Validation Data Gallery
Tested Applications
Recommended dilution
| Application | Dilution |
|---|---|
| It is recommended that this reagent should be titrated in each testing system to obtain optimal results. | |
Product Information
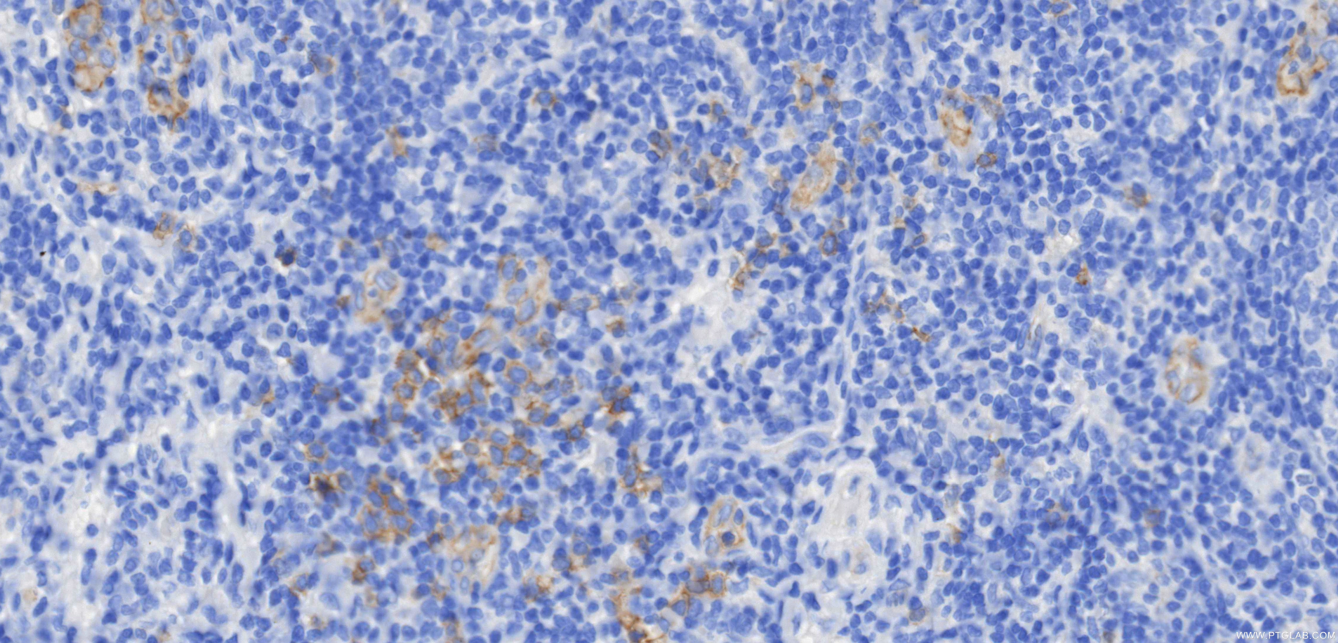
84256-1-PBS targets IL3RA/CD123 in IHC, Indirect ELISA applications and shows reactivity with human samples.
| Tested Reactivity | human |
| Host / Isotype | Rabbit / IgG |
| Class | Recombinant |
| Type | Antibody |
| Immunogen |
Recombinant Protein 相同性解析による交差性が予測される生物種 |
| Full Name | interleukin 3 receptor, alpha (low affinity) |
| Calculated molecular weight | 378 aa, 43 kDa |
| GenBank accession number | BC035407 |
| Gene Symbol | CD123 |
| Gene ID (NCBI) | 3563 |
| ENSEMBL Gene ID | ENSG00000185291 |
| Conjugate | Unconjugated |
| Form | |
| Form | Liquid |
| Purification Method | Protein A purification |
| UNIPROT ID | P26951 |
| Storage Buffer | PBS only{{ptg:BufferTemp}}7.3 |
| Storage Conditions | Store at -80°C. |
Background Information
Interleukin-3 receptor subunit alpha (IL3RA), also known as CD123, belongs to the cytokine receptor family. It is a glycoprotein containing an extracellular domain, involving a predicted Ig-like domain, two FnIII domains, a transmembrane domain and an intracellular domain (PMID: 24513123). IL3RA is expressed on hematopoietic progenitor cells, plasmacytoid dendritic cells, basophils, monocytes, some B cells, and in a variety of hematologic malignancies (PMID: 10527461; 34855461). IL-3 initially binds to IL3RA and subsequently recruits the beta chain (CD131) to form the high-affinity receptor, resulting in the activation of a series of signaling pathways including the JAK/STAT, Ras-MAPK, and phosphatidylinositol 3-kinase pathways (PMID: 29296749). IL-3R signaling regulates the proliferation, survival, and differentiation of hematopoietic cells.

