Validation Data Gallery
Tested Applications
| Positive WB detected in | human plasma |
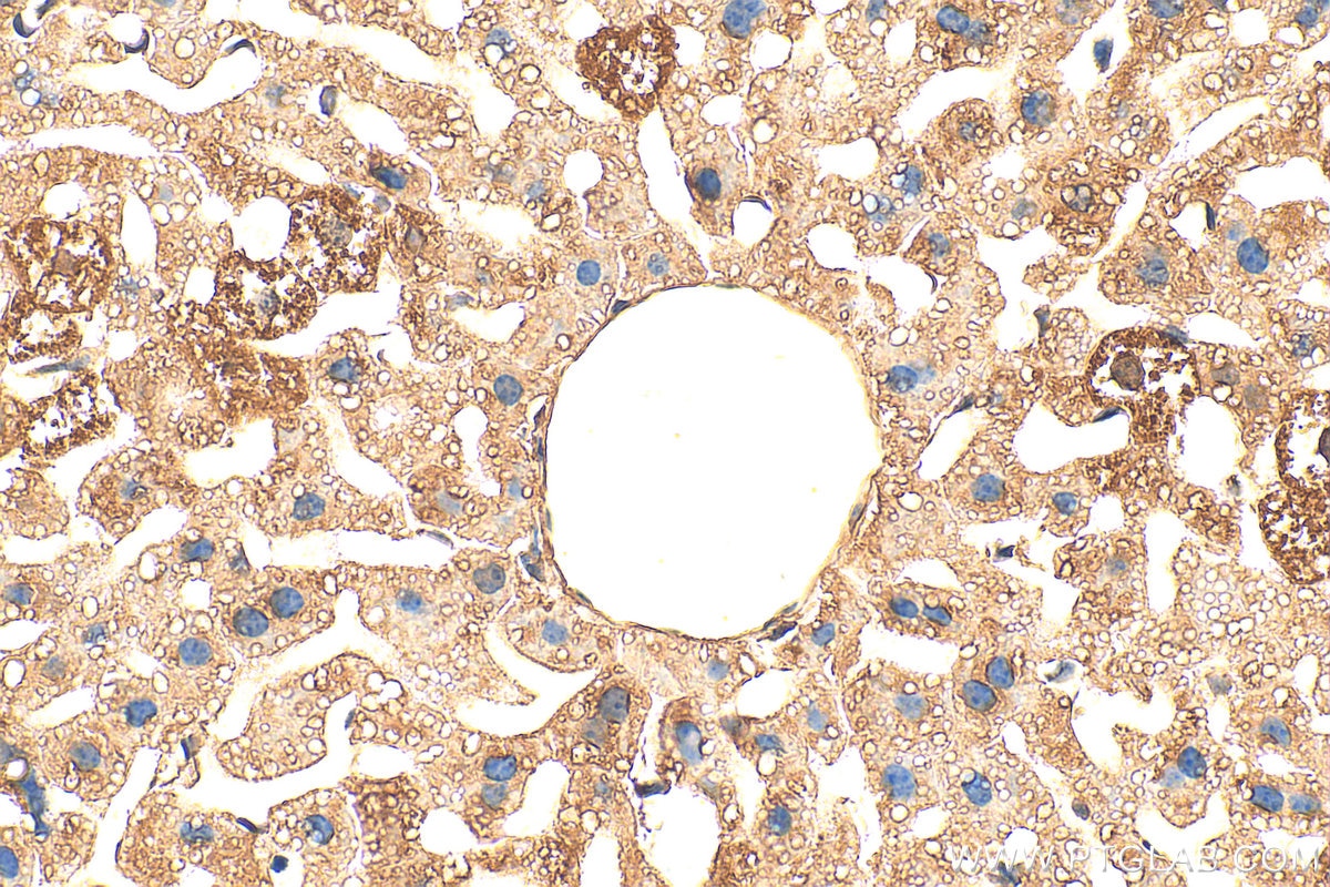
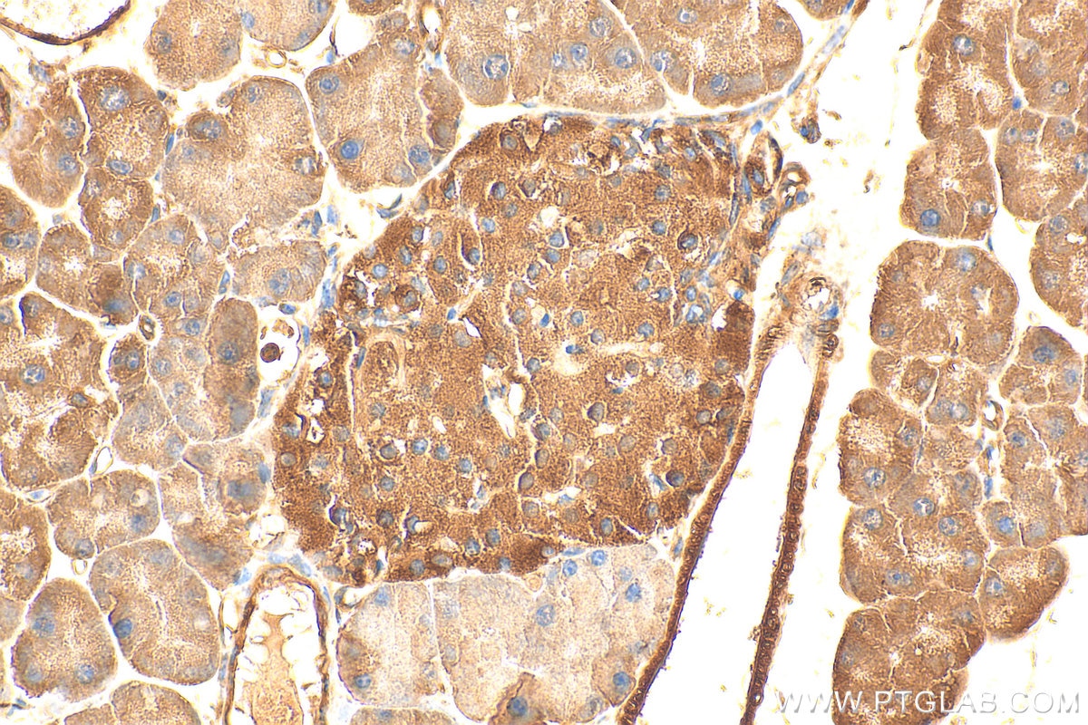
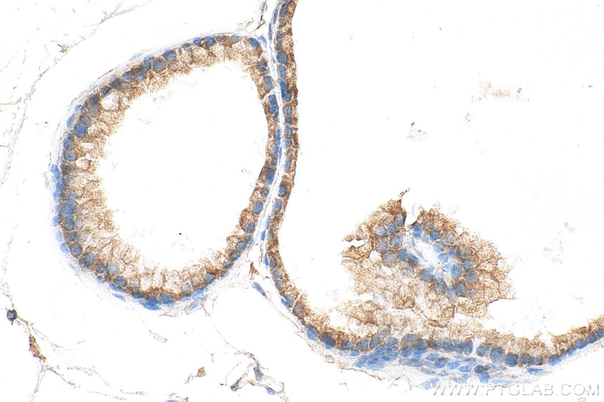
| Positive IHC detected in | mouse liver tissue, human liver tissue, human liver cancer tissue, human pancreas cancer tissue, mouse brain tissue, mouse pancreas tissue, mouse prostate tissue Note: suggested antigen retrieval with TE buffer pH 9.0; (*) Alternatively, antigen retrieval may be performed with citrate buffer pH 6.0 |
Recommended dilution
| Application | Dilution |
|---|---|
| Western Blot (WB) | WB : 1:500-1:2000 |
| Immunohistochemistry (IHC) | IHC : 1:200-1:800 |
| It is recommended that this reagent should be titrated in each testing system to obtain optimal results. | |
| Sample-dependent, Check data in validation data gallery. | |
Published Applications
| KD/KO | See 4 publications below |
| WB | See 17 publications below |
| IHC | See 15 publications below |
| IF | See 11 publications below |
Product Information
13224-1-AP targets LRG1 in WB, IHC, IF, ELISA applications and shows reactivity with human, mouse samples.
| Tested Reactivity | human, mouse |
| Cited Reactivity | human, mouse, rat |
| Host / Isotype | Rabbit / IgG |
| Class | Polyclonal |
| Type | Antibody |
| Immunogen |
CatNo: Ag3964 Product name: Recombinant human LRG1 protein Source: e coli.-derived, PGEX-4T Tag: GST Domain: 42-347 aa of BC034389 Sequence: DCQVFRSDHGSSISCQPPAEIPGYLPADTVHLAVEFFNLTHLPANLLQGASKLQELHLSSNGLESLSPEFLRPVPQLRVLDLTRNALTGLPSGLFQASATLDTLVLKENQLEVLEVSWLHGLKALGHLDLSGNRLRKLPPGLLANFTLLRTLDLGENQLETLPPDLLRGPLQLERLHLEGNKLQVLGKDLLLPQPDLRYLFLNGNKLARVAAGAFQGLRQLDMLDLSNNSLASVPEGLWASLGQPNWDMRDGFDISGNPWICDQNLSDLYRWLQAQKDKMFSQNDTRCAGPEAVKGQTLLAVAKSQ 相同性解析による交差性が予測される生物種 |
| Full Name | leucine-rich alpha-2-glycoprotein 1 |
| Calculated molecular weight | 347 aa, 38 kDa |
| Observed molecular weight | 45 kDa |
| GenBank accession number | BC034389 |
| Gene Symbol | LRG1 |
| Gene ID (NCBI) | 116844 |
| RRID | AB_2138714 |
| Conjugate | Unconjugated |
| Form | |
| Form | Liquid |
| Purification Method | Antigen affinity purification |
| UNIPROT ID | P02750 |
| Storage Buffer | PBS with 0.02% sodium azide and 50% glycerol{{ptg:BufferTemp}}7.3 |
| Storage Conditions | Store at -20°C. Stable for one year after shipment. Aliquoting is unnecessary for -20oC storage. |
Background Information
LRG1, also known as LRG, is a member of the leucine-rich repeat (LRR) family of proteins, containing eight LRR (leucine-rich) repeats and one LRRCT domain. The gene of LRG1 maps to chromosome 19p13.3, and encodes a 347-amino acid protein with a predicted unmodified molecular weight of 38 kD. The mature form of LRG1 is a secreted glycoprotein which has 312 amino acids and an experimentally determined molecular mass of 45 kD. The LRR family of proteins, including LRG1, have been shown to be involved in protein-protein interaction, signal transduction, and cell adhesion and development. LRG1 is expressed during granulocyte differentiation. Levels of the LRG protein are markedly elevated in acute appendicitis and therefore could be used as a diagnostic aid.
Protocols
| Product Specific Protocols | |
|---|---|
| IHC protocol for LRG1 antibody 13224-1-AP | Download protocol |
| WB protocol for LRG1 antibody 13224-1-AP | Download protocol |
| Standard Protocols | |
|---|---|
| Click here to view our Standard Protocols |
Publications
| Species | Application | Title |
|---|---|---|
Sci Transl Med Leucine-rich α-2-glycoprotein 1 initiates the onset of diabetic retinopathy in mice | ||
Small Methods Highly Sensitive Exosome Detection for Early Diagnosis of Pancreatic Cancer Using Immunoassay Based on Hierarchical Surface-Enhanced Raman Scattering Substrate. | ||
Kidney Int Gene expression profiles of glomerular endothelial cells support their role in the glomerulopathy of diabetic mice. | ||
Diabetes A Multifunctional Role of Leucine-Rich α-2-Glycoprotein 1 in Cutaneous Wound Healing Under Normal and Diabetic Conditions.
| ||
Oncotarget Leucine-rich α-2-glycoprotein promotes TGFβ1-mediated growth suppression in the Lewis lung carcinoma cell lines. | ||
Cancers (Basel) LRG1 Promotes Metastatic Dissemination of Melanoma through Regulating EGFR/STAT3 Signalling. |












