Validation Data Gallery
Tested Applications
| Positive WB detected in | Jurkat cells, mouse brain tissue |
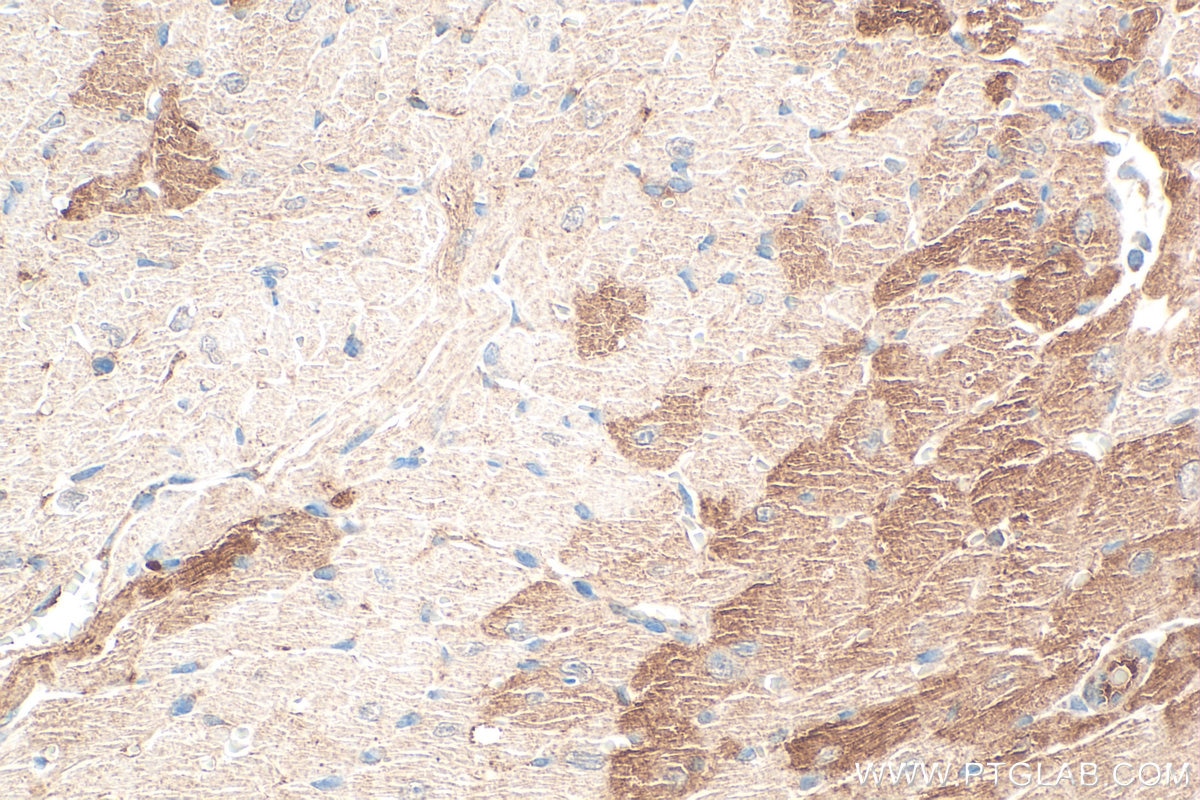
| Positive IHC detected in | mouse heart tissue Note: suggested antigen retrieval with TE buffer pH 9.0; (*) Alternatively, antigen retrieval may be performed with citrate buffer pH 6.0 |
Recommended dilution
| Application | Dilution |
|---|---|
| Western Blot (WB) | WB : 1:1000-1:4000 |
| Immunohistochemistry (IHC) | IHC : 1:50-1:500 |
| It is recommended that this reagent should be titrated in each testing system to obtain optimal results. | |
| Sample-dependent, Check data in validation data gallery. | |
Product Information
27514-1-AP targets LARP6 in WB, IHC, ELISA applications and shows reactivity with human, mouse, rat samples.
| Tested Reactivity | human, mouse, rat |
| Host / Isotype | Rabbit / IgG |
| Class | Polyclonal |
| Type | Antibody |
| Immunogen |
CatNo: Ag24354 Product name: Recombinant human LARP6 protein Source: e coli.-derived, PET28a Tag: 6*His Domain: 378-491 aa of BC009446 Sequence: CTSPWSSPLAQRKGVSRKSPLAEEGRLNCSTSPEIFRKCMDYSSDSSVTPSGSPWVRRRRQAEMGTQEKSPGTSPLLSRKMQTADGLPVGVLRLPRGPDNTRGFHGHERSRACV 相同性解析による交差性が予測される生物種 |
| Full Name | La ribonucleoprotein domain family, member 6 |
| Calculated molecular weight | 491 aa, 55 kDa |
| Observed molecular weight | 70 kDa |
| GenBank accession number | BC009446 |
| Gene Symbol | LARP6 |
| Gene ID (NCBI) | 55323 |
| RRID | AB_3669606 |
| Conjugate | Unconjugated |
| Form | |
| Form | Liquid |
| Purification Method | Antigen affinity purification |
| UNIPROT ID | Q9BRS8 |
| Storage Buffer | PBS with 0.02% sodium azide and 50% glycerol{{ptg:BufferTemp}}7.3 |
| Storage Conditions | Store at -20°C. Stable for one year after shipment. Aliquoting is unnecessary for -20oC storage. |
Background Information
La-related protein 6 (LARP6), also known as Acheron or La ribonucleoprotein domain family member 6, is a protein encoded by the LARP6 gene in humans. It is a member of the LARP superfamily of RNA-binding proteins, which are post-transcriptional regulators. It is a phosphoprotein and eight phosphorylation sites have been identified. Six of these phosphorylation sites reside in the C-terminal domain of LARP6 (CTER). These sites are Ser348, Ser396, Ser409, Ser421, Ser447, and Ser451 (PMID: 27011170).
Protocols
| Product Specific Protocols | |
|---|---|
| IHC protocol for LARP6 antibody 27514-1-AP | Download protocol |
| WB protocol for LARP6 antibody 27514-1-AP | Download protocol |
| Standard Protocols | |
|---|---|
| Click here to view our Standard Protocols |

