IHCeasy® UBE2M/UBC12 Ready-To-Use IHC Kit
UBE2M/UBC12 Ready-to-use reagent kit for IHC.
Reactivity
Human, Rat
Sample Type
FFPE tissue
Cat no : KHC3235
Synonyms
UBE2M, EC:2.3.2.34, hUbc12, NEDD8 carrier protein, NEDD8 conjugating enzyme Ubc12
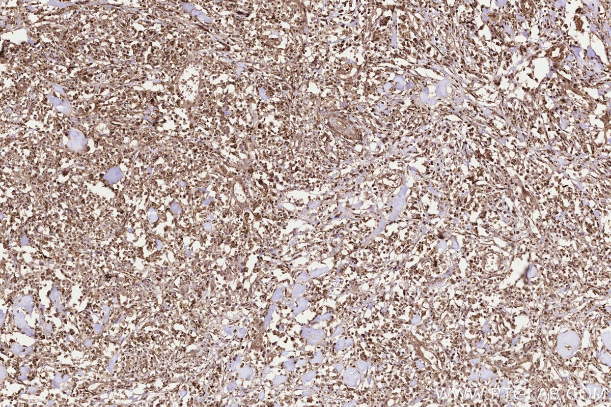
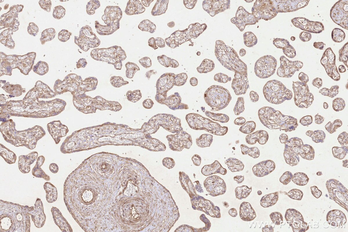
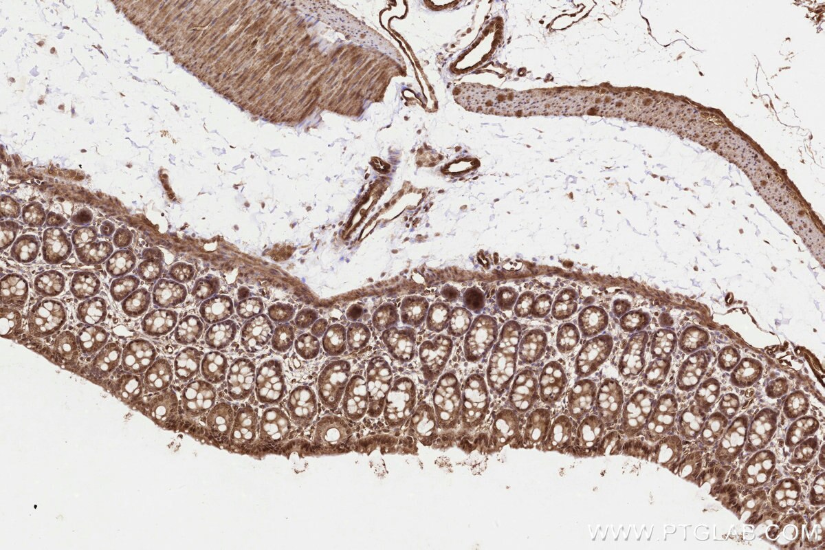
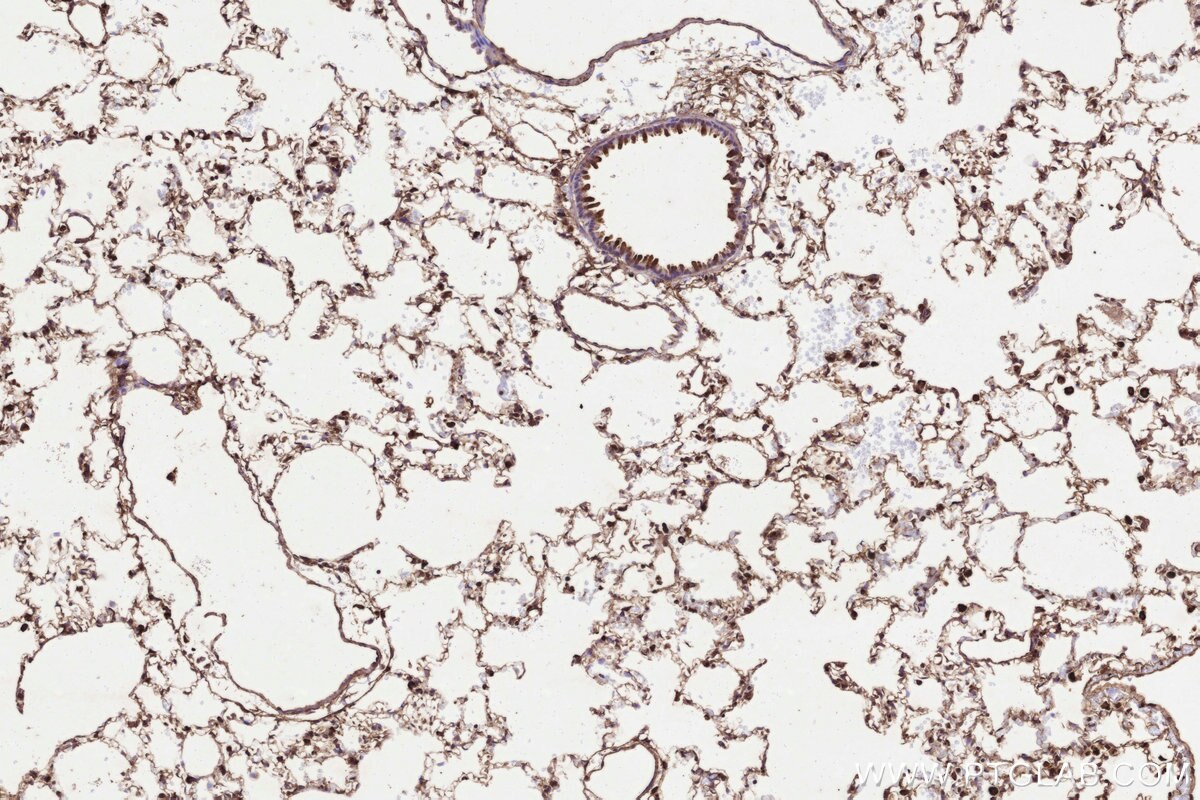
Validation Data Gallery
Product Information
KHC3235 is a ready-to-use IHC kit for staining of UBE2M/UBC12. The kit provides all reagents, from antigen retrieval to cover slip mounting, that require little to no diluting or handling prior to use. Simply apply the reagents to your sample slide according to the protocol and you're steps away from obtaining high-quality IHC data.
| Product name | IHCeasy® UBE2M/UBC12 Ready-To-Use IHC Kit |
| Sample type | FFPE tissue |
| Assay type | Immunohistochemistry |
| Primary antibody type | Rabbit Polyclonal |
| Secondary antibody type | Polymer-HRP-Goat anti-Rabbit |
| Reactivity | Human, Rat |
Kit components
| Component | Size | Concentration |
|---|---|---|
| Antigen Retrieval Buffer | 100 mL | 50× |
| Washing Buffer | 100 mL ×2 | 20× |
| Blocking Buffer | 5 mL | RTU |
| Primary Antibody | 5 mL | RTU |
| Secondary Antibody | 5 mL | RTU |
| Chromogen Component A | 0.2 mL | RTU |
| Chromogen Component B | 4 mL | RTU |
| Signal Enhancer | 5 mL | RTU |
| Counter Staining Reagent | 5 mL | RTU |
| Mounting Media | 5 mL | RTU |
| Datasheet | 1 Copy | |
| Manual | 1 Copy |
Background Information
UBE2M (Ubiquitin-conjugating enzyme E2 M), also called UBC12, accepts the ubiquitin-like protein NEDD8 from the UBA3-NAE1 E1 complex and catalyzes its covalent attachment to other proteins. The specific interaction between UBE2M and the E3 ubiquitin ligase RBX1, but not RBX2, suggests that the RBX1-UBE2M complex neddylates specific target proteins, such as CUL1, CUL2, CUL3 and CUL4. Involved in cell proliferation.
Properties
| Storage Instructions | All the reagents are stored at 2-8°C. The kit is stable for 6 months from the date of receipt. |
| Synonyms | UBE2M, EC:2.3.2.34, hUbc12, NEDD8 carrier protein, NEDD8 conjugating enzyme Ubc12 |





