Validation Data Gallery
Tested Applications
| Positive WB detected in | mouse brain tissue, rat brain tissue |
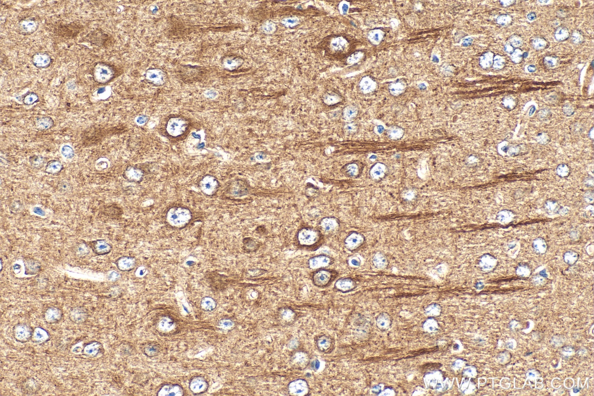
| Positive IHC detected in | human ovary cancer tissue, human intrahepatic cholangiocarcinoma tissue, mouse brain tissue Note: suggested antigen retrieval with TE buffer pH 9.0; (*) Alternatively, antigen retrieval may be performed with citrate buffer pH 6.0 |
Recommended dilution
| Application | Dilution |
|---|---|
| Western Blot (WB) | WB : 1:5000-1:50000 |
| Immunohistochemistry (IHC) | IHC : 1:400-1:1600 |
| It is recommended that this reagent should be titrated in each testing system to obtain optimal results. | |
| Sample-dependent, Check data in validation data gallery. | |
Published Applications
| IHC | See 2 publications below |
Product Information
29775-1-AP targets Integrin beta-8 in WB, IHC, ELISA applications and shows reactivity with human, mouse, rat samples.
| Tested Reactivity | human, mouse, rat |
| Cited Reactivity | human |
| Host / Isotype | Rabbit / IgG |
| Class | Polyclonal |
| Type | Antibody |
| Immunogen |
CatNo: Ag31137 Product name: Recombinant human Integrin beta-8 protein Source: e coli.-derived, PGEX-4T Tag: GST Domain: 460-620 aa of NM_002214 Sequence: KIHIHRNCSCQCEDNRGPKGKCVDETFLDSKCFQCDENKCHFDEDQFSSESCKSHKDQPVCSGRGVCVCGKCSCHKIKLGKVYGKYCEKDDFSCPYHHGNLCAGHGECEAGRCQCFSGWEGDRCQCPSAAAQHCVNSKGQVCSGRGTCVCGRCECTDPRSI 相同性解析による交差性が予測される生物種 |
| Full Name | integrin, beta 8 |
| Calculated molecular weight | 86 kDa |
| Observed molecular weight | 95 kDa |
| GenBank accession number | NM_002214 |
| Gene Symbol | Integrin beta 8 |
| Gene ID (NCBI) | 3696 |
| RRID | AB_2935479 |
| Conjugate | Unconjugated |
| Form | |
| Form | Liquid |
| Purification Method | Antigen affinity purification |
| UNIPROT ID | P26012 |
| Storage Buffer | PBS with 0.02% sodium azide and 50% glycerol{{ptg:BufferTemp}}7.3 |
| Storage Conditions | Store at -20°C. Stable for one year after shipment. Aliquoting is unnecessary for -20oC storage. |
Background Information
Integrins are cell adhesion receptors that are heterodimers composed of non-covalently associated alpha and beta subunits. Integrin beta-8 (ITGB8), belongs to the integrin beta chain family, contains an N-terminal signal peptide, a large extracellular domain that includes four cysteine-rich repeats, a transmembrane domain, and a C-terminal cytoplasmic domain (PMID: 1918072). Integrin beta-8 associates with integrin alpha-V (ITGAV) to form an αvβ8 heterodimer which has been shown to bind vitronectin, fibronectin, and a latency-associated peptide of TGF-β1/3 (PMID: 27033701). Integrin beta-8 contains multiple potential N-linked glycosylation sites. The observed molecular mass of approximately 95 kDa for integrin beta-8 is larger than the predicted 86 kDa, consistent with substantial glycosylation (PMID: 1918072).
Protocols
| Product Specific Protocols | |
|---|---|
| IHC protocol for Integrin beta-8 antibody 29775-1-AP | Download protocol |
| WB protocol for Integrin beta-8 antibody 29775-1-AP | Download protocol |
| Standard Protocols | |
|---|---|
| Click here to view our Standard Protocols |
Publications
| Species | Application | Title |
|---|---|---|
Sci Adv AKR1B10 dictates c-Myc stability to suppress colorectal cancer metastasis via PP2A nitration | ||
Medicine (Baltimore) Prognostic value and potential molecular mechanism of ITGB superfamily members in hepatocellular carcinoma | ||
Nat Commun Dietary nucleic acids promote oral tolerance through innate sensing pathways in mice |




