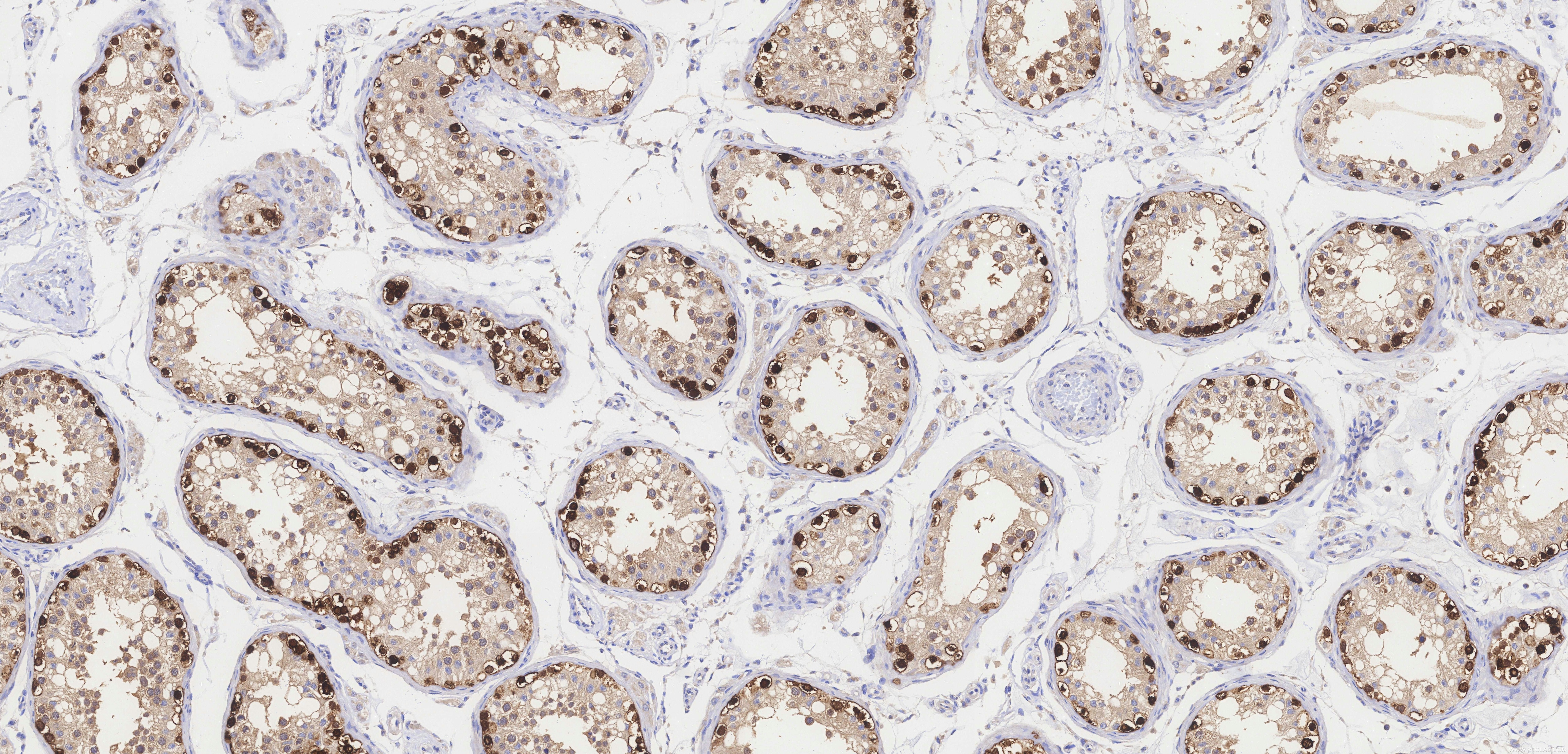
Validation Data Gallery
Tested Applications
Recommended dilution
| Application | Dilution |
|---|---|
| It is recommended that this reagent should be titrated in each testing system to obtain optimal results. | |
Product Information
84248-4-PBS targets MAGEA4 in WB, IHC, FC (Intra), Indirect ELISA applications and shows reactivity with human samples.
| Tested Reactivity | human |
| Host / Isotype | Rabbit / IgG |
| Class | Recombinant |
| Type | Antibody |
| Immunogen |
CatNo: Ag3193 Product name: Recombinant human MAGEA4 protein Source: e coli.-derived, PGEX-4T Tag: GST Domain: 1-317 aa of BC017723 Sequence: MSSEQKSQHCKPEEGVEAQEEALGLVGAQAPTTEEQEAAVSSSSPLVPGTLEEVPAAESAGPPQSPQGASALPTTISFTCWRQPNEGSSSQEEEGPSTSPDAESLFREALSNKVDELAHFLLRKYRAKELVTKAEMLERVIKNYKRCFPVIFGKASESLKMIFGIDVKEVDPTSNTYTLVTCLGLSYDGLLGNNQIFPKTGLLIIVLGTIAMEGDSASEEEIWEELGVMGVYDGREHTVYGEPRKLLTQDWVQENYLEYRQVPGSNPARYEFLWGPRALAETSYVKVLEHVVRVNARVRIAYPSLREAALLEEEEGV 相同性解析による交差性が予測される生物種 |
| Full Name | melanoma antigen family A, 4 |
| Calculated molecular weight | 317 aa, 35 kDa |
| Observed molecular weight | 45 kDa |
| GenBank accession number | BC017723 |
| Gene Symbol | MAGEA4 |
| Gene ID (NCBI) | 4103 |
| Conjugate | Unconjugated |
| Form | |
| Form | Liquid |
| Purification Method | Protein A purification |
| UNIPROT ID | P43358 |
| Storage Buffer | PBS only{{ptg:BufferTemp}}7.3 |
| Storage Conditions | Store at -80°C. |
Background Information
MAGEA4, also named MAGE4 and CT1.4, is one of the germ cell-specific markers (PMID:16540528). SMAGEA4 is one of the subgroup I MAGEAs members which may play important roles in the immune surveillance of certain tumor types and play important roles during embryogenesis.(PMID:15222021) The antibody is specific to MAGEA4.





