Validation Data Gallery
Tested Applications
| Positive WB detected in | A549 cells, SKOV-3 cells, HT-29 cells |
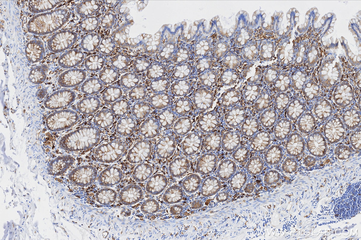
| Positive IHC detected in | human colon tissue Note: suggested antigen retrieval with TE buffer pH 9.0; (*) Alternatively, antigen retrieval may be performed with citrate buffer pH 6.0 |
Recommended dilution
| Application | Dilution |
|---|---|
| Western Blot (WB) | WB : 1:1000-1:8000 |
| Immunohistochemistry (IHC) | IHC : 1:500-1:2000 |
| It is recommended that this reagent should be titrated in each testing system to obtain optimal results. | |
| Sample-dependent, Check data in validation data gallery. | |
Product Information
87552-1-RR targets MMP7 in WB, IHC, ELISA applications and shows reactivity with human samples.
| Tested Reactivity | human |
| Host / Isotype | Rabbit / IgG |
| Class | Recombinant |
| Type | Antibody |
| Immunogen |
CatNo: Ag0550 Product name: Recombinant human MMP7 protein Source: e coli.-derived, PGEX-4T Tag: GST Domain: 1-100 aa of BC003635 Sequence: MRLTVLCAVCLLPGSLALPLPQEAGGMSELQWEQAQDYLKRFYLYDSETKNANSLEAKLKEMQKFFGLPITGMLNSHVIEIMQKPRCGVPDVAEYSLFPN 相同性解析による交差性が予測される生物種 |
| Full Name | matrix metallopeptidase 7 (matrilysin, uterine) |
| Calculated molecular weight | 29 kDa |
| Observed molecular weight | 27-30 kDa |
| GenBank accession number | BC003635 |
| Gene Symbol | MMP7 |
| Gene ID (NCBI) | 4316 |
| Conjugate | Unconjugated |
| Form | |
| Form | Liquid |
| Purification Method | Protein A purification |
| UNIPROT ID | P09237 |
| Storage Buffer | PBS with 0.02% sodium azide and 50% glycerol{{ptg:BufferTemp}}7.3 |
| Storage Conditions | Store at -20°C. Stable for one year after shipment. Aliquoting is unnecessary for -20oC storage. |
Background Information
Matrix metalloproteinase-7 (MMP-7)/ matrilysin is a member of the MMP family, but is structurally different from the other MMPs by virtue of the absence of a conserved COOH-terminal protein domain. MMPs are involved in the breakdown of extracellular matrix in normal physiological processes, such as embryonic development reproduction, and tissue remodeling, as well as in disease processes, such as arthritis and cancer metastasis. Most MMP's are secreted as inactive proproteins which are activated when cleaved by extracellular proteinases. MMP-7 degrades proteoglycans, fibronectin, elastin and casein, and is involved in wound healing, tumor progression, pulmonary fibrosis, and development of choroidal neovascularization in age-related macular degeneration. The expression of MMP-7 is increased in most tumors.
Protocols
| Product Specific Protocols | |
|---|---|
| IHC protocol for MMP7 antibody 87552-1-RR | Download protocol |
| WB protocol for MMP7 antibody 87552-1-RR | Download protocol |
| Standard Protocols | |
|---|---|
| Click here to view our Standard Protocols |



