Validation Data Gallery
Tested Applications
| Positive WB detected in | HEK-293 cells, mouse liver tissue, HeLa cells, mouse lung tissue, rat liver tissue, rat lung tissue |
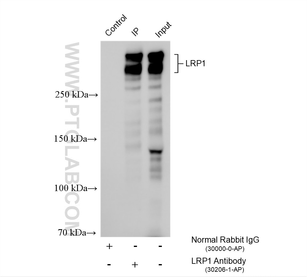
| Positive IP detected in | mouse liver tissue |
| Positive IHC detected in | human intrahepatic cholangiocarcinoma tissue Note: suggested antigen retrieval with TE buffer pH 9.0; (*) Alternatively, antigen retrieval may be performed with citrate buffer pH 6.0 |
Recommended dilution
| Application | Dilution |
|---|---|
| Western Blot (WB) | WB : 1:500-1:2000 |
| Immunoprecipitation (IP) | IP : 0.5-4.0 ug for 1.0-3.0 mg of total protein lysate |
| Immunohistochemistry (IHC) | IHC : 1:50-1:500 |
| It is recommended that this reagent should be titrated in each testing system to obtain optimal results. | |
| Sample-dependent, Check data in validation data gallery. | |
Published Applications
| KD/KO | See 1 publications below |
| WB | See 1 publications below |
Product Information
30206-1-AP targets LRP1 in WB, IHC, IP, ELISA applications and shows reactivity with human, mouse, rat samples.
| Tested Reactivity | human, mouse, rat |
| Cited Reactivity | human, mouse |
| Host / Isotype | Rabbit / IgG |
| Class | Polyclonal |
| Type | Antibody |
| Immunogen |
CatNo: Ag32507 Product name: Recombinant human LRP1 protein Source: e coli.-derived, PGEX-4T Tag: GST Domain: 20-170 aa of BC045107 Sequence: AIDAPKTCSPKQFACRDQITCISKGWRCDGERDCPDGSDEAPEICPQSKAQRCQPNEHNCLGTELCVPMSRLCNGVQDCMDGSDEGPHCRELQGNCSRLGCQHHCVPTLDGPTCYCNSSFQLQADGKTCKDFDECSVYGTCSQLCTNTDGS 相同性解析による交差性が予測される生物種 |
| Full Name | low density lipoprotein-related protein 1 (alpha-2-macroglobulin receptor) |
| Calculated molecular weight | 505 kDa |
| Observed molecular weight | 505 kDa |
| GenBank accession number | BC045107 |
| Gene Symbol | LRP1 |
| Gene ID (NCBI) | 4035 |
| RRID | AB_3086263 |
| Conjugate | Unconjugated |
| Form | |
| Form | Liquid |
| Purification Method | Antigen affinity purification |
| UNIPROT ID | Q07954 |
| Storage Buffer | PBS with 0.02% sodium azide and 50% glycerol{{ptg:BufferTemp}}7.3 |
| Storage Conditions | Store at -20°C. Stable for one year after shipment. Aliquoting is unnecessary for -20oC storage. |
Background Information
LRP1 (Prolow-density lipoprotein receptor-related protein 1), also known as A2MR, APOER and CD91, is a type I transmembrane protein that belongs to the LDLR family. LRP1 is synthesized as a transmembrane glycosylated precursor of 600 kDa, and is subsequently cleaved to generate a large 515-kDa N-terminal extracellular subunit and an 85-kDa C-terminal transmembrane subunit, which are noncovalently associated with one another (PMID: 2112085; 8546712). LRP1 is a multifunctional receptor involved in the clearance of a large number of diverse ligands and modulating various cellular processes. LRP1 is implicated in conditions such as atherosclerosis, cancer and neurodegenerative diseases (PMID: 28381441). This antibody is raised against 20-170 aa of human LRP1.
Protocols
| Product Specific Protocols | |
|---|---|
| IHC protocol for LRP1 antibody 30206-1-AP | Download protocol |
| IP protocol for LRP1 antibody 30206-1-AP | Download protocol |
| WB protocol for LRP1 antibody 30206-1-AP | Download protocol |
| Standard Protocols | |
|---|---|
| Click here to view our Standard Protocols |




