Validation Data Gallery
Tested Applications
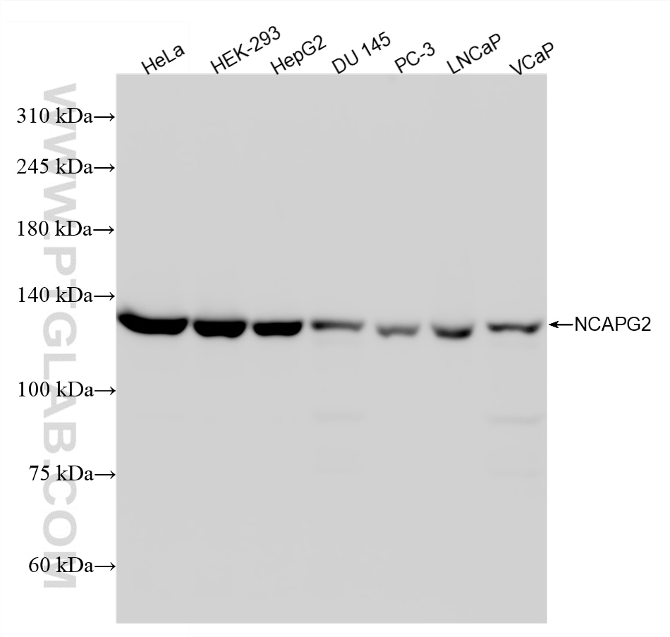
| Positive WB detected in | HeLa cells, HEK-293 cells, HepG2 cells, DU 145 cells, PC-3 cells, LNCaP cells, VCaP cells |
| Positive IF/ICC detected in | HepG2 cells |
Recommended dilution
| Application | Dilution |
|---|---|
| Western Blot (WB) | WB : 1:5000-1:50000 |
| Immunofluorescence (IF)/ICC | IF/ICC : 1:250-1:1000 |
| It is recommended that this reagent should be titrated in each testing system to obtain optimal results. | |
| Sample-dependent, Check data in validation data gallery. | |
Product Information
87645-1-RR targets NCAPG2 in WB, IF/ICC, ELISA applications and shows reactivity with human samples.
| Tested Reactivity | human |
| Host / Isotype | Rabbit / IgG |
| Class | Recombinant |
| Type | Antibody |
| Immunogen |
CatNo: Ag34991 Product name: Recombinant human NCAPG2 protein Source: e coli.-derived, PET28a Tag: 6*His Domain: 928-1143 aa of BC043404 Sequence: ILKEITGSSLIQKTDSDEEVAMLLDTVQKVFQKMLECIARSFRKQPEEGLRLLYSVQRPLHEFITAVQSRHTDTPVHRGVLSTLIAGPVVEISHQLRKVSDVEELTPPEHLSDLPPFSRCLIGIIIKSSNVVRSFLDELKACVASNDIEGIVCLTAAVHIILVINAGKHKSSKVREVAATVHRKLKTFMEITLEEDSIERFLYESSSRTLGELLNS 相同性解析による交差性が予測される生物種 |
| Full Name | non-SMC condensin II complex, subunit G2 |
| Calculated molecular weight | 1143 aa, 131 kDa |
| Observed molecular weight | 130 kDa |
| GenBank accession number | BC043404 |
| Gene Symbol | NCAPG2 |
| Gene ID (NCBI) | 54892 |
| Conjugate | Unconjugated |
| Form | |
| Form | Liquid |
| Purification Method | Protein A purification |
| UNIPROT ID | Q86XI2 |
| Storage Buffer | PBS with 0.02% sodium azide and 50% glycerol{{ptg:BufferTemp}}7.3 |
| Storage Conditions | Store at -20°C. Stable for one year after shipment. Aliquoting is unnecessary for -20oC storage. |
Background Information
NCAPG2 (non-SMC condensin II complex subunit G2) encodes a protein belonging to the non-SMC (structural maintenance protein) subunit family of the Condensin II complex that plays a key role in chromosome condensation and segregation during mitosis. NCAPG2 is positively correlated with cancer stem cell (CSC) markers, and aberrant NCAPG2 expression contributes to tumorigenesis in several human malignancies, such as prostate cancer and low-grade gliomas.
Protocols
| Product Specific Protocols | |
|---|---|
| IF protocol for NCAPG2 antibody 87645-1-RR | Download protocol |
| WB protocol for NCAPG2 antibody 87645-1-RR | Download protocol |
| Standard Protocols | |
|---|---|
| Click here to view our Standard Protocols |

