Validation Data Gallery
Tested Applications
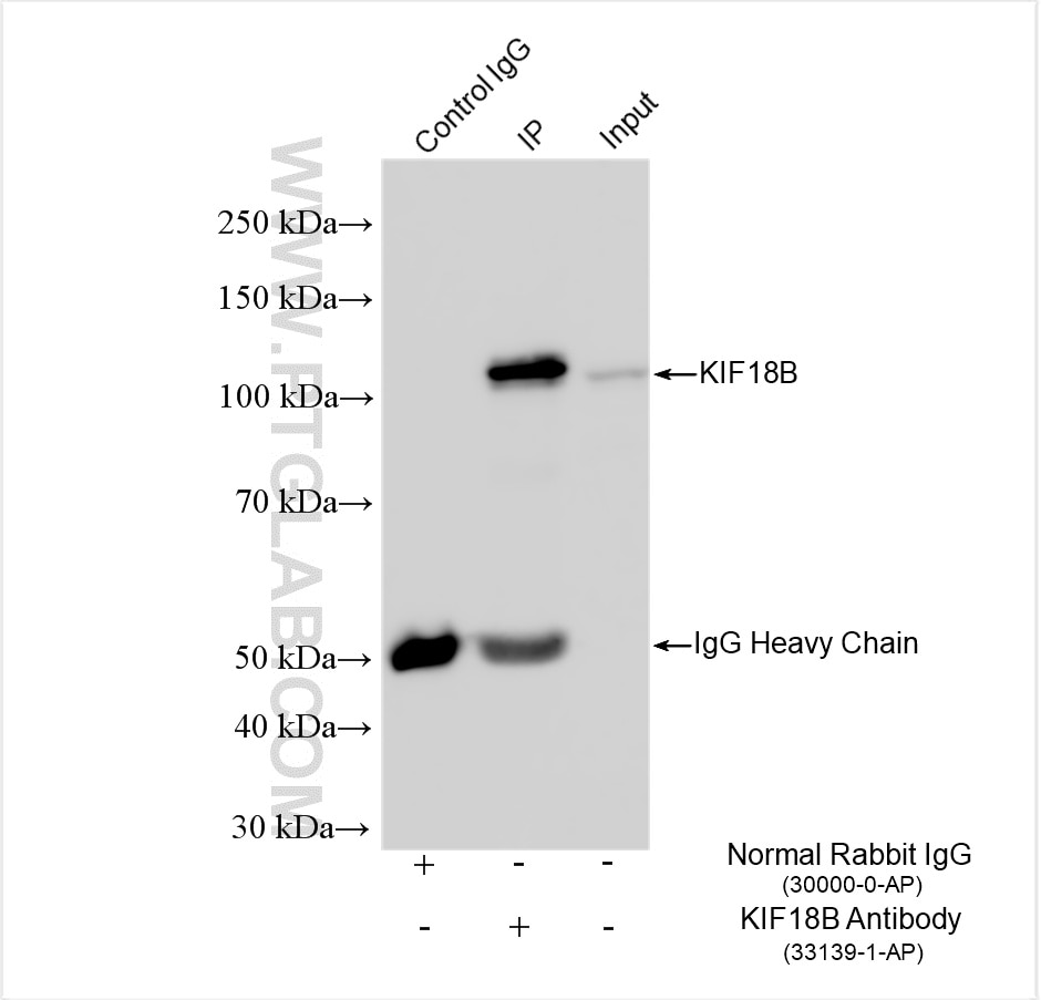
| Positive IP detected in | Jurkat cells |
| Positive IF/ICC detected in | U2OS cells, Jurkat cells |
Recommended dilution
| Application | Dilution |
|---|---|
| Immunoprecipitation (IP) | IP : 0.5-4.0 ug for 1.0-3.0 mg of total protein lysate |
| Immunofluorescence (IF)/ICC | IF/ICC : 1:200-1:800 |
| It is recommended that this reagent should be titrated in each testing system to obtain optimal results. | |
| Sample-dependent, Check data in validation data gallery. | |
Product Information
33139-1-AP targets KIF18B in IF/ICC, IP, ELISA applications and shows reactivity with human samples.
| Tested Reactivity | human |
| Host / Isotype | Rabbit / IgG |
| Class | Polyclonal |
| Type | Antibody |
| Immunogen |
CatNo: Ag36663 Product name: Recombinant human KIF18B protein Source: e coli.-derived, PGEX-4T Tag: GST Domain: 1-110 aa of BC136590 Sequence: MAVEDSTLQVVVRVRPPTPRELDSQRRPVVQVVDERVLVFNPEEPDGGFPGLKWGGTHDGPKKKGKDLTFVFDRVFGEAATQQDVFQHTTHSVLDSFLQGYNCSVFAYGA 相同性解析による交差性が予測される生物種 |
| Full Name | kinesin family member 18B |
| Calculated molecular weight | 852 aa, 93 kDa/833 aa, 91 kDa |
| Observed molecular weight | 100 kDa |
| GenBank accession number | BC136590 |
| Gene Symbol | KIF18B |
| Gene ID (NCBI) | 146909 |
| Conjugate | Unconjugated |
| Form | |
| Form | Liquid |
| Purification Method | Antigen affinity Purification |
| UNIPROT ID | Q86Y91 |
| Storage Buffer | PBS with 0.02% sodium azide and 50% glycerol{{ptg:BufferTemp}}7.3 |
| Storage Conditions | Store at -20°C. Stable for one year after shipment. Aliquoting is unnecessary for -20oC storage. |
Background Information
KIF18B is a key member of the kinesin-8 family, involved in regulating various physiological processes such as microtubule length, spindle assembly, and chromosome alignment. This article briefly introduces the structure and physiological functions of KIF18B, examines its role in malignant tumors, and the associated carcinogenic signaling pathways such as PI3K/AKT, Wnt/β-catenin, and mTOR pathways. Research indicates that the upregulation of KIF18B enhances tumor malignancy and resistance to radiotherapy and chemotherapy. KIF18B could become a new target for anticancer drugs, offering significant potential for the treatment of malignant tumors and reducing chemotherapy resistance (PMID: 39259333).
Protocols
| Product Specific Protocols | |
|---|---|
| IF protocol for KIF18B antibody 33139-1-AP | Download protocol |
| IP protocol for KIF18B antibody 33139-1-AP | Download protocol |
| Standard Protocols | |
|---|---|
| Click here to view our Standard Protocols |


