IHCeasy® WASF3 Ready-To-Use IHC Kit
WASF3 Ready-to-use reagent kit for IHC.
Reactivity
Human, Mouse, Rat
Sample Type
FFPE tissue
Cat no : KHC3048
Synonyms
Actin-binding protein WASF3, Brush 1, KIAA0900, Protein WAVE 3, Protein WAVE-3
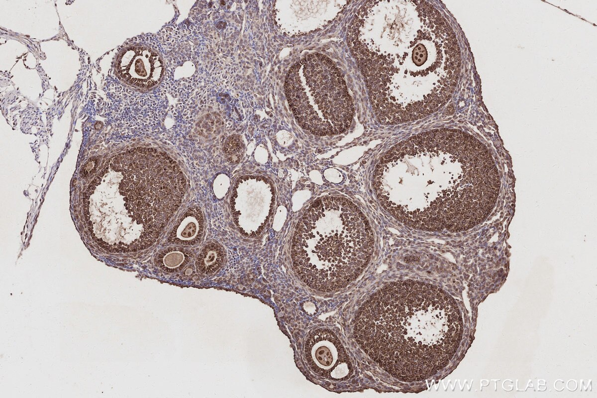
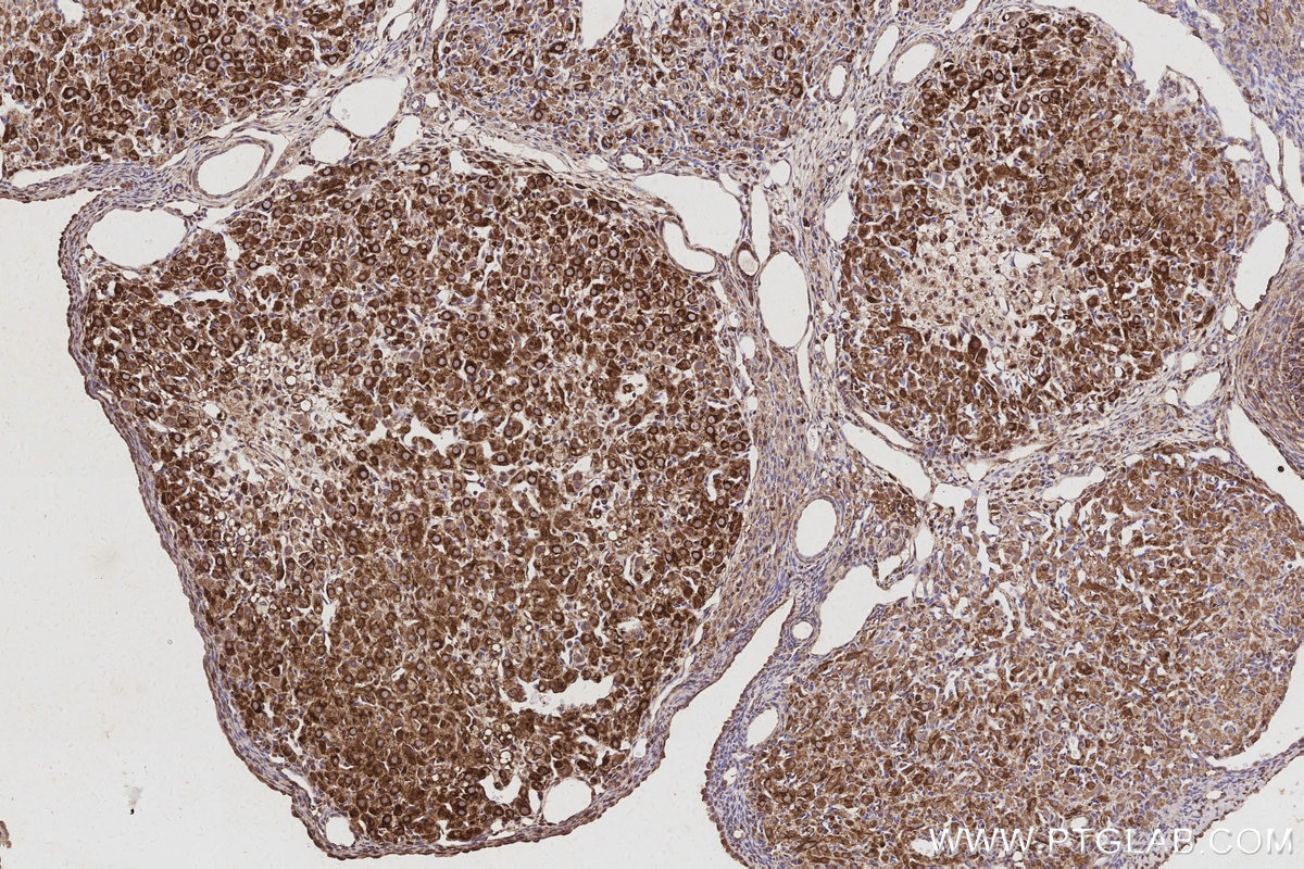
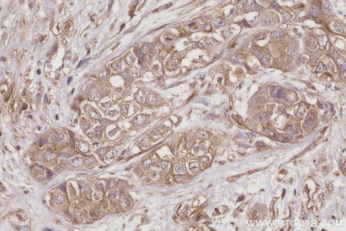
Validation Data Gallery
Product Information
KHC3048 is a ready-to-use IHC kit for staining of WASF3. The kit provides all reagents, from antigen retrieval to cover slip mounting, that require little to no diluting or handling prior to use. Simply apply the reagents to your sample slide according to the protocol and you're steps away from obtaining high-quality IHC data.
| Product name | IHCeasy® WASF3 Ready-To-Use IHC Kit |
| Sample type | FFPE tissue |
| Assay type | Immunohistochemistry |
| Primary antibody type | Mouse Monoclonal |
| Secondary antibody type | Polymer-HRP-Goat anti-Mouse |
| Reactivity | Human, Mouse, Rat |
Kit components
| Component | Size | Concentration |
|---|---|---|
| Antigen Retrieval Buffer | 100 mL | 50× |
| Washing Buffer | 100 mL ×2 | 20× |
| Blocking Buffer | 5 mL | RTU |
| Primary Antibody | 5 mL | RTU |
| Secondary Antibody | 5 mL | RTU |
| Chromogen Component A | 0.2 mL | RTU |
| Chromogen Component B | 4 mL | RTU |
| Signal Enhancer | 5 mL | RTU |
| Counter Staining Reagent | 5 mL | RTU |
| Mounting Media | 5 mL | RTU |
| Datasheet | 1 Copy | |
| Manual | 1 Copy |
Background Information
WASF3, also named WAVE3 or SCAR3, belongs to the SCAR/WAVE family. It plays a role in the regulation of cell morphology and cytoskeletal organization. WASF3 is associated with movement, invasion, and metastasis in different cancers such as breast cancer, gastric cancer, and prostate cancer. It has been shown that WASF3 levels are elevated in advanced-stage cancers compared to lower-grade tumors and normal tissue.
Properties
| Storage Instructions | All the reagents are stored at 2-8°C. The kit is stable for 6 months from the date of receipt. |
| Synonyms | Actin-binding protein WASF3, Brush 1, KIAA0900, Protein WAVE 3, Protein WAVE-3 |





