Validation Data Gallery
Tested Applications
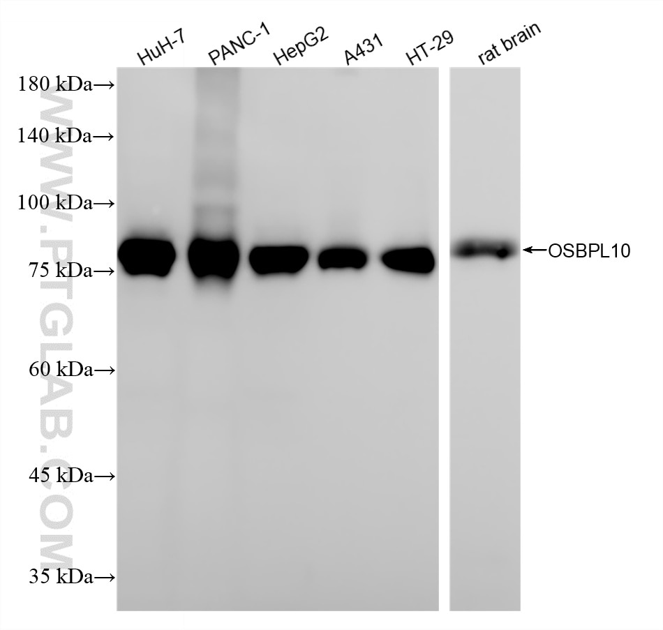
| Positive WB detected in | HuH-7 cells, PANC-1 cells, HepG2 cells, A431 cells, HT-29 cells, rat brain tissue |
| Positive IF/ICC detected in | HepG2 cells |
Recommended dilution
| Application | Dilution |
|---|---|
| Western Blot (WB) | WB : 1:2000-1:10000 |
| Immunofluorescence (IF)/ICC | IF/ICC : 1:50-1:500 |
| It is recommended that this reagent should be titrated in each testing system to obtain optimal results. | |
| Sample-dependent, Check data in validation data gallery. | |
Product Information
87087-1-RR targets OSBPL10 in WB, IF/ICC, ELISA applications and shows reactivity with human, rat samples.
| Tested Reactivity | human, rat |
| Host / Isotype | Rabbit / IgG |
| Class | Recombinant |
| Type | Antibody |
| Immunogen |
CatNo: Ag7861 Product name: Recombinant human OSBPL10 protein Source: e coli.-derived, PET28a Tag: 6*His Domain: 1-348 aa of BC003168 Sequence: MERAVQGTDGGGGSNSSSRSSSRATSAGSSPSCSLAGRGVSSRSAAAGLGGGGSRSSPGSVAASPSGGGGRRREPALEGVLSKYTNLLQGWQNRYFVLDFEAGILQYFVNEQSKHQKPRGVLSLSGAIVSLSDEAPHMLVVYSANGEMFKLRAADAKEKQFWVTQLRACAKYHMEMNSKSAPSSRSRSLTLLPHGTPNSASPCSQRHLSVGAPGVVTITHHKSPAAARRAKSQYSGQLHEVREMMNQVEGQQKNLVHAIESLPGSGPLTALDQDLLLLKATSAATLSCLGECLNLLQQSVHQAGQPSQKPGASENILGWHGSKSHSTEQLKNGTLGSLPSASANITWA 相同性解析による交差性が予測される生物種 |
| Full Name | oxysterol binding protein-like 10 |
| Calculated molecular weight | 84 kDa |
| Observed molecular weight | 75-80 kDa |
| GenBank accession number | BC003168 |
| Gene Symbol | OSBPL10 |
| Gene ID (NCBI) | 114884 |
| Conjugate | Unconjugated |
| Form | |
| Form | Liquid |
| Purification Method | Protein A purification |
| UNIPROT ID | Q9BXB5 |
| Storage Buffer | PBS with 0.02% sodium azide and 50% glycerol{{ptg:BufferTemp}}7.3 |
| Storage Conditions | Store at -20°C. Stable for one year after shipment. Aliquoting is unnecessary for -20oC storage. |
Background Information
OSBPL10, also known as ORP10, is a member of the oxysterol-binding protein family. OSBPL10 localizes on microtubules and acts as a regulator of cellular lipid biosyntheses and apolipoprotein B-100. Genetic variation in OSBPL10 is associated with dyslipidmias and peripheral artery disease.
Protocols
| Product Specific Protocols | |
|---|---|
| IF protocol for OSBPL10 antibody 87087-1-RR | Download protocol |
| WB protocol for OSBPL10 antibody 87087-1-RR | Download protocol |
| Standard Protocols | |
|---|---|
| Click here to view our Standard Protocols |

