IHCeasy® TKTL1 Ready-To-Use IHC Kit

TKTL1 Ready-to-use reagent kit for IHC.

Reactivity

Human, Rat

Sample Type

FFPE tissue

Cat no : KHC3224

Synonyms

EC:2.2.1.1, TK 2, TK2, TKR, TKT 2



Product Information

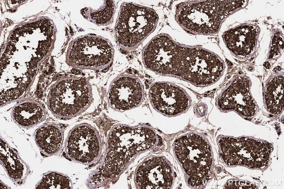
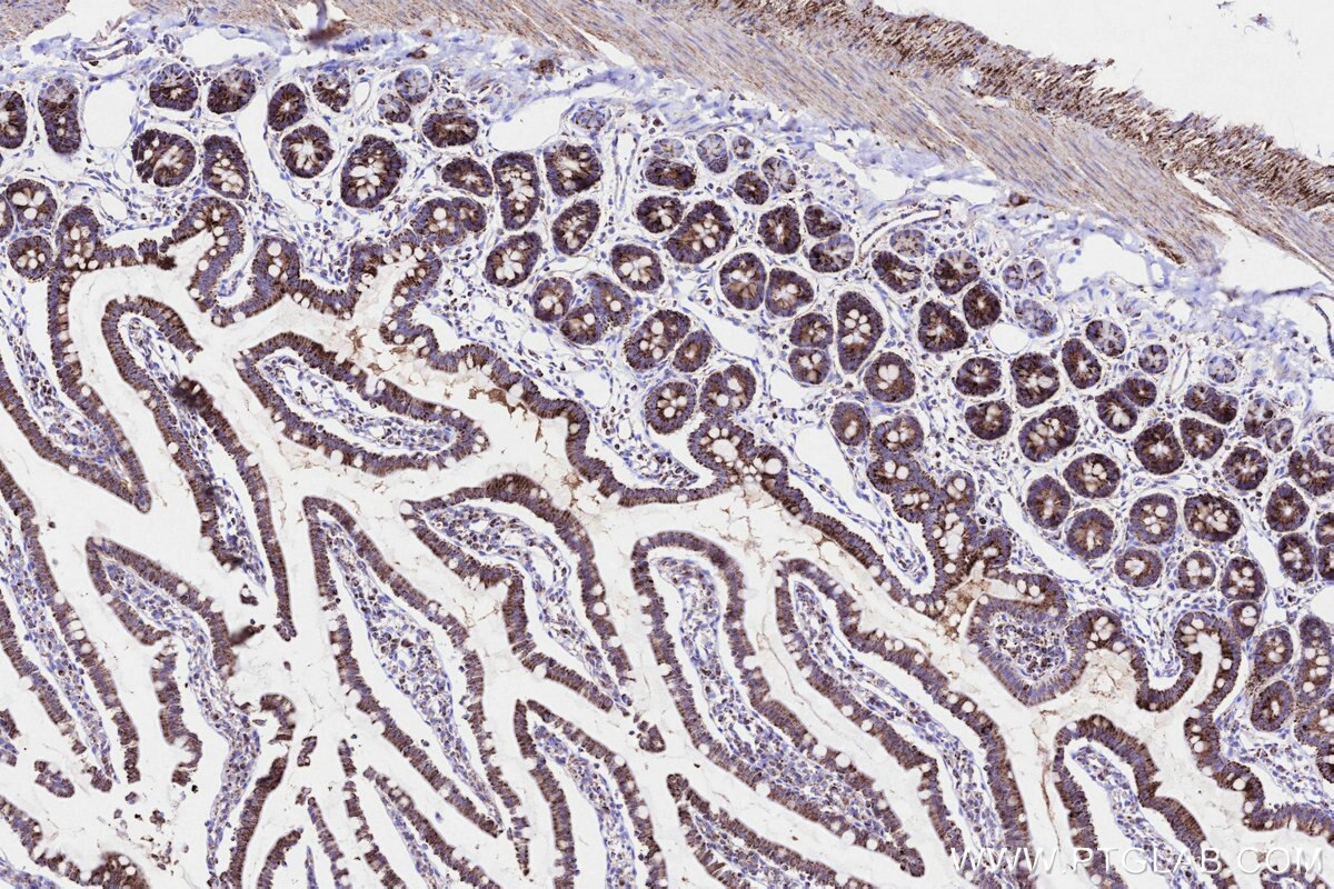
KHC3224 is a ready-to-use IHC kit for staining of TKTL1. The kit provides all reagents, from antigen retrieval to cover slip mounting, that require little to no diluting or handling prior to use. Simply apply the reagents to your sample slide according to the protocol and you're steps away from obtaining high-quality IHC data.

Product name IHCeasy® TKTL1 Ready-To-Use IHC Kit
Sample type FFPE tissue
Assay type Immunohistochemistry
Primary antibody type Rabbit Recombinant
Secondary antibody type Polymer-HRP-Goat anti-Rabbit
Reactivity Human, Rat

Kit components

ComponentSizeConcentration
Antigen Retrieval Buffer100 mL50×
Washing Buffer100 mL ×220×
Blocking Buffer5 mLRTU
Primary Antibody5 mLRTU
Secondary Antibody5 mLRTU
Chromogen Component A0.2 mLRTU
Chromogen Component B4 mLRTU
Signal Enhancer5 mLRTU
Counter Staining Reagent5 mLRTU
Mounting Media5 mLRTU
Datasheet1 Copy
Manual1 Copy

Background Information

Transketolase (TKT) is an enzyme that is ubiquitously expressed in all living organisms and has been identified as an important regulator of cancer. The TKT family includes the TKT gene and two TKT-like (TKTL) genes; TKTL1 and TKTL2.The basic components ribose-5-phosphate and acetyl-CoA, which are formed by TKTL1, provide essential building blocks for the formation of new cells. TKTL1 also allows survival in the absence of oxygen (hypoxia).TKTL1 also has been shown to be involved in regulating neuronal development in the cerebral cortex.

Properties

Storage Instructions All the reagents are stored at 2-8°C. The kit is stable for 6 months from the date of receipt.
Synonyms EC:2.2.1.1, TK 2, TK2, TKR, TKT 2
||
New chat

Able

正在加载,请稍候...