IHCeasy® TTC28 Ready-To-Use IHC Kit
TTC28 Ready-to-use reagent kit for IHC.
Reactivity
Human
Sample Type
FFPE tissue
Cat no : KHC2777
Synonyms
TPR repeat protein 28, TPR repeat-containing big gene cloned at Keio, TPRBK
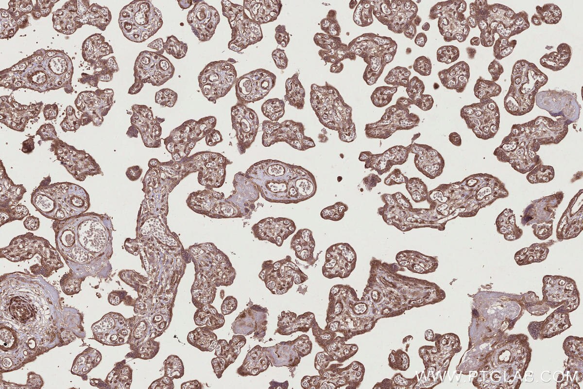
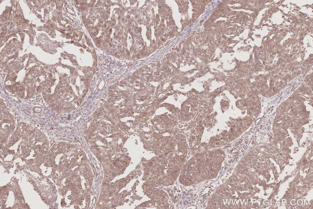
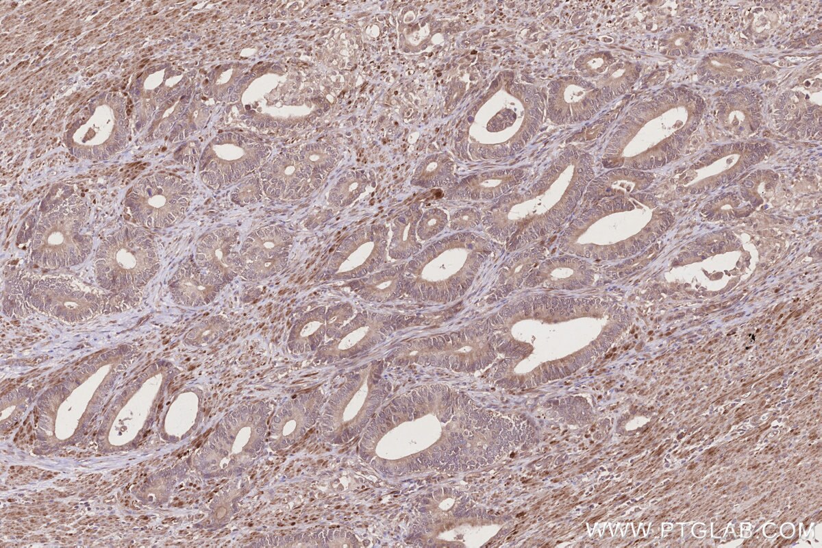
Validation Data Gallery
Product Information
KHC2777 is a ready-to-use IHC kit for staining of TTC28. The kit provides all reagents, from antigen retrieval to cover slip mounting, that require little to no diluting or handling prior to use. Simply apply the reagents to your sample slide according to the protocol and you're steps away from obtaining high-quality IHC data.
| Product name | IHCeasy TTC28 Ready-To-Use IHC Kit |
| Sample type | FFPE tissue |
| Assay type | Immunohistochemistry |
| Primary antibody type | Rabbit Polyclonal |
| Secondary antibody type | Polymer-HRP-Goat anti-Rabbit |
| Reactivity | Human |
Kit components
| Component | Size | Concentration |
|---|---|---|
| Antigen Retrieval Buffer | 100 mL | 50× |
| Washing Buffer | 100 mL ×2 | 20× |
| Blocking Buffer | 5 mL | RTU |
| Primary Antibody | 5 mL | RTU |
| Secondary Antibody | 5 mL | RTU |
| Chromogen Component A | 0.2 mL | RTU |
| Chromogen Component B | 4 mL | RTU |
| Signal Enhancer | 5 mL | RTU |
| Counter Staining Reagent | 5 mL | RTU |
| Mounting Media | 5 mL | RTU |
| Datasheet | 1 Copy | |
| Manual | 1 Copy |
Background Information
TTC28 is a large protein required during the cell cycle for condensation of spindle midzone microtubules, formation of the midbody, and completion of cytokinesis. RT-PCR ELISA detected highest TTC28 expression in adult ovary and lung, followed by kidney and liver. Lower expression was detected in all other adult and fetal tissues examined except testis, which showed no expression.
Properties
| Storage Instructions | All the reagents are stored at 2-8°C. The kit is stable for 6 months from the date of receipt. |
| Synonyms | TPR repeat protein 28, TPR repeat-containing big gene cloned at Keio, TPRBK |



