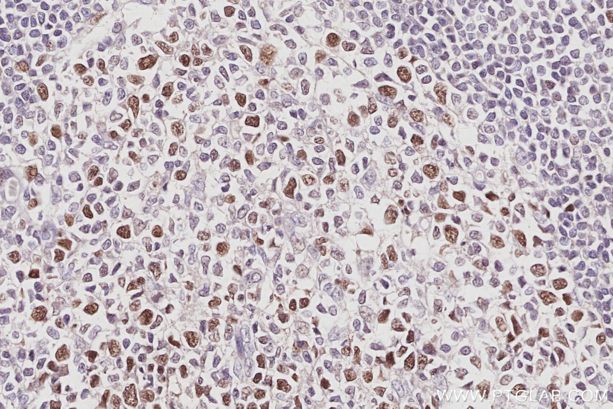
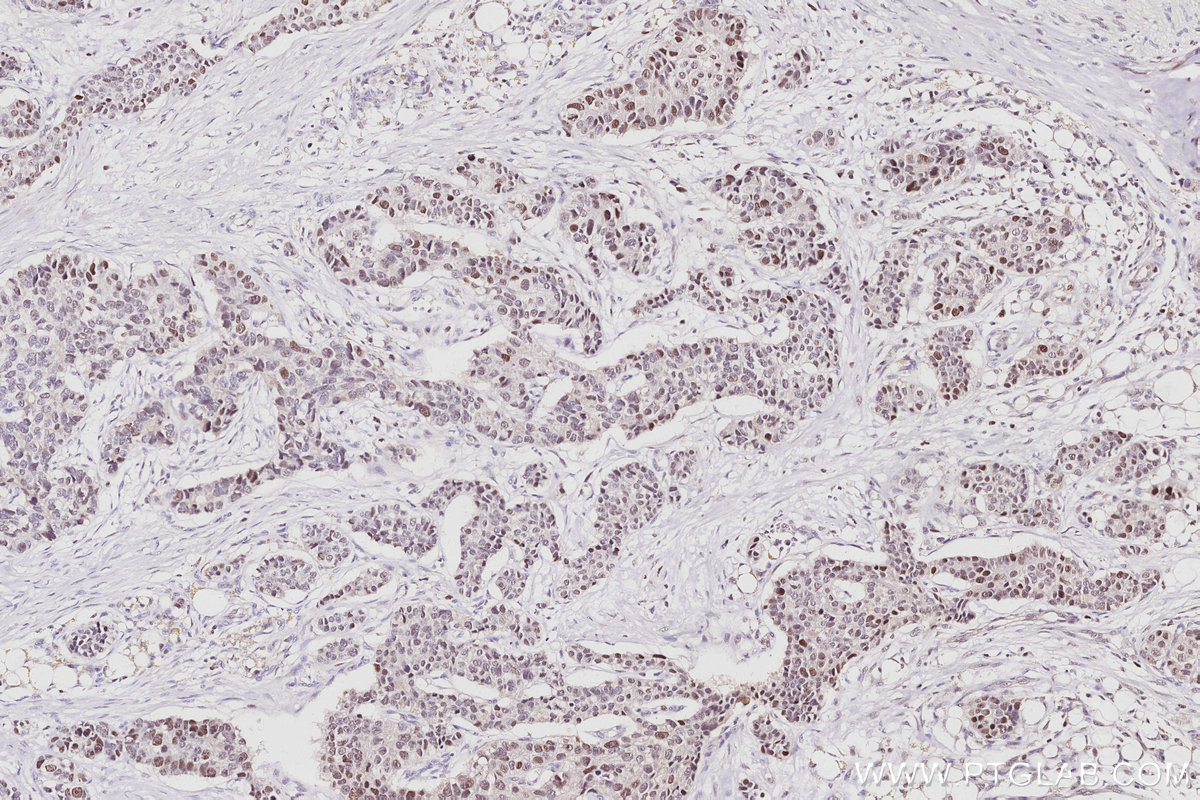
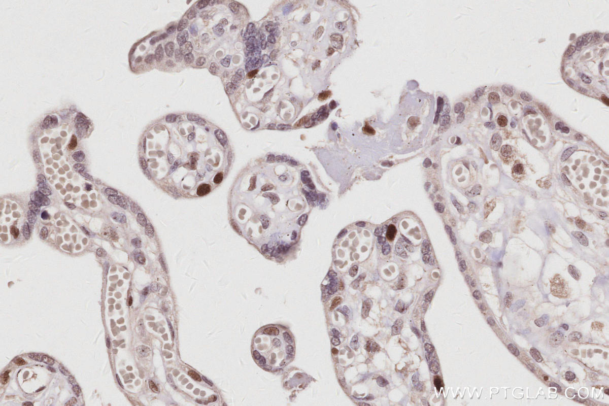
IHCeasy® TIMELESS Ready-To-Use IHC Kit
TIMELESS Ready-to-use reagent kit for IHC.
Reactivity
Human
Sample Type
FFPE tissue
Cat no : KHC3044
Synonyms
hTIM, Protein timeless homolog, TIM, TIM1, timeless homolog (Drosophila)
Validation Data Gallery
Product Information
KHC3044 is a ready-to-use IHC kit for staining of TIMELESS. The kit provides all reagents, from antigen retrieval to cover slip mounting, that require little to no diluting or handling prior to use. Simply apply the reagents to your sample slide according to the protocol and you're steps away from obtaining high-quality IHC data.
| Product name | IHCeasy® TIMELESS Ready-To-Use IHC Kit |
| Sample type | FFPE tissue |
| Assay type | Immunohistochemistry |
| Primary antibody type | Rabbit Polyclonal |
| Secondary antibody type | Polymer-HRP-Goat anti-Rabbit |
| Reactivity | Human |
Kit components
| Component | Size | Concentration |
|---|---|---|
| Antigen Retrieval Buffer | 100 mL | 50× |
| Washing Buffer | 100 mL ×2 | 20× |
| Blocking Buffer | 5 mL | RTU |
| Primary Antibody | 5 mL | RTU |
| Secondary Antibody | 5 mL | RTU |
| Chromogen Component A | 0.2 mL | RTU |
| Chromogen Component B | 4 mL | RTU |
| Signal Enhancer | 5 mL | RTU |
| Counter Staining Reagent | 5 mL | RTU |
| Mounting Media | 5 mL | RTU |
| Datasheet | 1 Copy | |
| Manual | 1 Copy |
Background Information
TIMELESS1 (TIM1) gene encodes protein timeless homolog belonging to timeless family. TIM1 is localized in nucleus and regulated by cell cycle. It expresses high levels in S, G2 and M phases, and low in G0 and G1 phases. TIM1 is involved in the circadian rhythm autoregulatory loop and is a crucial component of the circadian core oscillator, which includes the CRY proteins, CLOCK, NPAS2, etc. It is also involved in cell survival after DNA damage or replication stress and reported to play important role in epithelial cell morphogenesis and formation of branching tubules.
Properties
| Storage Instructions | All the reagents are stored at 2-8°C. The kit is stable for 6 months from the date of receipt. |
| Synonyms | hTIM, Protein timeless homolog, TIM, TIM1, timeless homolog (Drosophila) |



