Validation Data Gallery
Tested Applications
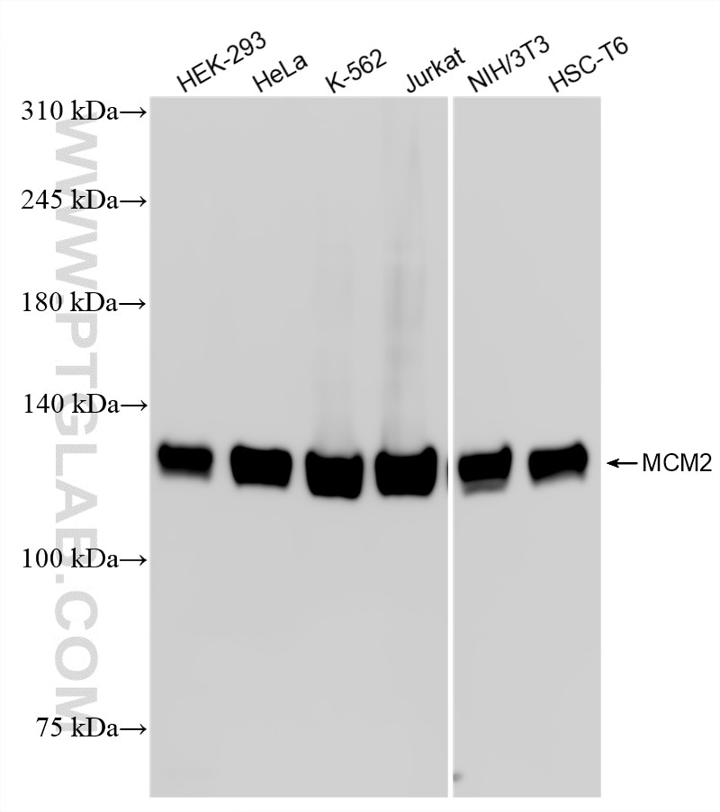
| Positive WB detected in | HEK-293 cells, HeLa cells, K-562 cells, Jurkat cells, NIH/3T3 cells, HSC-T6 cells, A431 cells |
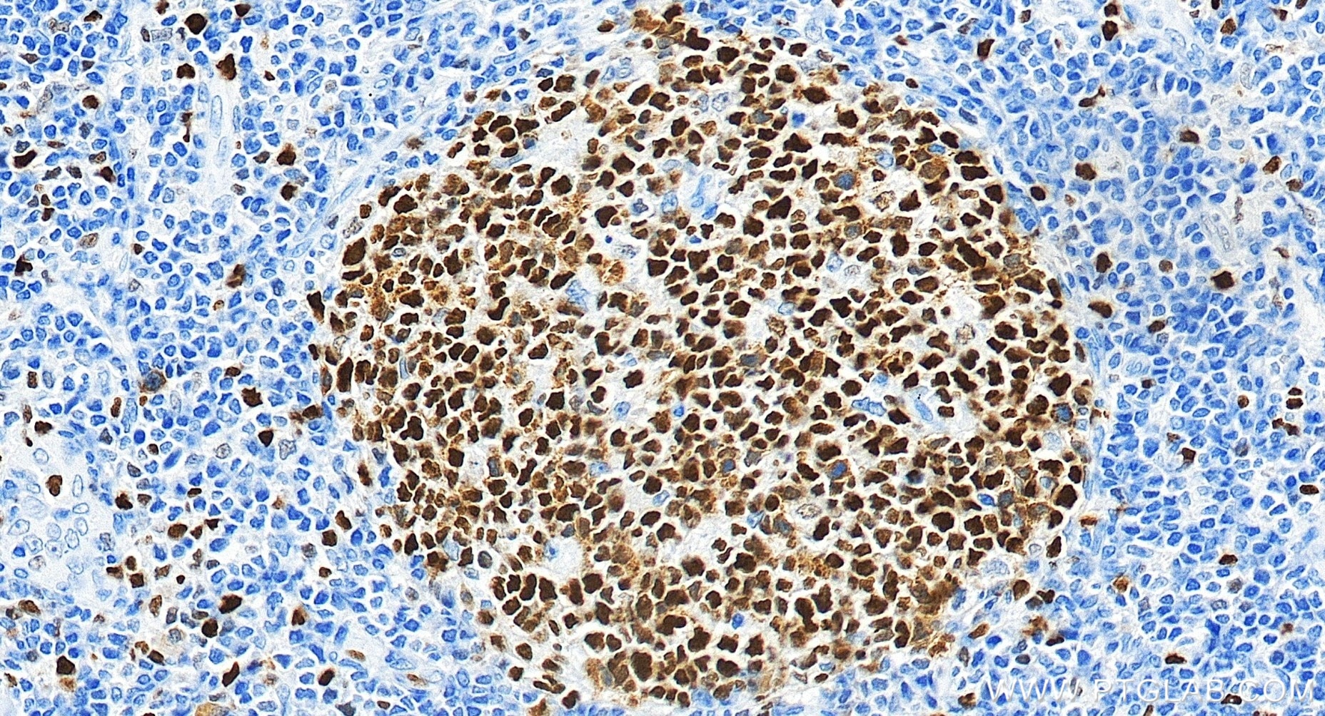
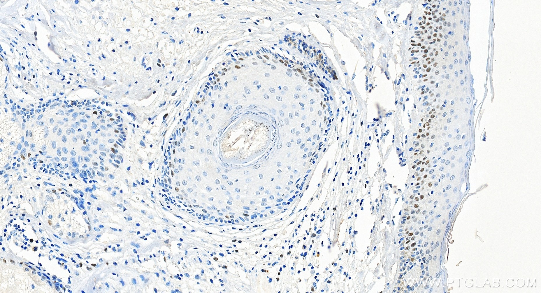
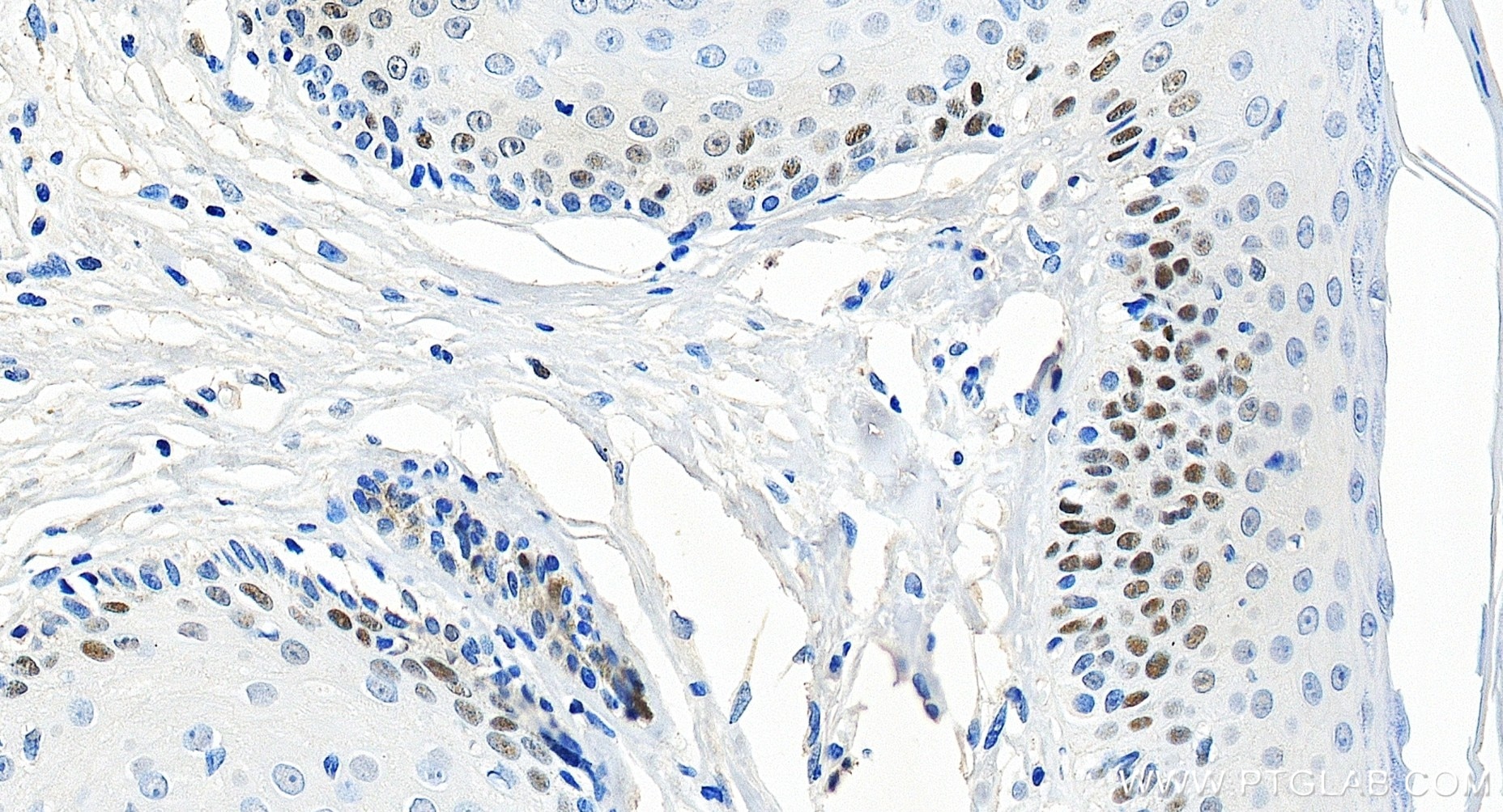
| Positive IHC detected in | human tonsillitis tissue, human cervical squamous cancer tissue, human colon cancer tissue, human placenta tissue, human skin tissue, mouse colon tissue, mouse small intestine tissue Note: suggested antigen retrieval with TE buffer pH 9.0; (*) Alternatively, antigen retrieval may be performed with citrate buffer pH 6.0 |
| Positive IF/ICC detected in | MCF-7 cells, HeLa cells |
Recommended dilution
| Application | Dilution |
|---|---|
| Western Blot (WB) | WB : 1:5000-1:50000 |
| Immunohistochemistry (IHC) | IHC : 1:1000-1:4000 |
| Immunofluorescence (IF)/ICC | IF/ICC : 1:250-1:1000 |
| It is recommended that this reagent should be titrated in each testing system to obtain optimal results. | |
| Sample-dependent, Check data in validation data gallery. | |
Product Information
84511-5-RR targets MCM2 in WB, IHC, IF/ICC, ELISA applications and shows reactivity with human, mouse, rat samples.
| Tested Reactivity | human, mouse, rat |
| Host / Isotype | Rabbit / IgG |
| Class | Recombinant |
| Type | Antibody |
| Immunogen |
CatNo: Ag0798 Product name: Recombinant human MCM2 protein Source: e coli.-derived, PGEX-4T Tag: GST Domain: 657-904 aa of BC007670 Sequence: FDILCVVRDTVDPVQDEMLARFVVGSHVRHHPSNKEEEGLANGSAAEPAMPNTYGVEPLPQEVLKKYIIYAKERVHPKLNQMDQDKVAKMYSDLRKESMATGSIPITVRHIESMIRMAEAHARIHLRDYVIEDDVNMAIRVMLESFIDTQKFSVMRSMRKTFARYLSFRRDNNELLLFILKQLVAEQVTYQRNRFGAQQDTIEVPEKDLVDKARQINIHNLSAFYDSELFRMNKFSHDLKRKMILQQF 相同性解析による交差性が予測される生物種 |
| Full Name | minichromosome maintenance complex component 2 |
| Calculated molecular weight | 102 kDa |
| Observed molecular weight | 116-125 kDa |
| GenBank accession number | BC007670 |
| Gene Symbol | MCM2 |
| Gene ID (NCBI) | 4171 |
| Conjugate | Unconjugated |
| Form | |
| Form | Liquid |
| Purification Method | Protein A purfication |
| UNIPROT ID | P49736 |
| Storage Buffer | PBS with 0.02% sodium azide and 50% glycerol{{ptg:BufferTemp}}7.3 |
| Storage Conditions | Store at -20°C. Stable for one year after shipment. Aliquoting is unnecessary for -20oC storage. |
Background Information
The MCM2-7 complex forms the core of the replicative helicase which acts as the molecular motor that uses ATP binding and hydrolysis to fuel the unwinding of double-stranded DNA at the replication fork in eukaryotes. This complex is the putative replicative helicase essential for 'once per cell cycle' DNA replication initiation and elongation in eukaryotic cells. MCM2, also named CDCL1 and BM28, is a human nuclear protein that plays an important role in 2 crucial steps of the cell cycle, namely, onset of DNA replication and cell division.
Protocols
| Product Specific Protocols | |
|---|---|
| IF protocol for MCM2 antibody 84511-5-RR | Download protocol |
| IHC protocol for MCM2 antibody 84511-5-RR | Download protocol |
| WB protocol for MCM2 antibody 84511-5-RR | Download protocol |
| Standard Protocols | |
|---|---|
| Click here to view our Standard Protocols |


















