Validation Data Gallery
Tested Applications
| Positive WB detected in | HT-1080 cells, A431 cells, HeLa cells, MDA-MB-231 cells |
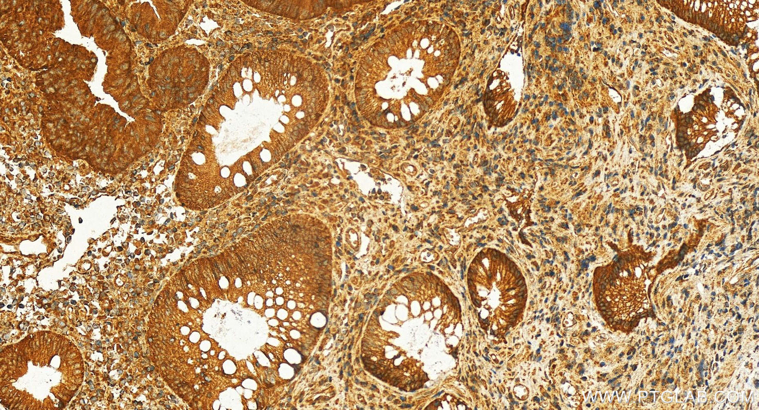
| Positive IHC detected in | human colon cancer Note: suggested antigen retrieval with TE buffer pH 9.0; (*) Alternatively, antigen retrieval may be performed with citrate buffer pH 6.0 |
| Positive IF/ICC detected in | A431 cells |
Recommended dilution
| Application | Dilution |
|---|---|
| Western Blot (WB) | WB : 1:1000-1:8000 |
| Immunohistochemistry (IHC) | IHC : 1:50-1:500 |
| Immunofluorescence (IF)/ICC | IF/ICC : 1:200-1:800 |
| It is recommended that this reagent should be titrated in each testing system to obtain optimal results. | |
| Sample-dependent, Check data in validation data gallery. | |
Published Applications
| WB | See 1 publications below |
Product Information
30703-1-AP targets CD49b in WB, IHC, IF/ICC, ELISA applications and shows reactivity with human samples.
| Tested Reactivity | human |
| Cited Reactivity | human |
| Host / Isotype | Rabbit / IgG |
| Class | Polyclonal |
| Type | Antibody |
| Immunogen |
CatNo: Ag32771 Product name: Recombinant human ITGA2 protein Source: e coli.-derived, PGEX-4T Tag: GST Domain: 840-1132 aa of NM_002203 Sequence: GIVVDFSENLFFASFSLPVDGTEVTCQVAASQKSVACDVGYPALKREQQVTFTINFDFNLQNLQNQASLSFQALSESQEENKADNLVNLKIPLLYDAEIHLTRSTNINFYEISSDGNVPSIVHSFEDVGPKFIFSLKVTTGSVPVSMATVIIHIPQYTKEKNPLMYLTGVQTDKAGDISCNADINPLKIGQTSSSVSFKSENFRHTKELNCRTASCSNVTCWLKDVHMKGEYFVNVTTRIWNGTFASSTFQTVQLTAAAEINTYNPEIYVIEDNTVTIPLMIMKPDEKAEVPT 相同性解析による交差性が予測される生物種 |
| Full Name | integrin, alpha 2 (CD49B, alpha 2 subunit of VLA-2 receptor) |
| Calculated molecular weight | 126 kDa |
| Observed molecular weight | 140-150 kDa |
| GenBank accession number | NM_002203 |
| Gene Symbol | Integrin alpha 2 |
| Gene ID (NCBI) | 3673 |
| RRID | AB_3669752 |
| Conjugate | Unconjugated |
| Form | |
| Form | Liquid |
| Purification Method | Antigen affinity purification |
| UNIPROT ID | P17301 |
| Storage Buffer | PBS with 0.02% sodium azide and 50% glycerol{{ptg:BufferTemp}}7.3 |
| Storage Conditions | Store at -20°C. Stable for one year after shipment. Aliquoting is unnecessary for -20oC storage. |
Background Information
The integrins are a superfamily of cell adhesion receptors that bind to extracellular matrix ligands, cell-surface ligands, and soluble ligands (PMID: 17543136). They are transmembrane αβ heterodimers and at least 24 distinct integrin heterodimers are formed by the combination of 18 α and eight β known subunits (PMID: 17543136; 20029421). In addition to mediating cell adhesion, integrins also play important roles in modulating signal transduction pathways that control cellular responses including migration, proliferation, differentiation, and apoptosis (PMID:19118207). Integrin alpha-2 (ITGA2, CD49b) combines with the beta 1 subunit (ITGB1, CD29) to form a cell-surface receptor (VLA-2) for laminin, collagen, collagen C-propeptides, fibronectin and E-cadherin.
Protocols
| Product Specific Protocols | |
|---|---|
| IF protocol for CD49b antibody 30703-1-AP | Download protocol |
| IHC protocol for CD49b antibody 30703-1-AP | Download protocol |
| WB protocol for CD49b antibody 30703-1-AP | Download protocol |
| Standard Protocols | |
|---|---|
| Click here to view our Standard Protocols |



