IHCeasy® USP20 Ready-To-Use IHC Kit
USP20 Ready-to-use reagent kit for IHC.
Reactivity
Human, Mouse, Rat
Sample Type
FFPE tissue
Cat no : KHC3055
Synonyms
Deubiquitinating enzyme 20, EC:3.4.19.12, hVDU2, KIAA1003, Ubiquitin carboxyl-terminal hydrolase 20
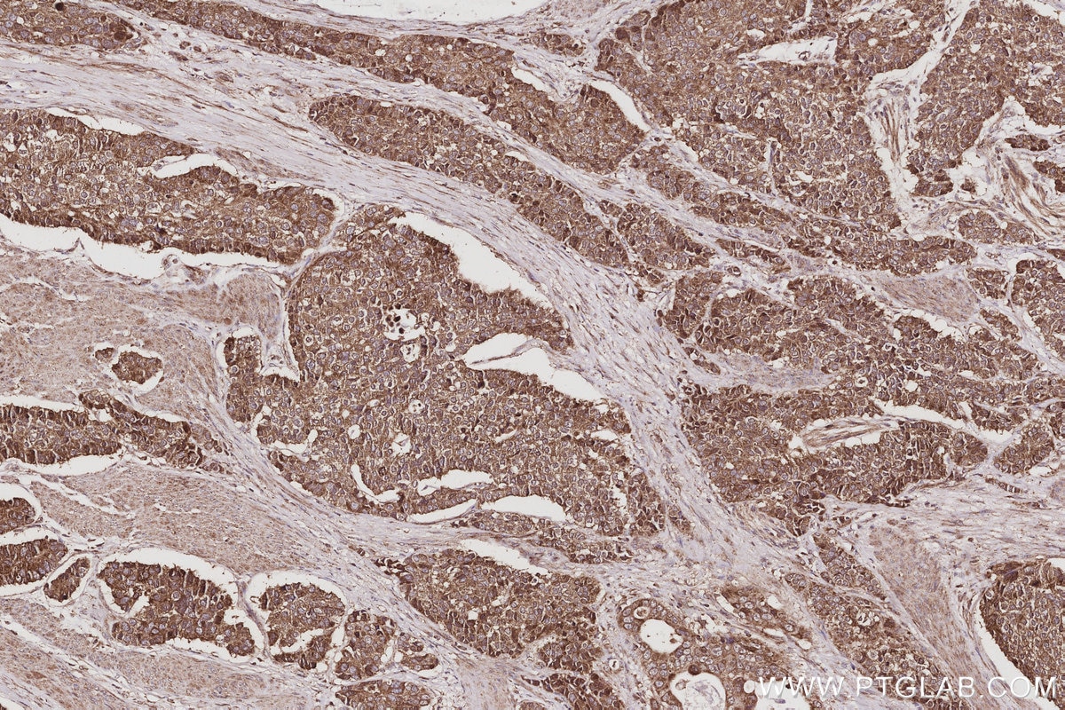
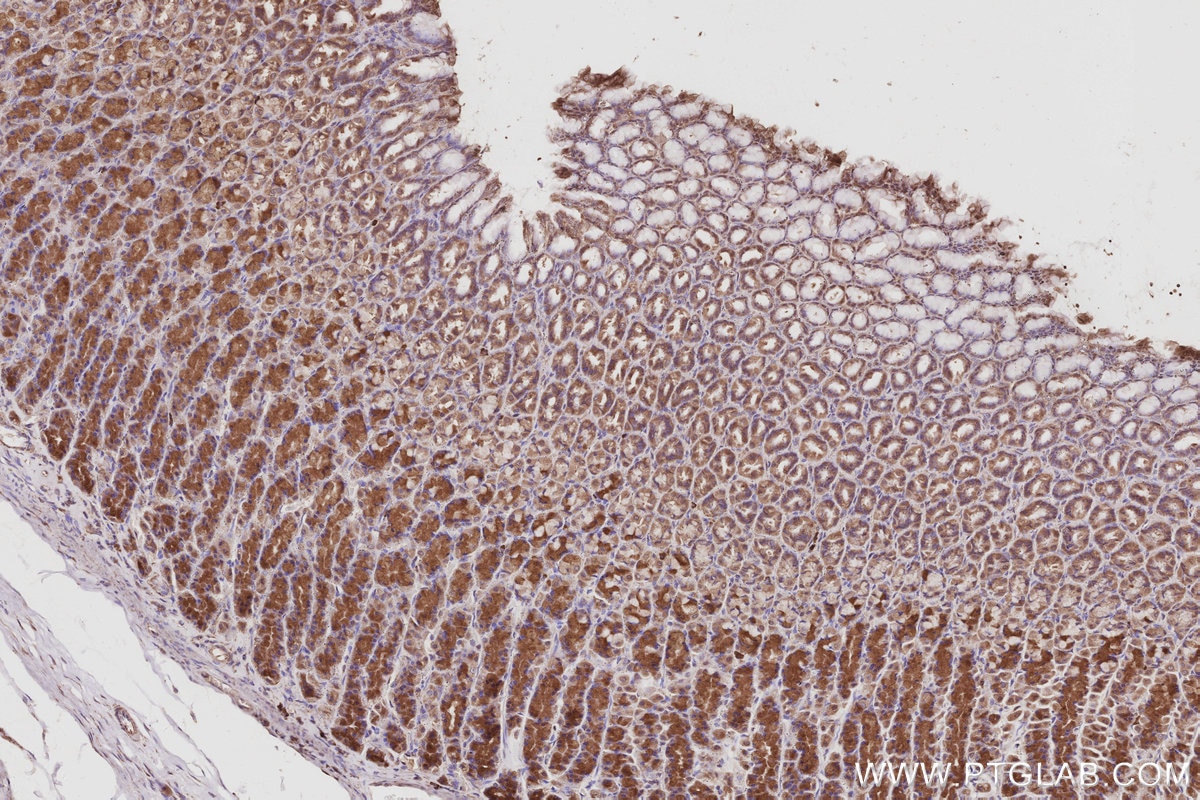
Validation Data Gallery
Product Information
KHC3055 is a ready-to-use IHC kit for staining of USP20. The kit provides all reagents, from antigen retrieval to cover slip mounting, that require little to no diluting or handling prior to use. Simply apply the reagents to your sample slide according to the protocol and you're steps away from obtaining high-quality IHC data.
| Product name | IHCeasy® USP20 Ready-To-Use IHC Kit |
| Sample type | FFPE tissue |
| Assay type | Immunohistochemistry |
| Primary antibody type | Rabbit Polyclonal |
| Secondary antibody type | Polymer-HRP-Goat anti-Rabbit |
| Reactivity | Human, Mouse, Rat |
Kit components
| Component | Size | Concentration |
|---|---|---|
| Antigen Retrieval Buffer | 100 mL | 50× |
| Washing Buffer | 100 mL ×2 | 20× |
| Blocking Buffer | 5 mL | RTU |
| Primary Antibody | 5 mL | RTU |
| Secondary Antibody | 5 mL | RTU |
| Chromogen Component A | 0.2 mL | RTU |
| Chromogen Component B | 4 mL | RTU |
| Signal Enhancer | 5 mL | RTU |
| Counter Staining Reagent | 5 mL | RTU |
| Mounting Media | 5 mL | RTU |
| Datasheet | 1 Copy | |
| Manual | 1 Copy |
Background Information
USP20(ubiquitin carboxyl-terminal hydrolase 20) is also named as KIAA1003, LSFR3A, VDU2 and belongs to the peptidase C19 family and the USP20/USP33 subfamily. It can specifically deubiquitinate and stabilize HIF1A and, therefore, increase expression of HIF-1alpha targeted genes, such as vascular endothelial growth factor (VEGF). It also plays a central role in ADRB2 recycling and resensitization after prolonged agonist stimulation by constitutively binding ADRB2, mediating deubiquitination of ADRB2 and inhibiting lysosomal trafficking of ADRB2.
Properties
| Storage Instructions | All the reagents are stored at 2-8°C. The kit is stable for 6 months from the date of receipt. |
| Synonyms | Deubiquitinating enzyme 20, EC:3.4.19.12, hVDU2, KIAA1003, Ubiquitin carboxyl-terminal hydrolase 20 |





