IHCeasy® TELO2 Ready-To-Use IHC Kit
TELO2 Ready-to-use reagent kit for IHC.
Reactivity
Human, Rat
Sample Type
FFPE tissue
Cat no : KHC3074
Synonyms
CLK2, hCLK2, KIAA0683, Protein clk 2 homolog, Protein clk-2 homolog
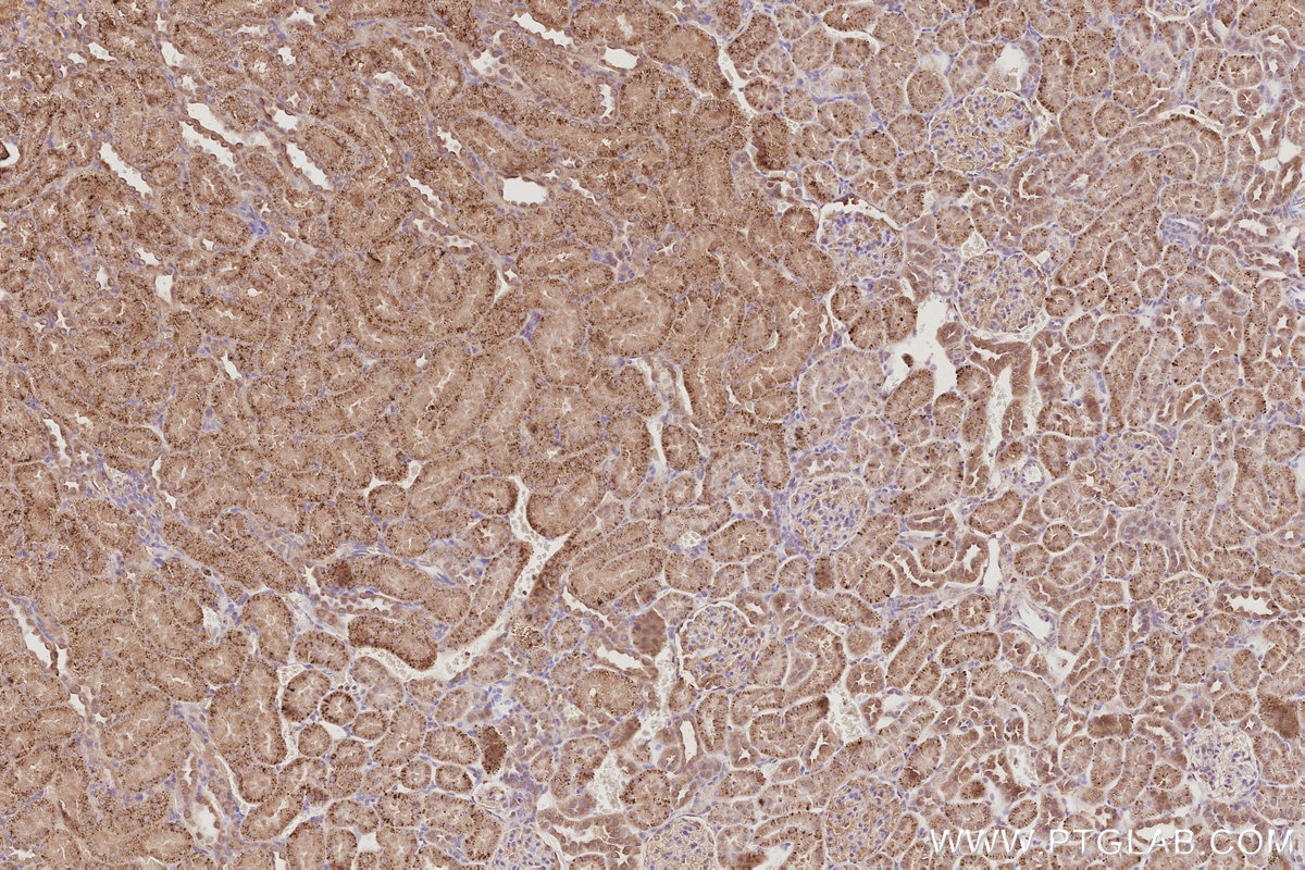
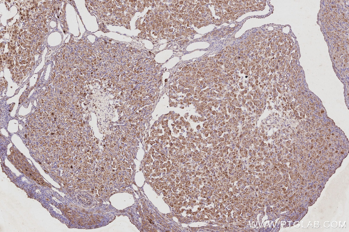
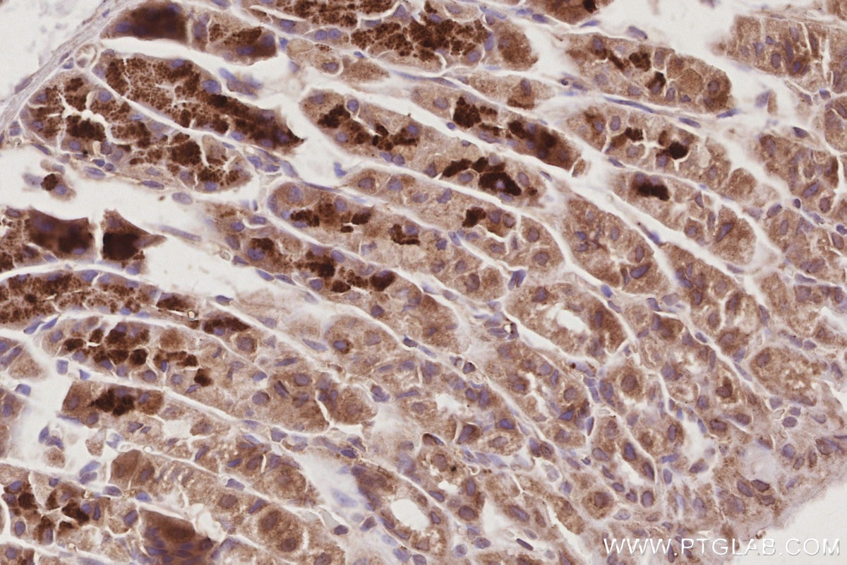
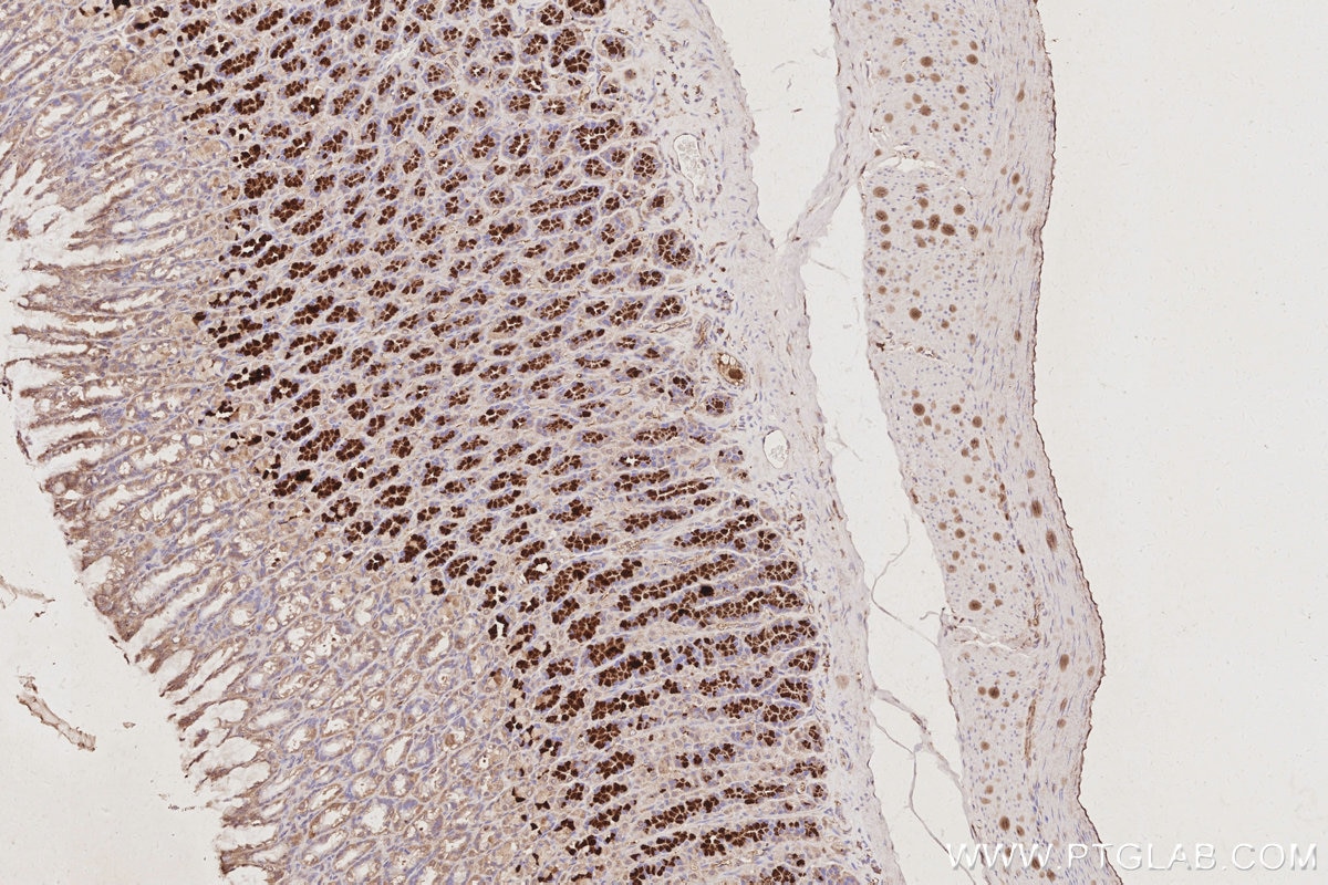
Validation Data Gallery
Product Information
KHC3074 is a ready-to-use IHC kit for staining of TELO2. The kit provides all reagents, from antigen retrieval to cover slip mounting, that require little to no diluting or handling prior to use. Simply apply the reagents to your sample slide according to the protocol and you're steps away from obtaining high-quality IHC data.
| Product name | IHCeasy® TELO2 Ready-To-Use IHC Kit |
| Sample type | FFPE tissue |
| Assay type | Immunohistochemistry |
| Primary antibody type | Mouse Monoclonal |
| Secondary antibody type | Polymer-HRP-Goat anti-Mouse |
| Reactivity | Human, Rat |
Kit components
| Component | Size | Concentration |
|---|---|---|
| Antigen Retrieval Buffer | 100 mL | 50× |
| Washing Buffer | 100 mL ×2 | 20× |
| Blocking Buffer | 5 mL | RTU |
| Primary Antibody | 5 mL | RTU |
| Secondary Antibody | 5 mL | RTU |
| Chromogen Component A | 0.2 mL | RTU |
| Chromogen Component B | 4 mL | RTU |
| Signal Enhancer | 5 mL | RTU |
| Counter Staining Reagent | 5 mL | RTU |
| Mounting Media | 5 mL | RTU |
| Datasheet | 1 Copy | |
| Manual | 1 Copy |
Background Information
TELO2 gene encodes a telomere length regulation protein TEL2 homolog. TELO2 may be involved in telomere length regulation and can form TTT complex with TTI1 and TTI2. TTT complex is required to stabilize protein levels of PIKK family proteins and is involved in the cellular resistance to DNA damage stresses, like ionizing radiation (IR), and ultraviolet (UV). The activity of mTORC1 and mTORC2 complexes, which regulate cell growth and survival in response to nutrient and hormonal signals, can be promoted, stabilized and maintained by TELO2.
Properties
| Storage Instructions | All the reagents are stored at 2-8°C. The kit is stable for 6 months from the date of receipt. |
| Synonyms | CLK2, hCLK2, KIAA0683, Protein clk 2 homolog, Protein clk-2 homolog |





