相同性解析による交差性が予測される生物種 |
| Full Name | occludin |
| Calculated molecular weight | 522 aa, 59 kDa |
| Observed molecular weight | 59 kDa, 53 kDa, 32 kDa, 23-25 kDa |
| GenBank accession number | BC029886 |
| Gene Symbol | Occludin |
| Gene ID (NCBI) | 4950 |
| RRID | AB_2880820 |
| Conjugate | Unconjugated |
| Form | |
| Form | Liquid |
| Purification Method | Antigen affinity purification |
| UNIPROT ID | Q16625 |
| Storage Buffer | PBS with 0.02% sodium azide and 50% glycerol{{ptg:BufferTemp}}7.3 |
| Storage Conditions | Store at -20°C. Stable for one year after shipment. Aliquoting is unnecessary for -20oC storage. |
Background Information
Occludin is an integral membrane protein located at the tight junction. It is a tetraspanin protein with four transmembrane domains, intracellular N and C termini, and two extracellular loops. Occludin plays a role in the formation and regulation of the tight junction paracellular permeability barrier. Occludin can exist in different isoforms, owing to modifications at the posttranscriptional and posttranslational levels, the monomeric occludin migrates as 53-65 kDa on SDS-PAGE (PMID: 22083955; 19457074).
Protocols
| Product Specific Protocols | |
|---|---|
| FC protocol for Occludin antibody 27260-1-AP | Download protocol |
| IF protocol for Occludin antibody 27260-1-AP | Download protocol |
| IHC protocol for Occludin antibody 27260-1-AP | Download protocol |
| IP protocol for Occludin antibody 27260-1-AP | Download protocol |
| WB protocol for Occludin antibody 27260-1-AP | Download protocol |
| Standard Protocols | |
|---|---|
| Click here to view our Standard Protocols |
Publications
| Species | Application | Title |
|---|---|---|
Cell Metab Acetate enables metabolic fitness and cognitive performance during sleep disruption | ||
J Clin Invest A20 regulates lymphocyte adhesion in murine neuroinflammation by restricting endothelial ICOSL expression in the CNS | ||
Microbiome Zearalenone disturbs the reproductive-immune axis in pigs: the role of gut microbial metabolites | ||
Microbiome Arula-7 powder improves diarrhea and intestinal epithelial tight junction function associated with its regulation of intestinal flora in calves infected with pathogenic Escherichia coli O1 | ||
Adv Sci (Weinh) Plasma-Activated Solutions Mitigates DSS-Induced Colitis via Restoring Redox Homeostasis and Reversing Microbiota Dysbiosis | ||
J Extracell Vesicles Extracellular vesicle-mediated delivery of circDYM alleviates CUS-induced depressive-like behaviours. |
















