Validation Data Gallery
Tested Applications
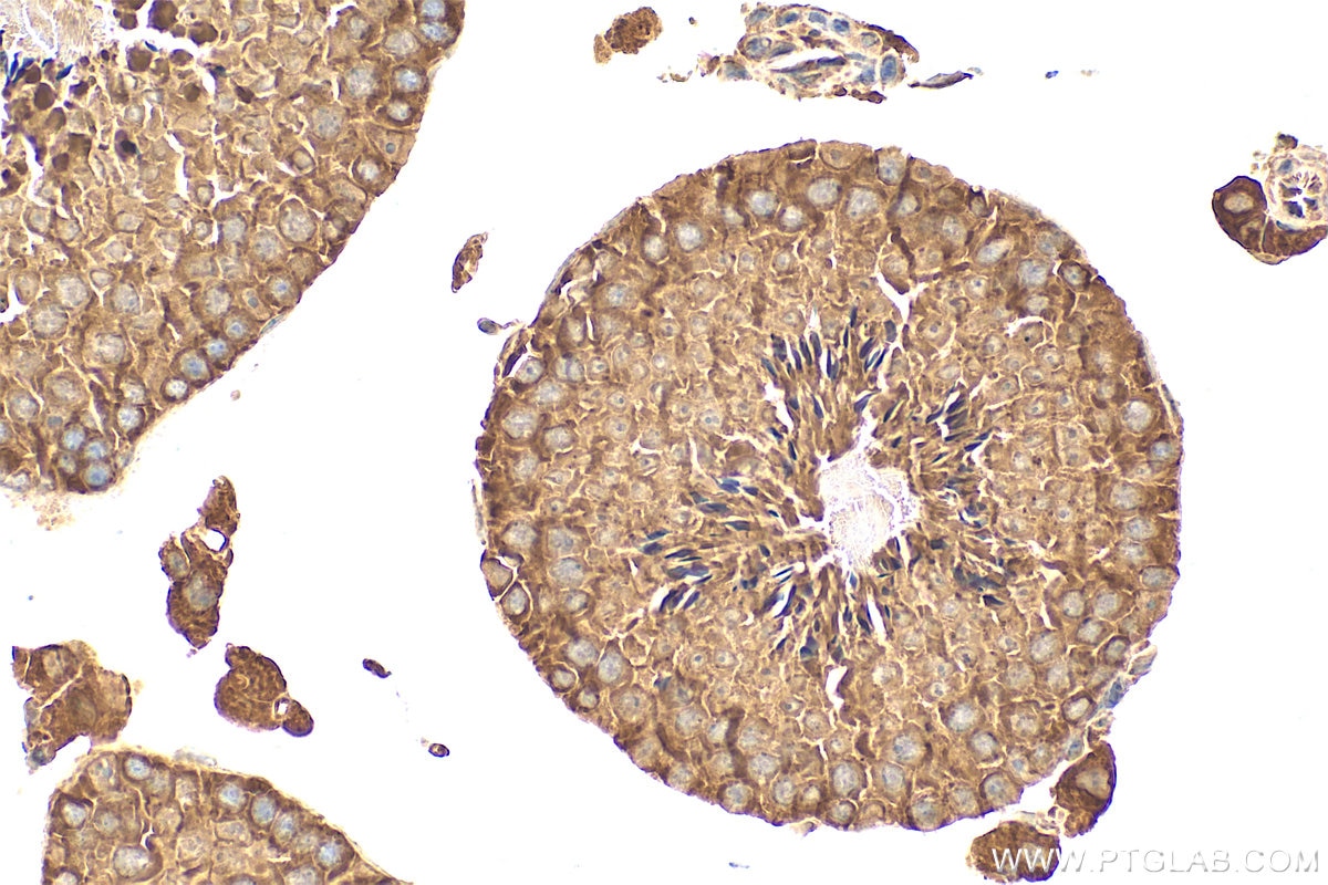
| Positive IHC detected in | mouse testis tissue Note: suggested antigen retrieval with TE buffer pH 9.0; (*) Alternatively, antigen retrieval may be performed with citrate buffer pH 6.0 |
Recommended dilution
| Application | Dilution |
|---|---|
| Immunohistochemistry (IHC) | IHC : 1:50-1:500 |
| It is recommended that this reagent should be titrated in each testing system to obtain optimal results. | |
| Sample-dependent, Check data in validation data gallery. | |
Product Information
32450-1-AP targets LRRC37A2 in IHC, ELISA applications and shows reactivity with human, mouse samples.
| Tested Reactivity | human, mouse |
| Host / Isotype | Rabbit / IgG |
| Class | Polyclonal |
| Type | Antibody |
| Immunogen |
CatNo: Ag36343 Product name: Recombinant human LRRC37A2 protein Source: e coli.-derived, PET28a Tag: 6*His Domain: 1155-1400 aa of NM_001006607 Sequence: QTVGQNRQRVKRVLMGPRSIQKRHFKEVGRQSIRREQGAQASVENAAEEKRLGSPAPREVEQPHTQQGPEKLAGNAVYTKPSFTQEHKAAVSVLKPFSKGAPSTSSPAKALPQVRDRWKDLTHAISILESAKARVTNTKTSKPIVHARKKYRFHKTRSHVTHRTPKVKKSPKVRKKSYLSRLMLANRLPFSAAKSLINSPSQGAFSSLGDLSPQENPFLEVSAPSEHFIENNNTKHTTARNAFEEN 相同性解析による交差性が予測される生物種 |
| Full Name | leucine rich repeat containing 37, member A2 |
| Calculated molecular weight | 188 kDa |
| GenBank accession number | NM_001006607 |
| Gene Symbol | LRRC37A2 |
| Gene ID (NCBI) | 474170 |
| Conjugate | Unconjugated |
| Form | |
| Form | Liquid |
| Purification Method | Antigen affinity Purification |
| UNIPROT ID | A6NM11 |
| Storage Buffer | PBS with 0.02% sodium azide and 50% glycerol{{ptg:BufferTemp}}7.3 |
| Storage Conditions | Store at -20°C. Stable for one year after shipment. Aliquoting is unnecessary for -20oC storage. |
Background Information
LRRC37A2, or Leucine-Rich Repeat-Containing Protein 37A2, is a protein encoded by the LRRC37A2 gene in humans. It belongs to the leucine-rich repeat (LRR) family, which is involved in protein-protein interactions and various cellular processes. The specific function of LRRC37A2 is not yet fully understood, but it is thought to play a role in immune response, cell signaling, and possibly neurodevelopment.
Protocols
| Product Specific Protocols | |
|---|---|
| IHC protocol for LRRC37A2 antibody 32450-1-AP | Download protocol |
| Standard Protocols | |
|---|---|
| Click here to view our Standard Protocols |
