Validation Data Gallery
Tested Applications
| Positive WB detected in | HeLa cells, DU 145 cells |
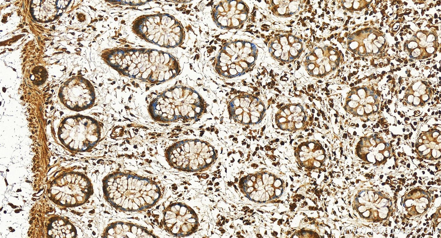
| Positive IHC detected in | human colon tissue Note: suggested antigen retrieval with TE buffer pH 9.0; (*) Alternatively, antigen retrieval may be performed with citrate buffer pH 6.0 |
Recommended dilution
| Application | Dilution |
|---|---|
| Western Blot (WB) | WB : 1:1000-1:4000 |
| Immunohistochemistry (IHC) | IHC : 1:50-1:500 |
| It is recommended that this reagent should be titrated in each testing system to obtain optimal results. | |
| Sample-dependent, Check data in validation data gallery. | |
Product Information
30800-1-AP targets OGFOD1 in WB, IHC, ELISA applications and shows reactivity with human samples.
| Tested Reactivity | human |
| Host / Isotype | Rabbit / IgG |
| Class | Polyclonal |
| Type | Antibody |
| Immunogen |
CatNo: Ag34034 Product name: Recombinant human OGFOD1 protein Source: e coli.-derived, PGEX-4T Tag: GST Domain: 193-542 aa of BC032919 Sequence: PKQIVKSLIPSWNKLVFFEVSPVSFHQVSEVLSEEKSRLSISGWFHGPSLTRPPNYFEPPIPRSPHIPQDHEILYDWINPTYLDMDYQVQIQEEFEESSEILLKEFLKPEKFTKVCEALEHGHVEWSSRGPPNKRFYEKAEESKLPEILKECMKLFRSEALFLLLSNFTGLKLHFLAPSEEDEMNDKKEAETTDITEEGTSHSPPEPENNQMAISNNSQQSNEQTDPEPEENETKKESSVPMCQGELRHWKTGHYTLIHDHSKAEFALDLILYCGCEGWEPEYGGFTSYIAKGEDEELLTVNPESNSLALVYRDRETLKFVKHINHRSLEQKKTFPNRTGFWDFSFIYYE 相同性解析による交差性が予測される生物種 |
| Full Name | 2-oxoglutarate and iron-dependent oxygenase domain containing 1 |
| Calculated molecular weight | 542 aa, 63 kDa |
| Observed molecular weight | 75 kDa |
| GenBank accession number | BC032919 |
| Gene Symbol | OGFOD1 |
| Gene ID (NCBI) | 55239 |
| RRID | AB_3086419 |
| Conjugate | Unconjugated |
| Form | |
| Form | Liquid |
| Purification Method | Antigen affinity purification |
| UNIPROT ID | Q8N543 |
| Storage Buffer | PBS with 0.02% sodium azide and 50% glycerol{{ptg:BufferTemp}}7.3 |
| Storage Conditions | Store at -20°C. Stable for one year after shipment. Aliquoting is unnecessary for -20oC storage. |
Background Information
2-oxoglutarate and iron-dependent oxygenase domain-containing protein 1 (OGFOD1) is a proly hydroxylase which belongs to 2-OG-Fe (II) dioxygenase family, it also namely KIAA1612 and TPA1. OGFOD1 is expressed in many tissues, mainly located in the nucleoplasm. It increased in many cancers and regulates both transcription and translation. The apparent molecular weight is larger than the calculated molecular weight of 63 kDa, which is likely due to posttranslational modification, presumably by glycosylation. (PMID:34298635 and 20579638)
Protocols
| Product Specific Protocols | |
|---|---|
| WB protocol for OGFOD1 antibody 30800-1-AP | Download protocol |
| Standard Protocols | |
|---|---|
| Click here to view our Standard Protocols |

