Validation Data Gallery
Tested Applications
| Positive WB detected in | HeLa cells, U2OS cells, mouse heart tissue, mouse skeletal muscle tissue, rat skeletal muscle tissue |
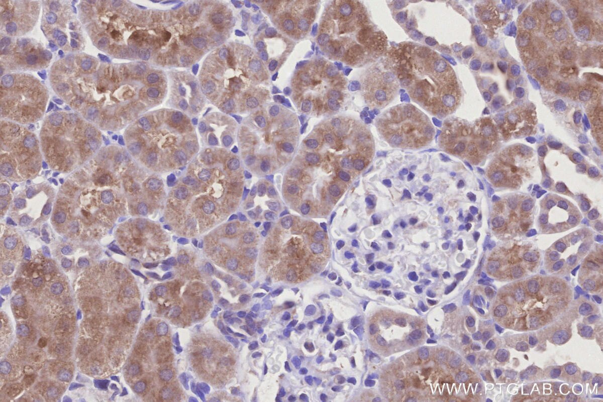
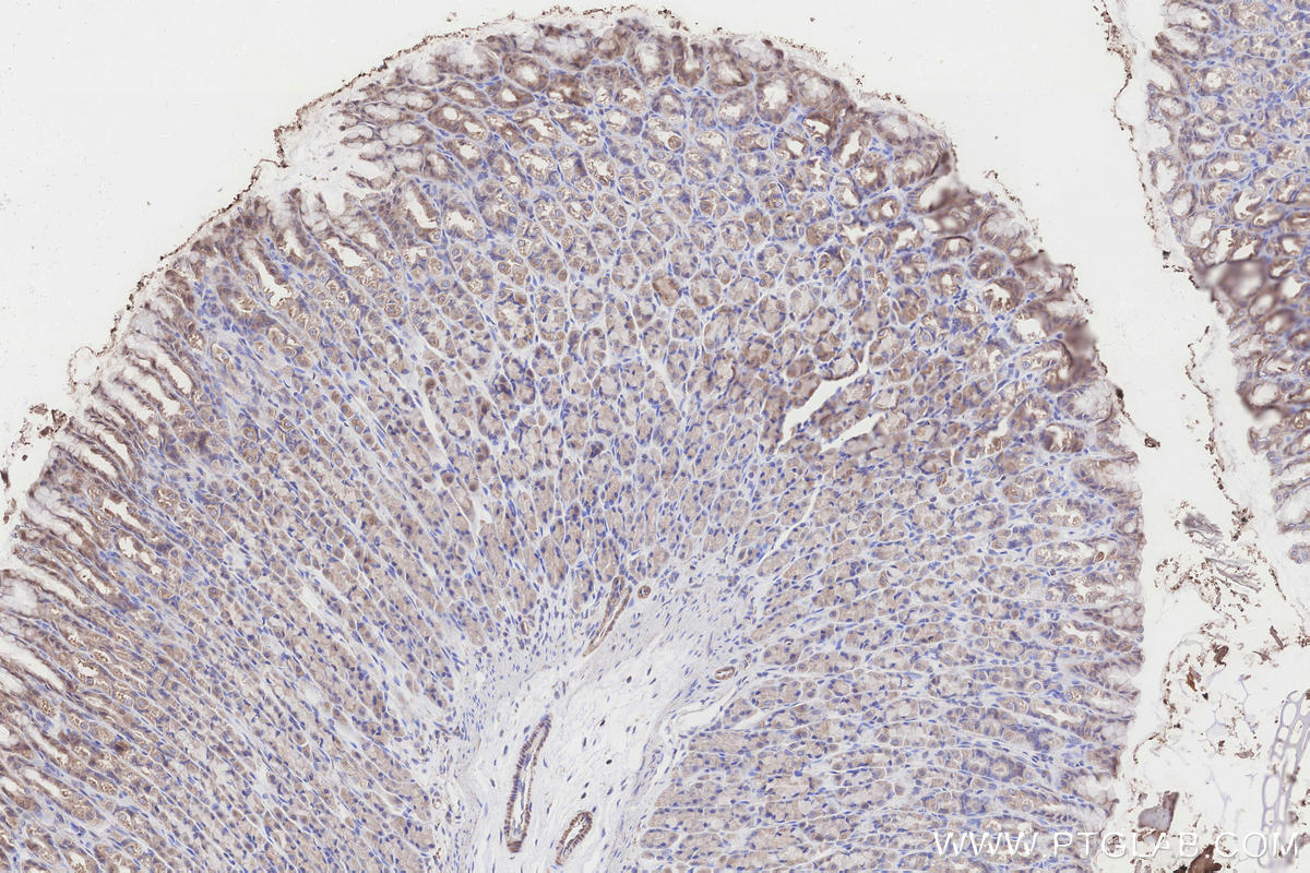
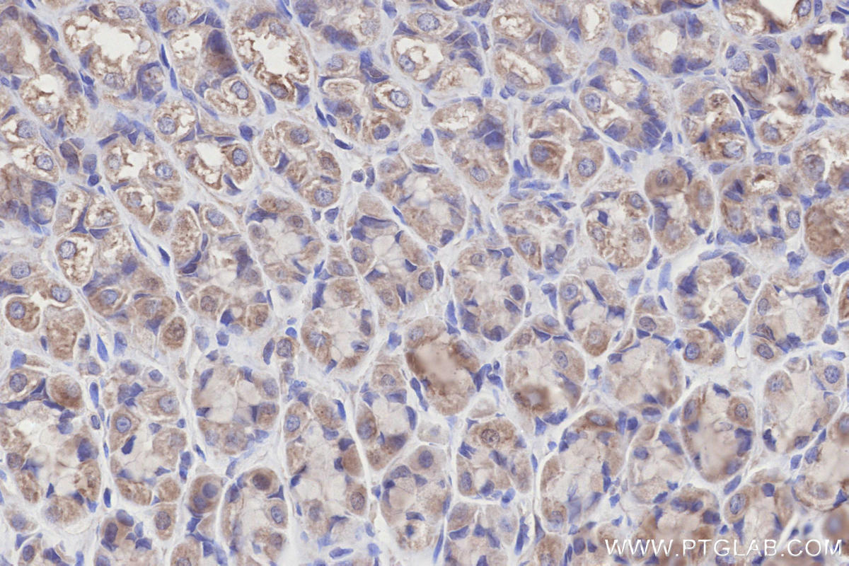
| Positive IHC detected in | human hepatocirrhosis tissue, rat kidney tissue, rat stomach tissue Note: suggested antigen retrieval with TE buffer pH 9.0; (*) Alternatively, antigen retrieval may be performed with citrate buffer pH 6.0 |
Recommended dilution
| Application | Dilution |
|---|---|
| Western Blot (WB) | WB : 1:500-1:2000 |
| Immunohistochemistry (IHC) | IHC : 1:50-1:500 |
| It is recommended that this reagent should be titrated in each testing system to obtain optimal results. | |
| Sample-dependent, Check data in validation data gallery. | |
Product Information
29621-1-AP targets NDUFA9 in WB, IHC, ELISA applications and shows reactivity with human, mouse, rat samples.
| Tested Reactivity | human, mouse, rat |
| Host / Isotype | Rabbit / IgG |
| Class | Polyclonal |
| Type | Antibody |
| Immunogen |
CatNo: Ag31222 Product name: Recombinant human NDUFA9 protein Source: e coli.-derived, PGEX-4T Tag: GST Domain: 108-227 aa of BC009311 Sequence: WDARDKDSIRRVVQHSNVVINLIGRDWETKNFDFEDVFVKIPQAIAQLSKEAGVEKFIHVSHLNANIKSSSRYLRNKAVGEKVVRDAFPEAIIVKPSDIFGREDRFLNSFASMHRFGPIP 相同性解析による交差性が予測される生物種 |
| Full Name | NADH dehydrogenase (ubiquinone) 1 alpha subcomplex, 9, 39kDa |
| Calculated molecular weight | 377 aa, 43 kDa |
| Observed molecular weight | 35 kDa |
| GenBank accession number | BC009311 |
| Gene Symbol | NDUFA9 |
| Gene ID (NCBI) | 4704 |
| RRID | AB_2918331 |
| Conjugate | Unconjugated |
| Form | |
| Form | Liquid |
| Purification Method | Antigen affinity purification |
| UNIPROT ID | Q16795 |
| Storage Buffer | PBS with 0.02% sodium azide and 50% glycerol{{ptg:BufferTemp}}7.3 |
| Storage Conditions | Store at -20°C. Stable for one year after shipment. Aliquoting is unnecessary for -20oC storage. |
Background Information
NDUFA9 (NADH: ubiquinone oxidoreductase subunit A9), also named as NDUFS2L, belongs to the complex I NDUFA9 subunit family. NDUFA9 gene encodes a subunit of the mitochondrial membrane respiratory chain NADH dehydrogenase (complex I). Instead of being implicated in the catalysis, NDUFA9 is required for proper assembly of the complex I (PMID: 34938809). The predicted molecular weight of NDUFA9 is 42 kDa. With modification, the MW of NDUFA9 will be migrated to 35 kDa.
Protocols
| Product Specific Protocols | |
|---|---|
| IHC protocol for NDUFA9 antibody 29621-1-AP | Download protocol |
| WB protocol for NDUFA9 antibody 29621-1-AP | Download protocol |
| Standard Protocols | |
|---|---|
| Click here to view our Standard Protocols |






