Validation Data Gallery
Tested Applications
| Positive WB detected in | HeLa cells, HepG2 cells, mouse liver tissue, rat liver tissue |
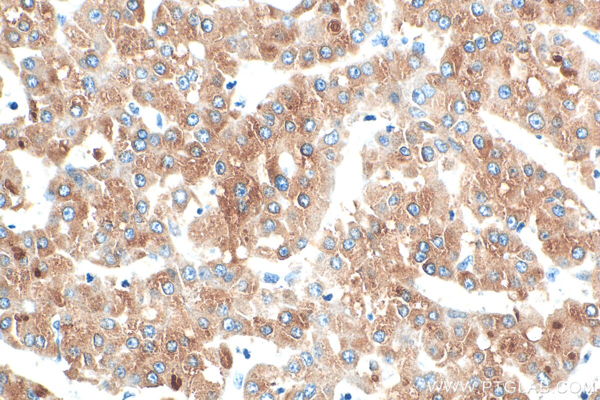
| Positive IHC detected in | human intrahepatic cholangiocarcinoma tissue, human liver cancer tissue Note: suggested antigen retrieval with TE buffer pH 9.0; (*) Alternatively, antigen retrieval may be performed with citrate buffer pH 6.0 |
Recommended dilution
| Application | Dilution |
|---|---|
| Western Blot (WB) | WB : 1:1000-1:4000 |
| Immunohistochemistry (IHC) | IHC : 1:50-1:500 |
| It is recommended that this reagent should be titrated in each testing system to obtain optimal results. | |
| Sample-dependent, Check data in validation data gallery. | |
Product Information
30183-1-AP targets LASS2 in WB, IHC, ELISA applications and shows reactivity with human, mouse, rat samples.
| Tested Reactivity | human, mouse, rat |
| Host / Isotype | Rabbit / IgG |
| Class | Polyclonal |
| Type | Antibody |
| Immunogen |
CatNo: Ag32769 Product name: Recombinant human LASS2 protein Source: e coli.-derived, PGEX-4T Tag: GST Domain: 62-136 aa of BC010032 Sequence: TPLAALLNIKEKTRLRAPPNATLEHFYLTSGKQPKQVEVELLSRQSGLSGRQVERWFRRRRNQDRPSLLKKFREA 相同性解析による交差性が予測される生物種 |
| Full Name | LAG1 homolog, ceramide synthase 2 |
| Calculated molecular weight | 380 aa, 45 kDa |
| Observed molecular weight | 37 kDa |
| GenBank accession number | BC010032 |
| Gene Symbol | LASS2 |
| Gene ID (NCBI) | 29956 |
| RRID | AB_3086256 |
| Conjugate | Unconjugated |
| Form | |
| Form | Liquid |
| Purification Method | Antigen affinity purification |
| UNIPROT ID | Q96G23 |
| Storage Buffer | PBS with 0.02% sodium azide and 50% glycerol{{ptg:BufferTemp}}7.3 |
| Storage Conditions | Store at -20°C. Stable for one year after shipment. Aliquoting is unnecessary for -20oC storage. |
Background Information
LASS2, also known as TMSG1, is a novel suppressor of human cancer metastasis. As one member of LASS family, including LASS1-6, LASS2 mRNA is at the highest level of all LASS members, and has the broadest tissue distribution, particularly abundant in the liver, kidney and brain in mice. The biological roles of LASS2 include protection from aging , hepatic INS resistance, and hepatocellular carcinoma (HCC) progression. LASS2 has been correlated with the degree of invasion and recurrence of carcinomas of the prostate, liver, breast and bladder.
Protocols
| Product Specific Protocols | |
|---|---|
| IHC protocol for LASS2 antibody 30183-1-AP | Download protocol |
| WB protocol for LASS2 antibody 30183-1-AP | Download protocol |
| Standard Protocols | |
|---|---|
| Click here to view our Standard Protocols |





