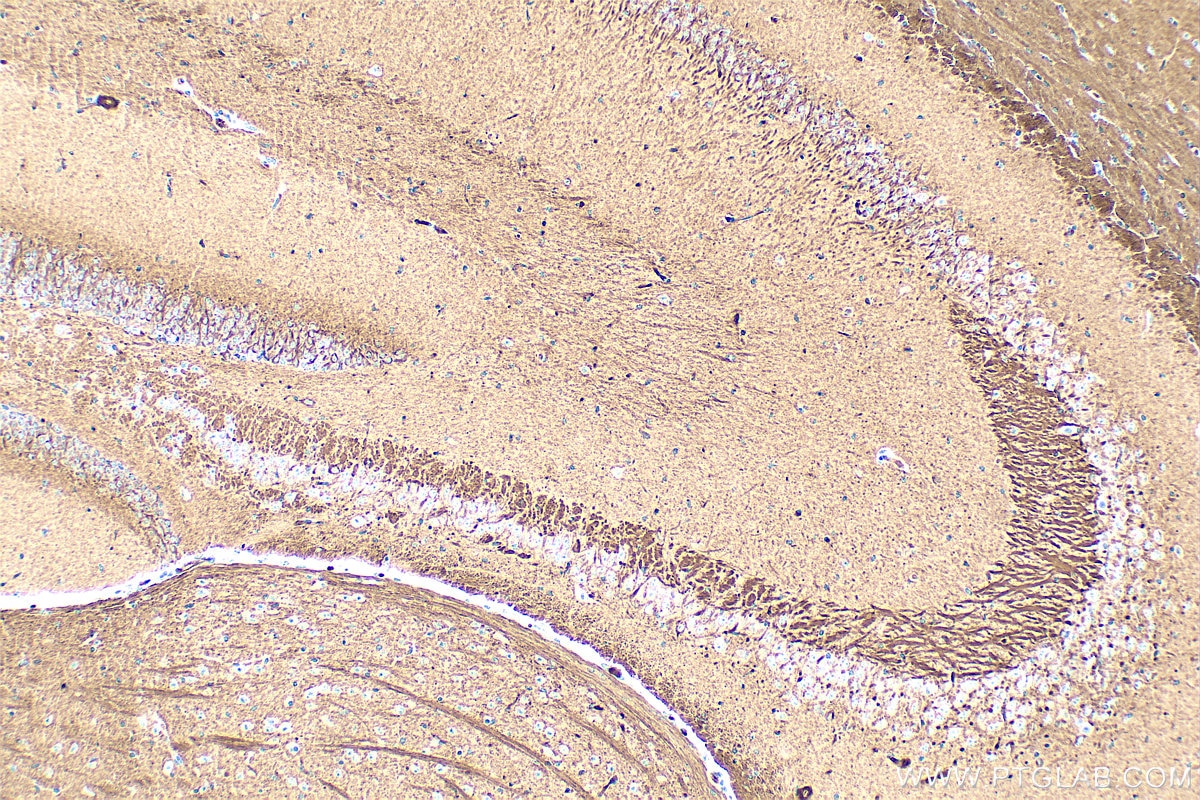
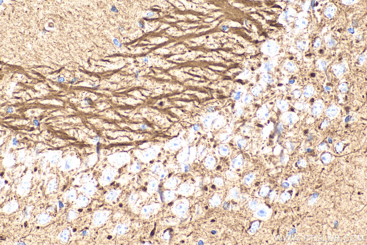
Validation Data Gallery
Tested Applications
Recommended dilution
| Application | Dilution |
|---|---|
| It is recommended that this reagent should be titrated in each testing system to obtain optimal results. | |
Product Information
68709-1-PBS targets NPTX2 in WB, IHC, IF/ICC, Indirect ELISA applications and shows reactivity with human, mouse, rat, pig, rabbit samples.
| Tested Reactivity | human, mouse, rat, pig, rabbit |
| Host / Isotype | Mouse / IgG1 |
| Class | Monoclonal |
| Type | Antibody |
| Immunogen |
CatNo: Ag33808 Product name: Recombinant human NPTX2 protein Source: e coli.-derived, PET28a Tag: 6*His Domain: 1-354 aa of BC009924 Sequence: MLALLAASVALAVAAGAQDSPAPGSRFVCTALPPEAVHAGCPLPAMPMQGGAQSPEEELRAAVLQLRETVVQQKETLGAQREAIRELTGKLARCEGLAGGKARGAGATGKDTMGDLPRDPGHVVEQLSRSLQTLKDRLESLEHQLRANVSNAGLPGDFREVLQQRLGELERQLLRKVAELEDEKSLLHNETSAHRQKTESTLNALLQRVTELERGNSAFKSPDAFKVSLPLRTNYLYGKIKKTLPELYAFTICLWLRSSASPGIGTPFSYAVPGQANEIVLIEWGNNPIELLINDKVAQLPLFVSDGKWHHICVTWTTRDGMWEAFQDGEKLGTGENLAPWHPIKPGGVLILGQ 相同性解析による交差性が予測される生物種 |
| Full Name | neuronal pentraxin II |
| Calculated molecular weight | 47 kDa |
| Observed molecular weight | 50-55 kDa |
| GenBank accession number | BC009924 |
| Gene Symbol | NPTX2 |
| Gene ID (NCBI) | 4885 |
| Conjugate | Unconjugated |
| Form | |
| Form | Liquid |
| Purification Method | Protein G purification |
| UNIPROT ID | P47972 |
| Storage Buffer | PBS only{{ptg:BufferTemp}}7.3 |
| Storage Conditions | Store at -80°C. |
Background Information
Neuronal pentraxins constitute a family of proteins that are homologous to C-reactive protein (CRP) and serum amyloid P component (SAP), including NPTX1, NPTX2, and the neuronal pentraxin receptor (NPTXR). NPTX2, also known as NARP (neuronal activity-regulated pentaxin), is a secreted protein involved in excitatory synapse formation. It also plays a role in the clustering of alpha-amino-3-hydroxy-5-methyl-4-isoxazolepropionic acid (AMPA)-type glutamate receptors at established synapses, resulting in non-apoptotic cell death of dopaminergic nerve cells. NPTX2 is highly up-regulated in Parkinson's disease (PD), suggesting it may be involved in the pathology of PD. (PMID: 12895424; 17987278; 10748068)



