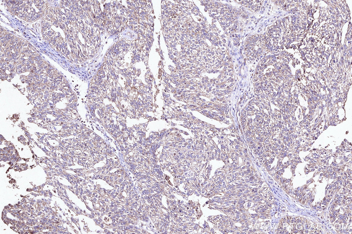
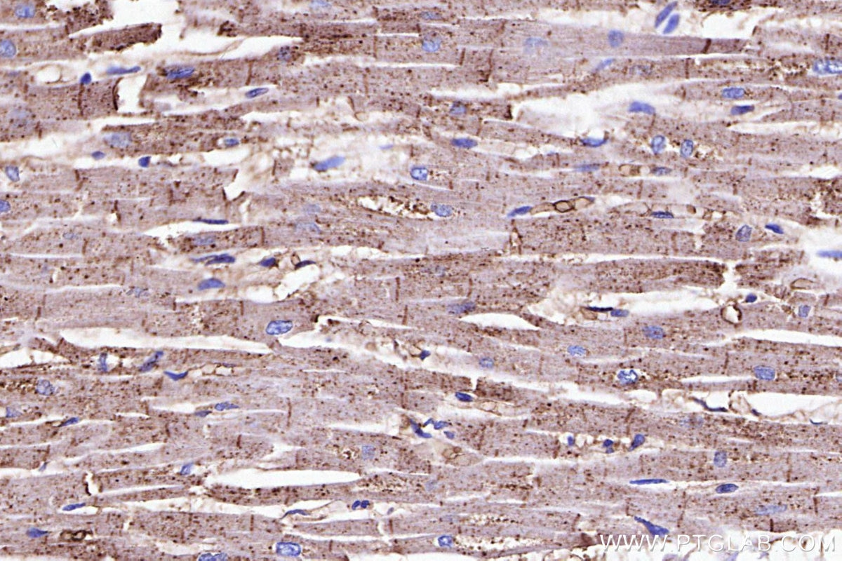
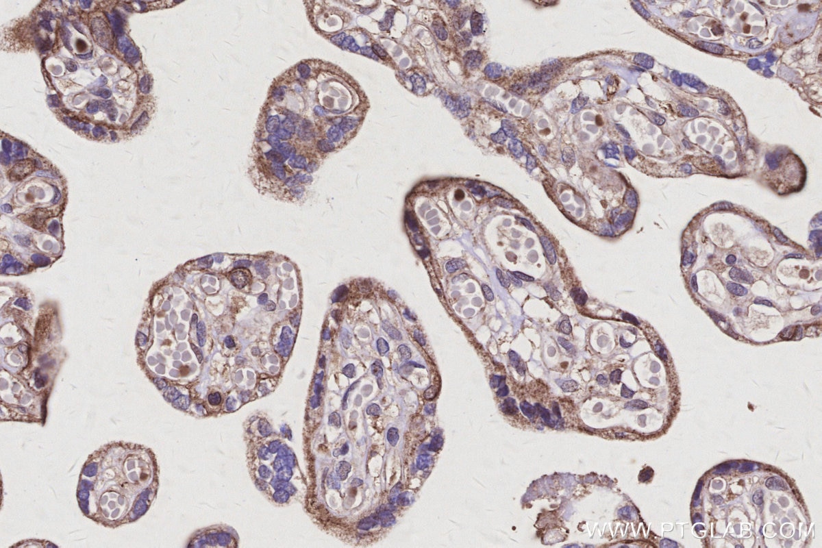
IHCeasy® TPRA1/GPR175 Ready-To-Use IHC Kit

TPRA1/GPR175 Ready-to-use reagent kit for IHC.

Reactivity

Human

Sample Type

FFPE tissue

Cat no : KHC3106

Synonyms

GPR175, Integral membrane protein GPR175, PP6566, TMEM227, TPRA1



Product Information

KHC3106 is a ready-to-use IHC kit for staining of TPRA1/GPR175. The kit provides all reagents, from antigen retrieval to cover slip mounting, that require little to no diluting or handling prior to use. Simply apply the reagents to your sample slide according to the protocol and you're steps away from obtaining high-quality IHC data.

Product name IHCeasy® TPRA1/GPR175 Ready-To-Use IHC Kit
Sample type FFPE tissue
Assay type Immunohistochemistry
Primary antibody type Rabbit Polyclonal
Secondary antibody type Polymer-HRP-Goat anti-Rabbit
Reactivity Human

Kit components

ComponentSizeConcentration
Antigen Retrieval Buffer100 mL50×
Washing Buffer100 mL ×220×
Blocking Buffer5 mLRTU
Primary Antibody5 mLRTU
Secondary Antibody5 mLRTU
Chromogen Component A0.2 mLRTU
Chromogen Component B4 mLRTU
Signal Enhancer5 mLRTU
Counter Staining Reagent5 mLRTU
Mounting Media5 mLRTU
Datasheet1 Copy
Manual1 Copy

Background Information

GPR175, also known as TPRA1 or TPRA40, is a transmembrane protein. GPR175 was first cloned as a GLP-1 receptor homolog in 3T3-L1 adipocytes and is also expressed in tissues that require Hh signaling during development, including the heart, brain, lung, pancreas, and muscle. Endogenous GPR175 localizes to cilia in a Hh-dependent manner, where it can interact with (constitutively) ciliary Gαi1 to inhibit the local production of cAMP by adenylyl cyclase.

Properties

Storage Instructions All the reagents are stored at 2-8°C. The kit is stable for 6 months from the date of receipt.
Synonyms GPR175, Integral membrane protein GPR175, PP6566, TMEM227, TPRA1
||
New chat

Able

正在加载,请稍候...