Validation Data Gallery
Tested Applications
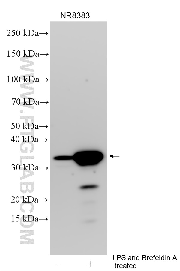
| Positive WB detected in | RAW 264.7 cells, LPS and Brefeldin A treated NR8383 cells, LPS and Brefeldin A treated THP-1 cells |
| Positive IF/ICC detected in | PMA, LPS and Brefeldin A treated THP-1 cells |
Recommended dilution
| Application | Dilution |
|---|---|
| Western Blot (WB) | WB : 1:1000-1:6000 |
| Immunofluorescence (IF)/ICC | IF/ICC : 1:50-1:500 |
| It is recommended that this reagent should be titrated in each testing system to obtain optimal results. | |
| Sample-dependent, Check data in validation data gallery. | |
Published Applications
| KD/KO | See 1 publications below |
| WB | See 182 publications below |
| IHC | See 43 publications below |
| IF | See 25 publications below |
| ELISA | See 1 publications below |
Product Information
26048-1-AP targets IL-1 beta in WB, IHC, IF/ICC, ELISA applications and shows reactivity with human, mouse, rat samples.
| Tested Reactivity | human, mouse, rat |
| Cited Reactivity | human, mouse, rat, rabbit, monkey, zebrafish |
| Host / Isotype | Rabbit / IgG |
| Class | Polyclonal |
| Type | Antibody |
| Immunogen |
CatNo: Ag23461 Product name: Recombinant mouse IL-1B protein Source: e coli.-derived, PGEX-4T Tag: GST Domain: 118-269 aa of NM_008361 Sequence: VPIRQLHYRLRDEQQKSLVLSDPYELKALHLNGQNINQQVIFSMSFVQGEPSNDKIPVALGLKGKNLYLSCVMKDGTPTLQLESVDPKQYPKKKMEKRFVFNKIEVKSKVEFESAEFPNWYISTSQAEHKPVFLGNNSGQDIIDFTMESVSS 相同性解析による交差性が予測される生物種 |
| Full Name | interleukin 1 beta |
| Calculated molecular weight | 31 kDa |
| Observed molecular weight | 31 kDa |
| GenBank accession number | NM_008361 |
| Gene Symbol | IL-1 beta |
| Gene ID (NCBI) | 16176 |
| RRID | AB_2880351 |
| Conjugate | Unconjugated |
| Form | |
| Form | Liquid |
| Purification Method | Antigen affinity purification |
| UNIPROT ID | P10749 |
| Storage Buffer | PBS with 0.02% sodium azide and 50% glycerol{{ptg:BufferTemp}}7.3 |
| Storage Conditions | Store at -20°C. Stable for one year after shipment. Aliquoting is unnecessary for -20oC storage. |
Background Information
Interleukin-1, produced mainly by blood monocytes, mediates the panoply of host reactions collectively known as acute phase response. It is identical to endogenous pyrogen. The multiple biologic activities that define IL1 are properties of a 15- to 18-kD protein that is derived from a 30- to 35-kD precursor. Interleukin 1β (IL-1B) is a member of the interleukin 1 cytokine family. It is a pro-inflammatory cytokine against infection, playing an important role in the pathogenesis of cancers. It signals through various adaptor proteins and kinases that lead to activation of numerous downstream targets.
Protocols
| Product Specific Protocols | |
|---|---|
| IF protocol for IL-1 beta antibody 26048-1-AP | Download protocol |
| WB protocol for IL-1 beta antibody 26048-1-AP | Download protocol |
| Standard Protocols | |
|---|---|
| Click here to view our Standard Protocols |
Publications
| Species | Application | Title |
|---|---|---|
Signal Transduct Target Ther Metabolic reprogramming of proinflammatory macrophages by target delivered roburic acid effectively ameliorates rheumatoid arthritis symptoms | ||
Bioact Mater A bioactive composite hydrogel dressing that promotes healing of both acute and chronic diabetic skin wounds | ||
ACS Nano Hepatic Stellate Cell- and Liver Microbiome-Specific Delivery System for Dihydrotanshinone I to Ameliorate Liver Fibrosis | ||
Adv Sci (Weinh) Inflammatory Fibroblast-Like Synoviocyte-Derived Exosomes Aggravate Osteoarthritis via Enhancing Macrophage Glycolysis | ||
Acta Pharm Sin B Ligand-based substituent-anchoring design of selective receptor-interacting protein kinase 1 necroptosis inhibitors for ulcerative colitis therapy |





