IHCeasy® TUSC3 Ready-To-Use IHC Kit
TUSC3 Ready-to-use reagent kit for IHC.
Reactivity
Human, Mouse, Rat
Sample Type
FFPE tissue
Cat no : KHC3251
Synonyms
D8S1992, Dolichyl-diphosphooligosaccharide--protein glycosyltransferase subunit TUSC3, Magnesium uptake/transporter TUSC3, Oligosaccharyl transferase subunit TUSC3, Protein N33
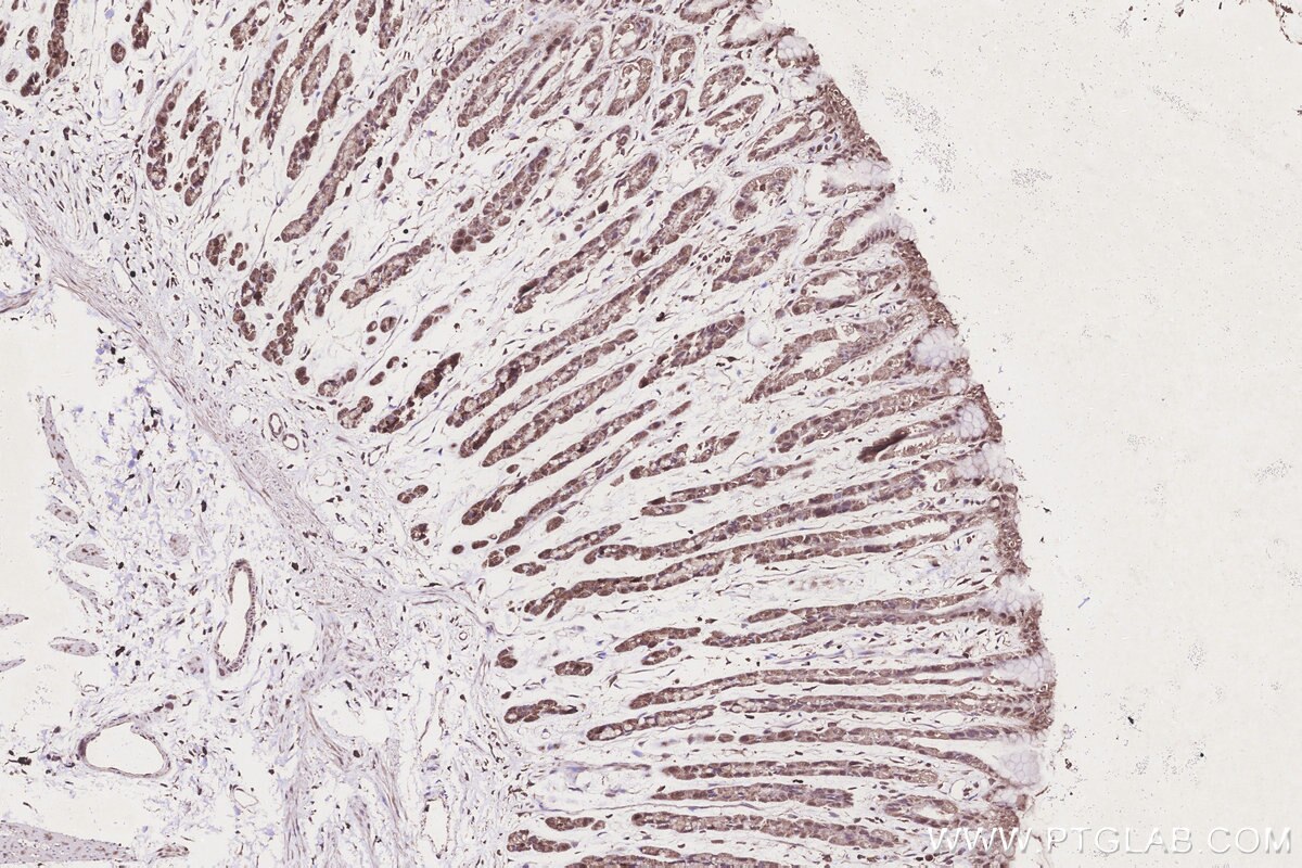
Validation Data Gallery
Product Information
KHC3251 is a ready-to-use IHC kit for staining of TUSC3. The kit provides all reagents, from antigen retrieval to cover slip mounting, that require little to no diluting or handling prior to use. Simply apply the reagents to your sample slide according to the protocol and you're steps away from obtaining high-quality IHC data.
| Product name | IHCeasy® TUSC3 Ready-To-Use IHC Kit |
| Sample type | FFPE tissue |
| Assay type | Immunohistochemistry |
| Primary antibody type | Mouse Monoclonal |
| Secondary antibody type | Polymer-HRP-Goat anti-Mouse |
| Reactivity | Human, Mouse, Rat |
Kit components
| Component | Size | Concentration |
|---|---|---|
| Antigen Retrieval Buffer | 100 mL | 50× |
| Washing Buffer | 100 mL ×2 | 20× |
| Blocking Buffer | 5 mL | RTU |
| Primary Antibody | 5 mL | RTU |
| Secondary Antibody | 5 mL | RTU |
| Chromogen Component A | 0.2 mL | RTU |
| Chromogen Component B | 4 mL | RTU |
| Signal Enhancer | 5 mL | RTU |
| Counter Staining Reagent | 5 mL | RTU |
| Mounting Media | 5 mL | RTU |
| Datasheet | 1 Copy | |
| Manual | 1 Copy |
Background Information
TUSC3 (tumor suppressor candidate 3), originally named N33, is a potential tumor supressor gene. Decreased expression of TUSC3 has been found in various cancers, including prostate cancer, pancreas cancer and ovary cancer. TUSC3 also known as OST3A, is identified as a part of the oligosaccharyl-transferase (OST) complex and plays a crucial role in protein N-glycosylation. TUSC3 mutations have been found in families with non-syndromic autosomal recessive mental retardation.
Properties
| Storage Instructions | All the reagents are stored at 2-8°C. The kit is stable for 6 months from the date of receipt. |
| Synonyms | D8S1992, Dolichyl-diphosphooligosaccharide--protein glycosyltransferase subunit TUSC3, Magnesium uptake/transporter TUSC3, Oligosaccharyl transferase subunit TUSC3, Protein N33 |





