Validation Data Gallery
Filter:
Tested Applications
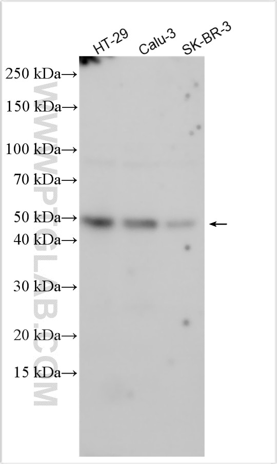
| Positive WB detected in | HT-29 cells, Calu-3 cells, SK-BR-3 cells |
Recommended dilution
| Application | Dilution |
|---|---|
| Western Blot (WB) | WB : 1:1000-1:2000 |
| It is recommended that this reagent should be titrated in each testing system to obtain optimal results. | |
| Sample-dependent, Check data in validation data gallery. | |
Product Information
32975-1-AP targets KDF1 in WB, ELISA applications and shows reactivity with human samples.
| Tested Reactivity | human |
| Host / Isotype | Rabbit / IgG |
| Class | Polyclonal |
| Type | Antibody |
| Immunogen |
CatNo: Ag37124 Product name: Recombinant human C1orf172 protein Source: e coli.-derived, PGEX-4T Tag: GST Domain: 96-244 aa of NM_152365.2 Sequence: RDCLQRCGACVRGCSPCLSTEDSTEGTAEANWAKEHNGVPPSPDRAPPSRRDGQRLKSTMGSSFSYPDVKLKGIPVYPYPRATSPAPDADSCCKEPLADPPPMRHSLPSTFASSPRGSEEYYSFHESDLDLPEMGSGSMSSREIDVLIF 相同性解析による交差性が予測される生物種 |
| Full Name | chromosome 1 open reading frame 172 |
| Calculated molecular weight | 44 kDa,398aa |
| Observed molecular weight | 50 kDa |
| GenBank accession number | NM_152365.2 |
| Gene Symbol | C1orf172 |
| Gene ID (NCBI) | 126695 |
| Conjugate | Unconjugated |
| Form | |
| Form | Liquid |
| Purification Method | Antigen affinity Purification |
| UNIPROT ID | Q8NAX2 |
| Storage Buffer | PBS with 0.02% sodium azide and 50% glycerol{{ptg:BufferTemp}}7.3 |
| Storage Conditions | Store at -20°C. Stable for one year after shipment. Aliquoting is unnecessary for -20oC storage. |
Protocols
| Product Specific Protocols | |
|---|---|
| WB protocol for KDF1 antibody 32975-1-AP | Download protocol |
| Standard Protocols | |
|---|---|
| Click here to view our Standard Protocols |
